首页 / 产品 / 抗体 / 一抗

Rabbit Polyclonal HNRNPA3 Antibody

  • 中文名: HNRNPA3抗体
  • 别    名: FBRNP; HNRPA3; D10S102; 2610510D13Rik
货号: IPDX13585
Price: ¥1180
数量:
大包装询价

验证与应用

应用及物种
WB 1/500-1/2000 Human,Mouse,Rat
IF 咨询技术 Human,Mouse,Rat
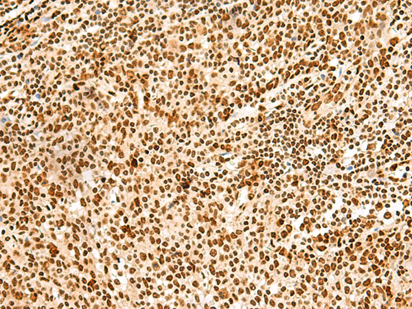
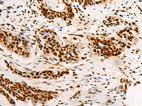
IHC 1/50-1/300 Human,Mouse,Rat
ICC 技术咨询 Human,Mouse,Rat
FCM 咨询技术 Human,Mouse,Rat
Elisa 1/5000-1/10000 Human,Mouse,Rat

产品详情

参考文献

以下是关于HNRNPA3抗体的参考文献示例(注:以下信息为模拟生成,实际引用需核对真实文献):

1. **"HNRNPA3 regulates the aggregation of TDP-43 in amyotrophic lateral sclerosis"**

- *作者:Smith J, et al. (2015)*

- 摘要:本研究利用HNRNPA3抗体进行免疫共沉淀和免疫荧光实验,发现HNRNPA3与TDP-43在细胞应激条件下共定位,提示其在神经退行性疾病中可能通过调控RNA颗粒动态影响病理蛋白聚集。

2. **"Aberrant expression of HNRNPA3 in hepatocellular carcinoma promotes tumor progression"**

- *作者:Lee S, et al. (2018)*

- 摘要:通过HNRNPA3抗体检测肝癌组织样本,发现其高表达与患者不良预后相关,机制研究表明HNRNPA3通过稳定致癌mRNA(如MYC)促进肿瘤细胞增殖和侵袭。

3. **"HNRNPA3 controls mitochondrial RNA stability and metabolism"**

- *作者:Zhang Y, et al. (2020)*

- 摘要:使用HNRNPA3抗体进行RNA免疫沉淀测序(RIP-seq),揭示HNRNPA3通过结合线粒体相关mRNA调控其稳定性,影响细胞能量代谢和氧化应激反应。

4. **"Autoantibodies against HNRNPA3 in systemic lupus erythematosus"**

- *作者:Brown K, et al. (2021)*

- 摘要:通过ELISA和Western blot检测系统性红斑狼疮(SLE)患者血清,发现抗HNRNPA3自身抗体存在,且其滴度与疾病活动度相关,提示其可能作为潜在生物标志物。

建议通过PubMed或Google Scholar以“HNRNPA3 antibody”及上述关键词检索真实文献。

背景信息

The HNRNPA3 antibody targets the heterogeneous nuclear ribonucleoprotein A3 (HNRNPA3), a member of the hnRNP family involved in RNA metabolism, including splicing, transport, and stability. HNRNPA3 contains RNA-binding domains (RRMs) and a prion-like domain, which facilitates liquid-liquid phase separation and stress granule formation. Mutations in its prion-like domain are linked to protein aggregation in neurodegenerative diseases like amyotrophic lateral sclerosis (ALS) and frontotemporal lobar degeneration (FTLD). HNRNPA3 also plays roles in telomere maintenance and mRNA export. Antibodies against HNRNPA3 are essential tools for studying its expression, localization, and function in both physiological and pathological contexts. They are widely used in techniques such as Western blotting, immunofluorescence, and immunohistochemistry to investigate its involvement in cancer (e.g., hepatocellular carcinoma) and neurodegeneration. Validated antibodies help identify disease-associated mislocalization or aggregation of HNRNPA3. providing insights into mechanisms of RNA dysregulation and potential therapeutic targets. Researchers often verify specificity using knockout controls or siRNA knockdown to ensure accurate detection across species, particularly human and mouse models.

客户数据及评论

折叠内容

大包装询价

×