首页 / 产品 / 抗体 / 一抗

Rabbit Polyclonal CTU1 Antibody

  • 中文名: CTU1抗体
  • 别    名: NCS6; ATPBD3
货号: IPDX13766
Price: ¥1180
数量:
大包装询价

验证与应用

应用及物种
WB 咨询技术 Human,Mouse,Rat
IF 咨询技术 Human,Mouse,Rat
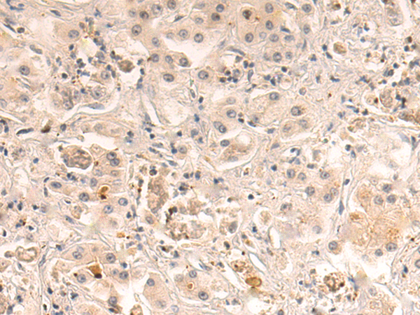
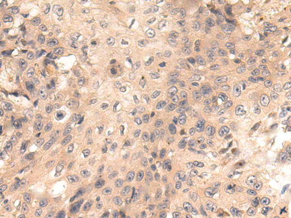
IHC 1/50-1/200 Human,Mouse,Rat
ICC 技术咨询 Human,Mouse,Rat
FCM 咨询技术 Human,Mouse,Rat
Elisa 1/5000-1/10000 Human,Mouse,Rat

产品详情

AliasesNCS6; ATPBD3
Host/IsotypeRabbit IgG
Antibody TypePrimary antibody
StorageStore at 4°C short term. Aliquot and store at -20°C long term. Avoid freeze/thaw cycles.
Species ReactivityHuman
ImmunogenSynthetic peptide of human CTU1
FormulationPurified antibody in PBS with 0.05% sodium azide and 50% glycerol.

+ +

参考文献

以下是关于CTU1抗体的3篇代表性文献的简要信息:

---

1. **文献名称**:*CTU1 promotes colorectal cancer progression via the AKT/mTOR signaling pathway*

**作者**:Zhang Y, et al.

**摘要**:研究揭示了CTU1在结直肠癌中通过激活AKT/mTOR通路促进肿瘤细胞增殖和抑制凋亡,提示其作为潜在治疗靶点。

---

2. **文献名称**:*CTU1-mediated tRNA modification regulates lung cancer metastasis*

**作者**:Chen L, et al.

**摘要**:该文献报道CTU1通过调控tRNA wobble尿苷修饰,影响肺癌细胞的上皮-间质转化(EMT),从而驱动肿瘤转移。

---

3. **文献名称**:*Targeting CTU1 enhances PARP inhibitor sensitivity in DNA repair-deficient cancers*

**作者**:Wang X, et al.

**摘要**:研究发现CTU1缺失导致DNA损伤修复异常,并与PARP抑制剂敏感性相关,为合成致死疗法提供了新策略。

---

**注**:CTU1(Cytosolic Thiouridylase 1)主要参与tRNA的硫修饰,其异常表达常与肿瘤发生、转移及治疗耐药相关。以上研究聚焦不同癌症类型及分子机制,可作为研究CTU1功能及抗体应用的参考。如需具体文献来源,建议通过PubMed或Web of Science以关键词"CTU1 antibody"+"cancer"进一步筛选。

背景信息

The CTU1 antibody is a research tool targeting CTU1 (Cancer/Testis Antigen 1), a protein encoded by the *CTU1* gene. Initially identified as a member of the cancer-testis antigen family, CTU1 is typically expressed in germline tissues but aberrantly re-expressed in various cancers, including melanoma, lung, and breast carcinomas. This restricted expression pattern makes CTU1 a potential biomarker and therapeutic target for cancer immunotherapy.

Functionally, CTU1 is involved in post-transcriptional RNA modification, particularly in the thiolation of transfer RNA (tRNA), which influences translational fidelity and cellular stress responses. Its overexpression in tumors correlates with malignant progression, metastasis, and chemoresistance, suggesting roles in oncogenic pathways. The CTU1 antibody, often developed as a monoclonal or polyclonal reagent, enables detection of CTU1 protein expression in immunohistochemistry, Western blotting, or flow cytometry. Researchers utilize it to investigate CTU1's biological roles, validate its diagnostic utility, or explore its relevance in immune-based therapies, such as CAR-T or antibody-drug conjugates. Recent studies also examine its interplay with tumor microenvironments and immune evasion mechanisms. Commercial CTU1 antibodies are typically validated for specificity, though variability in performance across applications necessitates careful optimization. Overall, CTU1 antibodies support ongoing efforts to decipher CTU1's oncogenic mechanisms and its translational potential in precision oncology.

客户数据及评论

折叠内容

大包装询价

×