首页 / 产品 / 抗体 / 一抗

Rabbit Polyclonal ADGRG6 Antibody

  • 中文名: ADGRG6抗体
  • 别    名: APG1; DREG; VIGR; LCCS9; PR126; GPR126; PS1TP2
货号: IPDX13486
Price: ¥1180
数量:
大包装询价

验证与应用

应用及物种
WB 咨询技术 Human,Mouse,Rat
IF 咨询技术 Human,Mouse,Rat
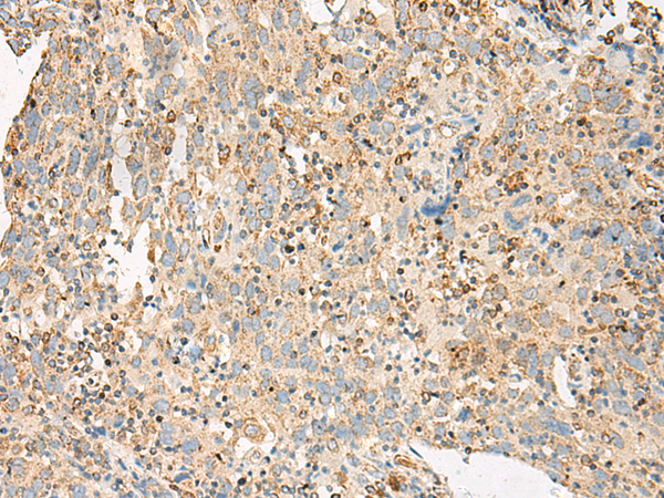
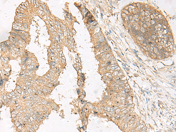
IHC 1/30-1/150 Human,Mouse,Rat
ICC 技术咨询 Human,Mouse,Rat
FCM 咨询技术 Human,Mouse,Rat
Elisa 1/5000-1/10000 Human,Mouse,Rat

产品详情

AliasesAPG1; DREG; VIGR; LCCS9; PR126; GPR126; PS1TP2
Host/IsotypeRabbit IgG
Antibody TypePrimary antibody
StorageStore at 4°C short term. Aliquot and store at -20°C long term. Avoid freeze/thaw cycles.
Species ReactivityHuman
ImmunogenSynthetic peptide of human ADGRG6
FormulationPurified antibody in PBS with 0.05% sodium azide and 50% glycerol.

+ +

参考文献

以下是关于ADGRG6(GPR126)抗体的3篇代表性文献,涵盖其功能研究与疾病关联:

---

1. **文献名称**:*GPR126 functions in Schwann cells through antibody-mediated knockdown in peripheral nerve injury*

**作者**:Monk KR 等

**摘要**:研究利用特异性抗体敲低GPR126(ADGRG6),揭示其在施万细胞中的关键作用,表明GPR126缺失导致周围神经损伤修复障碍,影响髓鞘再生。

2. **文献名称**:*ADGRG6/GPR126 modulates tumor progression by antibody-based detection in colorectal cancer*

**作者**:Zhang Y 等

**摘要**:通过免疫组化(使用ADGRG6抗体)分析结直肠癌组织,发现ADGRG6高表达与患者不良预后相关,提示其可作为潜在生物标志物和治疗靶点。

3. **文献名称**:*Antibody localization of GPR126 in zebrafish confirms its role in inner ear development*

**作者**:Petersen SC 等

**摘要**:利用ADGRG6抗体进行斑马鱼胚胎免疫荧光染色,证实GPR126在内耳发育中调控细胞黏附和信号通路,突变体表现为听觉结构缺陷。

---

以上文献展示了ADGRG6抗体在神经修复、癌症研究和发育生物学中的具体应用。如需全文链接或补充文献,可进一步提供研究方向细节。

背景信息

ADGRG6 (Adhesion G Protein-Coupled Receptor G6), also known as GPR126. is a member of the adhesion GPCR family, which plays critical roles in cell signaling, adhesion, and tissue development. This receptor is characterized by a large extracellular N-terminal region involved in ligand binding and cell-cell interactions, coupled with a seven-transmembrane domain typical of GPCRs. ADGRG6 is essential for Schwann cell myelination in the peripheral nervous system and cartilage development during embryogenesis. Dysregulation of ADGRG6 has been implicated in various pathologies, including neurodevelopmental disorders, skeletal defects, and cancers such as breast cancer and glioblastoma.

Antibodies targeting ADGRG6 are crucial tools for studying its expression, localization, and functional mechanisms. They enable researchers to detect ADGRG6 in tissues or cell lines via techniques like Western blotting, immunohistochemistry (IHC), and immunofluorescence (IF). Additionally, these antibodies facilitate investigations into receptor activation, downstream signaling pathways (e.g., cAMP and MAPK), and interactions with extracellular ligands or intracellular partners. Some studies also explore ADGRG6's potential as a therapeutic target, particularly in cancer and regenerative medicine. Both monoclonal and polyclonal antibodies are available, with validation often including knockout controls to ensure specificity. Ongoing research aims to clarify ADGRG6's diverse roles in health and disease, underscoring the importance of reliable antibody reagents in advancing this field.

客户数据及评论

折叠内容

大包装询价

×