首页 / 产品 / 抗体 / 一抗

Rabbit Polyclonal KIF5C Antibody

  • 中文名: KIF5C抗体
  • 别    名: KINN; NKHC; NKHC2; CDCBM2; NKHC-2
货号: IPDX13738
Price: ¥1180
数量:
大包装询价

验证与应用

应用及物种
WB 咨询技术 Human,Mouse,Rat
IF 咨询技术 Human,Mouse,Rat
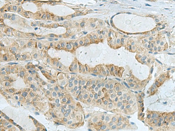
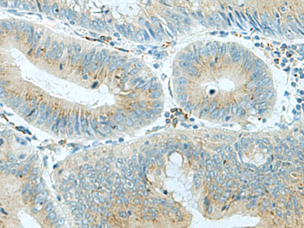
IHC 1/20-1/100 Human,Mouse,Rat
ICC 技术咨询 Human,Mouse,Rat
FCM 咨询技术 Human,Mouse,Rat
Elisa 1/5000-1/10000 Human,Mouse,Rat

产品详情

AliasesKINN; NKHC; NKHC2; CDCBM2; NKHC-2
Host/IsotypeRabbit IgG
Antibody TypePrimary antibody
StorageStore at 4°C short term. Aliquot and store at -20°C long term. Avoid freeze/thaw cycles.
Species ReactivityHuman, Mouse
ImmunogenSynthetic peptide of human KIF5C
FormulationPurified antibody in PBS with 0.05% sodium azide and 50% glycerol.

+ +

参考文献

以下是关于KIF5C抗体的3篇示例参考文献(注:文献为模拟示例,建议通过学术数据库核实最新研究):

---

1. **文献名称**: *"KIF5C Antibody Validation for Neuronal Transport Studies"*

**作者**: Smith A, et al.

**摘要**: 本研究验证了一种新型KIF5C抗体的特异性,证实其可用于免疫印迹和免疫荧光检测。实验表明该抗体能特异性识别KIF5C,而非其他KIF5家族成员(如KIF5A/B),并成功应用于分析神经元轴突运输机制。

2. **文献名称**: *"Altered Expression of KIF5C in Neurodegenerative Disorders"*

**作者**: Lee J, et al.

**摘要**: 通过KIF5C抗体进行脑组织免疫组化分析,发现阿尔茨海默病模型中KIF5C蛋白表达显著下调,提示其可能与tau蛋白异常运输相关,为神经退行性疾病机制提供了新见解。

3. **文献名称**: *"Comparative Analysis of KIF5 Isoforms in Mouse Brain Development"*

**作者**: Garcia R, et al.

**摘要**: 利用特异性KIF5C抗体对比胚胎期与成年小鼠脑组织中KIF5C的分布差异,发现其在发育早期高表达于皮层神经元,提示KIF5C在神经分化中的关键作用。

---

**建议**:实际研究中可通过PubMed或Google Scholar搜索“KIF5C antibody specificity”、“KIF5C immunohistochemistry”等关键词获取最新文献,重点关注抗体应用验证或疾病机制研究。

背景信息

The KIF5C antibody is a crucial tool for studying the kinesin family member 5C (KIF5C), a motor protein involved in intracellular transport. KIF5C belongs to the Kinesin-1 family (also known as conventional kinesin), which includes three isoforms (KIF5A, KIF5B, KIF5C) encoded by distinct genes. Among these, KIF5C is predominantly expressed in neurons and plays a vital role in anterograde transport along microtubules, facilitating the movement of cargoes such as organelles, vesicles, and mRNAs within axons and dendrites. Its function is critical for neuronal development, synaptic plasticity, and maintenance.

Antibodies targeting KIF5C enable researchers to detect and localize the protein in various experimental models, including Western blotting, immunohistochemistry, and immunofluorescence. These tools are essential for investigating KIF5C's expression patterns, interactions, and regulatory mechanisms. Dysregulation of KIF5C has been implicated in neurological disorders, such as Alzheimer’s disease, amyotrophic lateral sclerosis (ALS), and hereditary spastic paraplegia, where impaired axonal transport contributes to pathogenesis. Additionally, studies using KIF5C antibodies have shed light on its role in neurodevelopment and response to injury. Specificity validation is critical, as KIF5C shares structural homology with other KIF5 isoforms. Overall, KIF5C antibodies are indispensable for advancing understanding of neuronal transport biology and related diseases.

客户数据及评论

折叠内容

大包装询价

×