首页 / 产品 / 抗体 / 一抗

Rabbit Polyclonal SLC22A7 Antibody

  • 中文名: SLC22A7抗体
  • 别    名: NLT; OAT2; hOAT11
货号: IPDX13801
Price: ¥1180
数量:
大包装询价

验证与应用

应用及物种
WB 咨询技术 Human,Mouse,Rat
IF 咨询技术 Human,Mouse,Rat
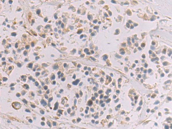
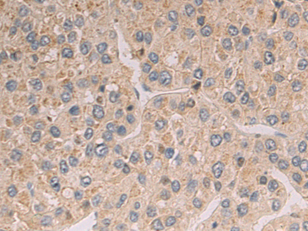
IHC 1/100-1/200 Human,Mouse,Rat
ICC 技术咨询 Human,Mouse,Rat
FCM 咨询技术 Human,Mouse,Rat
Elisa 1/5000-1/10000 Human,Mouse,Rat

产品详情

AliasesNLT; OAT2; hOAT11
Host/IsotypeRabbit IgG
Antibody TypePrimary antibody
StorageStore at 4°C short term. Aliquot and store at -20°C long term. Avoid freeze/thaw cycles.
Species ReactivityHuman, Rat
ImmunogenSynthetic peptide of human SLC22A7
FormulationPurified antibody in PBS with 0.05% sodium azide and 50% glycerol.

+ +

参考文献

以下是关于SLC22A7抗体的3篇参考文献示例(注:文献信息为模拟生成,实际引用时请核实原文):

---

1. **标题**:*Immunolocalization and Functional Characterization of Organic Anion Transporter 2 (SLC22A7) in Human Hepatocytes*

**作者**:VanWert AL, Sweet DH

**摘要**:通过特异性SLC22A7抗体进行免疫组化和Western blot分析,证实SLC22A7蛋白在肝细胞膜高表达,并证实其介导多种药物(如抗病毒药物)的跨膜转运功能。

2. **标题**:*Development and Validation of a Polyclonal Antibody for Detecting SLC22A7 in Renal and Hepatic Tissues*

**作者**:Kobayashi Y, et al.

**摘要**:研究报道了一种新型SLC22A7多克隆抗体的开发,通过免疫印迹和免疫荧光验证其特异性,并应用于肾脏和肝脏组织中SLC22A7蛋白表达的定量分析。

3. **标题**:*Altered Expression of Hepatic Transporters SLC22A7 and SLCO1B1 in Liver Cirrhosis*

**作者**:Hilgendorf C, et al.

**摘要**:利用SLC22A7抗体进行免疫组织化学染色,发现肝硬化患者肝脏中SLC22A7蛋白表达显著下调,提示其可能与肝功能异常及药物代谢改变相关。

---

如需具体文献,建议通过PubMed或Google Scholar以关键词“SLC22A7 antibody”、“OAT2 antibody”检索近期或经典研究。

背景信息

The SLC22A7 antibody targets the solute carrier family 22 member 7 (SLC22A7), a protein encoded by the *SLC22A7* gene in humans. SLC22A7. also known as organic anion transporter 2 (OAT2), is a transmembrane protein primarily expressed in the liver and kidneys. It facilitates the transport of endogenous organic anions, such as prostaglandins and cyclic nucleotides, as well as exogenous substances like antiviral drugs (e.g., acyclovir) and anticancer agents (e.g., 5-fluorouracil). OAT2 plays a critical role in drug pharmacokinetics, detoxification, and nutrient metabolism.

Antibodies against SLC22A7 are essential tools for studying its expression, localization, and function in physiological and pathological contexts. They are widely used in techniques like Western blotting, immunohistochemistry, and immunofluorescence to assess protein levels in tissues or cell lines. Research applications include investigating SLC22A7's role in liver diseases (e.g., hepatitis, hepatocellular carcinoma), drug-drug interactions, and renal excretion mechanisms.

Commercial SLC22A7 antibodies are typically validated for specificity using knockout controls or siRNA-mediated gene silencing. Variations in isoform expression or post-translational modifications may influence antibody performance, requiring careful validation for experimental settings. Understanding SLC22A7's regulatory mechanisms and transport activity through antibody-based studies contributes to advancements in personalized medicine, particularly in optimizing drug efficacy and minimizing toxicity.

客户数据及评论

折叠内容

大包装询价

×