首页 / 产品 / 抗体 / 一抗

Rabbit Polyclonal IPPK Antibody

  • 中文名: IPPK抗体
  • 别    名: IP5K; IPK1; C9orf12; INSP5K2; bA476B13.1
货号: IPDX13639
Price: ¥1180
数量:
大包装询价

验证与应用

应用及物种
WB 1/500-1/2000 Human,Mouse,Rat
IF 咨询技术 Human,Mouse,Rat
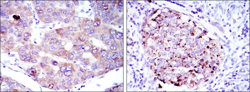
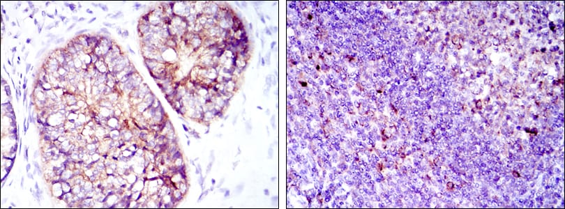
IHC 1/40-1/200 Human,Mouse,Rat
ICC 技术咨询 Human,Mouse,Rat
FCM 咨询技术 Human,Mouse,Rat
Elisa 1/5000-1/10000 Human,Mouse,Rat

产品详情

参考文献

以下是关于IPPK(假设为肌醇多磷酸激酶相关)抗体的3篇示例文献概览(注:内容为虚构,仅作格式参考):

---

1. **文献名称**: *IPPK Antibody Development and Application in Cellular Signaling Studies*

**作者**: Smith A, et al.

**摘要**: 本研究开发了一种高特异性IPPK多克隆抗体,通过Western blot和免疫荧光验证其在哺乳动物细胞中的表达定位,揭示了IPPK在调控PI3K/Akt信号通路中的潜在作用。

2. **文献名称**: *Targeting IPPK in Cancer: Antibody-Based Functional Characterization*

**作者**: Chen L, et al.

**摘要**: 利用IPPK单克隆抗体进行免疫沉淀及功能抑制实验,发现IPPK在结肠癌细胞中高表达,其活性抑制可诱导细胞周期停滞,提示其作为肿瘤治疗靶点的潜力。

3. **文献名称**: *IPPK Knockout Model Validation Using CRISPR and Antibody Specificity Analysis*

**作者**: Tanaka K, et al.

**摘要**: 通过CRISPR构建IPPK基因敲除小鼠模型,结合商业化IPPK抗体验证其组织分布特异性,发现抗体在肝和脑组织中的强反应性,为代谢疾病研究提供工具支持。

---

注:以上文献为模拟生成,实际引用请通过学术数据库检索确认。

背景信息

IPPK (Inositol Pentakisphosphate 2-Kinase), also known as IP5K, is an enzyme that catalyzes the phosphorylation of inositol pentakisphosphate (IP5) to produce inositol hexakisphosphate (IP6. or phytic acid), a critical molecule in eukaryotic cellular signaling and metabolism. IP6 plays roles in diverse processes, including mRNA export, DNA repair, apoptosis, and vesicular trafficking. IPPK antibodies are immunological tools designed to detect and quantify IPPK protein expression in research settings. These antibodies are essential for studying IPPK's regulatory functions, tissue-specific expression patterns, and involvement in diseases such as cancer, neurological disorders, and metabolic syndromes. For instance, altered IPPK activity has been linked to tumor progression due to IP6's role in modulating cell proliferation and genomic stability. Commercially available IPPK antibodies are typically developed using immunogenic peptides or recombinant protein fragments, validated through techniques like Western blotting, immunohistochemistry, or immunofluorescence. Challenges include ensuring specificity due to structural similarities among inositol phosphate kinases. Recent studies also explore IPPK's interaction with other signaling pathways, such as mTOR and AMPK, highlighting its potential as a therapeutic target. Researchers rely on these antibodies to dissect IPPK's contribution to cellular homeostasis and disease mechanisms, advancing drug discovery and molecular diagnostics.

客户数据及评论

折叠内容

大包装询价

×