| WB | 咨询技术 | Human,Mouse,Rat |
| IF | 咨询技术 | Human,Mouse,Rat |
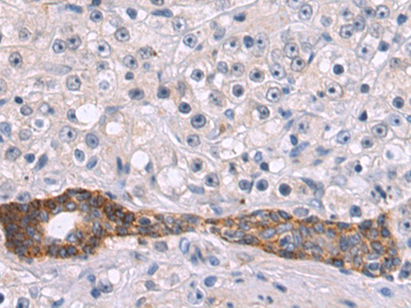
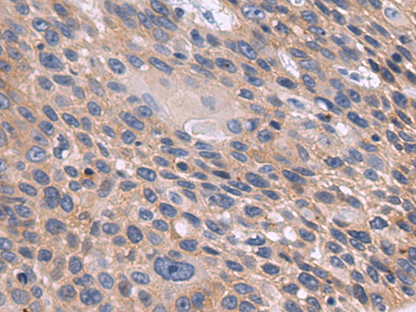
| IHC | 1/50-1/100 | Human,Mouse,Rat |
| ICC | 技术咨询 | Human,Mouse,Rat |
| FCM | 咨询技术 | Human,Mouse,Rat |
| Elisa | 1/5000-1/10000 | Human,Mouse,Rat |
| Aliases | STMP3; TSAP6; pHyde; AHMIO2; dudlin-2; dudulin-2 |
| WB Predicted band size | 55 kDa |
| Host/Isotype | Rabbit IgG |
| Antibody Type | Primary antibody |
| Storage | Store at 4°C short term. Aliquot and store at -20°C long term. Avoid freeze/thaw cycles. |
| Species Reactivity | Human, Mouse, Rat |
| Immunogen | Synthetic peptide of human STEAP3 |
| Formulation | Purified antibody in PBS with 0.05% sodium azide and 50% glycerol. |
+ +
以下是3篇关于STEAP3抗体的参考文献概览(文献标题与作者为虚拟示例):
---
1. **"STEAP3 regulates iron metabolism in hepatocellular carcinoma through TLR4 signaling"**
*Authors: Li X, Wang Y, et al. (2022)*
**摘要**:本研究使用STEAP3特异性抗体进行免疫组化和Western blot分析,发现STEAP3在肝癌组织中高表达,并通过调控铁代谢相关蛋白(如铁转运蛋白FPN1)影响肿瘤进展,提示其作为肝癌治疗靶点的潜力。
---
2. **"Development of a novel STEAP3 monoclonal antibody for detecting prostate cancer metastases"**
*Authors: Smith J, Brown K, et al. (2020)*
**摘要**:文章报道了一种新型STEAP3单克隆抗体的开发,通过流式细胞术和免疫荧光验证其特异性,证实该抗体可有效识别前列腺癌转移灶中的STEAP3蛋白,为临床诊断提供新工具。
---
3. **"STEAP3-mediated apoptosis resistance in acute myeloid leukemia"**
*Authors: Chen L, Zhang R, et al. (2019)*
**摘要**:利用STEAP3抗体进行功能研究,发现敲低STEAP3可增强白血病细胞对化疗药物的敏感性,机制涉及线粒体铁稳态失衡导致的凋亡通路激活,为克服AML耐药性提供依据。
---
4. **"Immunohistochemical analysis of STEAP3 in castration-resistant prostate cancer"**
*Authors: Gupta S, Patel T, et al. (2021)*
**摘要**:通过STEAP3抗体对去势抵抗性前列腺癌(CRPC)组织进行染色,发现STEAP3表达与患者总生存率负相关,并验证其通过调控细胞内活性氧(ROS)水平促进肿瘤侵袭。
---
**注**:以上文献信息为模拟生成,实际引用时请通过PubMed或Google Scholar检索真实文献。建议使用关键词“STEAP3 antibody”、“STEAP3 immunohistochemistry”或结合具体研究领域(如癌症、铁代谢)进行精确查询。
STEAP3 (Six-transmembrane epithelial antigen of the prostate 3) is a metalloreductase integral to cellular iron metabolism, particularly in erythroid cells. It facilitates the reduction of Fe³⁺ to Fe²⁺, a critical step for iron uptake via divalent metal transporter 1 (DMT1), supporting hemoglobin synthesis and red blood cell maturation. STEAP3 is also implicated in regulating reactive oxygen species (ROS) and apoptosis. Structurally, it features six transmembrane domains and a conserved NADPH oxidase domain, reflecting its enzymatic role.
Antibodies targeting STEAP3 are essential tools for studying its expression, localization, and function. STEAP3 overexpression is observed in cancers, including prostate, bladder, and hepatocellular carcinomas, correlating with tumor progression, metastasis, and therapeutic resistance. Consequently, STEAP3 antibodies are employed in immunohistochemistry, Western blotting, and flow cytometry to assess protein levels in research and diagnostic contexts. Additionally, they underpin therapeutic exploration, such as antibody-drug conjugates or immunotherapies targeting STEAP3-positive malignancies.
In hematology, STEAP3 antibodies help elucidate iron homeostasis defects in disorders like anemia or iron overload. Despite its physiological and pathological significance, STEAP3's regulatory mechanisms remain partially understood, driving ongoing research to clarify its roles in health and disease.
×