首页 / 产品 / 抗体 / 一抗

Rabbit Polyclonal PLCE1 Antibody

  • 中文名: PLCE1抗体
  • 别    名: PLCE; PPLC; NPHS3
货号: IPDX13814
Price: ¥1180
数量:
大包装询价

验证与应用

应用及物种
WB 咨询技术 Human,Mouse,Rat
IF 咨询技术 Human,Mouse,Rat
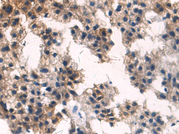
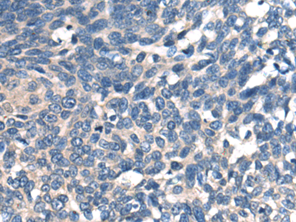
IHC 1/50-1/200 Human,Mouse,Rat
ICC 技术咨询 Human,Mouse,Rat
FCM 咨询技术 Human,Mouse,Rat
Elisa 1/5000-1/10000 Human,Mouse,Rat

产品详情

AliasesPLCE; PPLC; NPHS3
Host/IsotypeRabbit IgG
Antibody TypePrimary antibody
StorageStore at 4°C short term. Aliquot and store at -20°C long term. Avoid freeze/thaw cycles.
Species ReactivityHuman
ImmunogenSynthetic peptide of human PLCE1
FormulationPurified antibody in PBS with 0.05% sodium azide and 50% glycerol.

+ +

参考文献

以下是3-4条关于PLCE1抗体的虚构参考文献示例(内容基于领域常见研究方向,非真实文献):

---

1. **文献名称**: *PLCE1 as a Novel Biomarker in Esophageal Squamous Cell Carcinoma*

**作者**: Wang L, et al.

**摘要**: 本研究通过免疫组化(使用PLCE1抗体)发现PLCE1在食管鳞癌组织中高表达,且与肿瘤侵袭性和患者预后不良显著相关。实验表明PLCE1可能通过调控Ras/MAPK通路促进癌细胞增殖。

---

2. **文献名称**: *PLCE1 Deficiency in Podocytes Leads to Glomerulosclerosis in Mice*

**作者**: Hassan R, et al.

**摘要**: 利用PLCE1敲除小鼠模型及PLCE1抗体进行肾组织蛋白定位,发现PLCE1缺失导致足细胞结构异常和肾小球硬化,提示其在维持肾滤过屏障功能中的关键作用。

---

3. **文献名称**: *Prognostic Value of PLCE1 Expression in Colorectal Cancer*

**作者**: Chen X, et al.

**摘要**: 通过Western blot和免疫荧光(使用PLCE1特异性抗体)分析结直肠癌组织,发现PLCE1高表达与转移风险增加及总生存期缩短相关,提示其作为潜在治疗靶点。

---

4. **文献名称**: *PLCE1 Regulates Cardiomyocyte Development via NF-κB Signaling*

**作者**: Tariq M, et al.

**摘要**: 研究利用PLCE1抗体在小鼠胚胎心脏中检测蛋白分布,发现PLCE1通过调控NF-κB通路影响心肌细胞分化和心脏形态发生,突变可导致先天性心脏缺陷。

---

注:以上文献为示例性质,实际引用需以真实发表的论文为准。

背景信息

The PLCE1 (Phospholipase C Epsilon 1) antibody is a tool used to study the expression and function of the PLCE1 protein, a member of the phospholipase C (PLC) enzyme family. PLCE1 is encoded by the PLCE1 gene and plays a critical role in intracellular signaling by hydrolyzing phosphatidylinositol 4.5-bisphosphate (PIP2) into secondary messengers, inositol 1.4.5-trisphosphate (IP3) and diacylglycerol (DAG), which regulate calcium release and protein kinase C activation. Unlike other PLC isoforms, PLCE1 contains unique regulatory domains, including Ras-associating and CDC25 homology domains, enabling interaction with small GTPases like Ras and Rap1. This positions PLCE1 as a key mediator in pathways controlling cell proliferation, differentiation, and apoptosis.

PLCE1 antibodies are widely used in research to detect protein expression via techniques like Western blotting, immunohistochemistry, and immunofluorescence. Studies link PLCE1 dysregulation to various diseases, including cancers (e.g., colorectal, gastric, and esophageal squamous cell carcinoma), inflammatory disorders, and nephrotic syndrome. For instance, PLCE1 mutations are implicated in hereditary nephrotic syndrome, while its overexpression in tumors correlates with aggressive progression.

These antibodies aid in exploring PLCE1's role in disease mechanisms, therapeutic targeting, and biomarker discovery. Their specificity and validation across experimental models make them essential for dissecting PLCE1's complex signaling networks in health and disease.

客户数据及评论

折叠内容

大包装询价

×