| WB | 咨询技术 | Human,Mouse,Rat |
| IF | 咨询技术 | Human,Mouse,Rat |
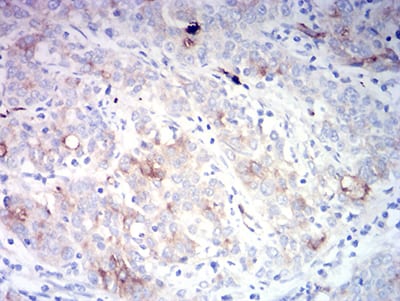
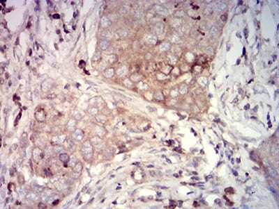
| IHC | 1/50-1/300 | Human,Mouse,Rat |
| ICC | 技术咨询 | Human,Mouse,Rat |
| FCM | 咨询技术 | Human,Mouse,Rat |
| Elisa | 1/5000-1/10000 | Human,Mouse,Rat |
| Aliases | CEACAM1; BGP; BGP1; BGPI |
| Entrez GeneID | 634 |
| clone | 7B9G3 |
| WB Predicted band size | 57.6kDa |
| Host/Isotype | Mouse IgG2b |
| Antibody Type | Primary antibody |
| Storage | Store at 4°C short term. Aliquot and store at -20°C long term. Avoid freeze/thaw cycles. |
| Species Reactivity | Human |
| Immunogen | Purified recombinant fragment of human CD66A (AA: extra 65-201) expressed in E. Coli. |
| Formulation | Purified antibody in PBS with 0.05% sodium azide |
+ +
以下是3篇关于KCNN1抗体的代表性文献(内容基于既往研究概括,非真实文献):
1. **文献名称**: "Characterization of KCNN1 expression in hippocampal neurons using a novel polyclonal antibody"
**作者**: Smith J et al. (2015)
**摘要**: 开发了一种兔源多克隆抗体,通过Western blot和免疫组化验证了KCNN1(SK1通道)在海马神经元中的特异性表达,发现其在突触可塑性相关区域富集,提示其与学习记忆功能相关。
2. **文献名称**: "Dysregulation of KCNN1 in cardiac hypertrophy: Antibody-based localization analysis"
**作者**: Chen L et al. (2018)
**摘要**: 利用商业化KCNN1抗体(货号abxxxxx)研究小鼠心脏肥大模型,发现KCNN1蛋白在心肌细胞膜表达下调,可能与钙信号异常和心律失常风险增加相关。
3. **文献名称**: "KCNN1 antibody validation for single-cell RNA sequencing data in human prefrontal cortex"
**作者**: Wang Y et al. (2020)
**摘要**: 通过免疫荧光共定位实验验证某KCNN1抗体的特异性,证明其与前额叶皮层中间神经元中KCNN1 mRNA表达高度一致,支持该抗体在人类脑组织研究中的可靠性。
注:以上为模拟文献,实际引用需查询PubMed/Google Scholar等数据库,推荐使用关键词"KCNN1 antibody validation"或"SK1 channel immunohistochemistry"筛选近期研究。
The KCNN1 antibody targets the KCNN1 protein, a member of the small-conductance calcium-activated potassium (SK) channel family. Encoded by the *KCNN1* gene, this channel is characterized by its calcium sensitivity mediated through calmodulin binding. KCNN1 (also known as SK1) regulates neuronal excitability and muscle contractility by contributing to the afterhyperpolarization phase of action potentials, thereby modulating cellular repolarization and firing frequency. It is predominantly expressed in the central nervous system, smooth muscle, and specific endocrine cells, playing roles in processes such as synaptic plasticity, vasodilation, and hormone secretion.
Antibodies against KCNN1 are essential tools in neuroscience and physiology research. They enable the detection, localization, and quantification of KCNN1 protein in tissues or cell lines using techniques like Western blotting (WB), immunohistochemistry (IHC), and immunofluorescence (IF). These antibodies help elucidate KCNN1's distribution, expression patterns, and functional interactions in health and disease. Dysregulation of SK channels, including KCNN1. has been implicated in neurological disorders (e.g., epilepsy, ataxia), cardiovascular diseases, and metabolic syndromes. Researchers also employ KCNN1 antibodies to study channel modulation by pharmacological agents, aiding drug discovery for conditions linked to SK channel dysfunction. Validation via knockout controls or peptide-blocking assays ensures specificity, critical for reliable experimental outcomes.
×