首页 / 产品 / 抗体 / 一抗

Mouse Monoclonal NCF2 Antibody

  • 中文名: NCF2抗体
  • 别    名: nan
货号: IPDX15051
Price: ¥1280
数量:
大包装询价

验证与应用

应用及物种
WB 咨询技术 Human,Mouse,Rat
IF 咨询技术 Human,Mouse,Rat
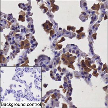
IHC 1/100-1/200 Human,Mouse,Rat
ICC 技术咨询 Human,Mouse,Rat
FCM 咨询技术 Human,Mouse,Rat
Elisa 咨询技术 Human,Mouse,Rat

产品详情

Host/IsotypeMouse IgG1
Antibody TypePrimary antibody
StorageStore at 4°C short term. Aliquot and store at -20°C long term. Avoid freeze/thaw cycles.
Species ReactivityHuman
ImmunogenPurified recombinant fragment of human NCF2
FormulationPurified antibody in PBS with 0.05% sodium azide

+ +

参考文献

以下是关于NCF2抗体的3篇代表性文献的简要信息:

1. **文献名称**:*NCF2 (p67phox) deficiency in chronic granulomatous disease: genetic and functional heterogeneity*

**作者**:Roos, D., et al.

**摘要**:该研究探讨了慢性肉芽肿病(CGD)患者中NCF2基因突变导致的p67phox蛋白功能缺陷,通过特异性抗体检测患者中性粒细胞中NCF2蛋白的表达缺失,揭示了其与NADPH氧化酶活性丧失的关联。

2. **文献名称**:*Structural and functional characterization of the NCF2 protein in NADPH oxidase assembly*

**作者**:Matute, J.D., et al.

**摘要**:文章利用NCF2抗体进行免疫共沉淀和免疫荧光实验,解析了NCF2在NADPH氧化酶复合体中的结构作用,证明其通过与p47phox和Rac蛋白互作调控活性氧(ROS)生成。

3. **文献名称**:*Autoantibodies against NCF2 in systemic lupus erythematosus: a potential biomarker for disease activity*

**作者**:Jacobson, L., & Vazquez, C.

**摘要**:研究发现部分系统性红斑狼疮(SLE)患者血清中存在针对NCF2的自身抗体,通过ELISA和Western blot验证,提示其可能与疾病活动性及氧化应激水平相关。

4. **文献名称**:*Development of a monoclonal antibody for specific detection of NCF2 in human neutrophils*

**作者**:Huang, Y., et al.

**摘要**:研究团队开发了一种高特异性抗人NCF2的单克隆抗体,验证了其在流式细胞术和免疫组化中的应用,为CGD诊断和氧化酶功能研究提供了新工具。

这些文献涵盖了NCF2抗体在疾病机制、结构功能研究、自身免疫诊断及工具开发中的关键应用。

背景信息

The NCF2 (Neutrophil Cytosolic Factor 2) antibody is a tool used to study the p67phox protein, encoded by the *NCF2* gene, which is a critical component of the NADPH oxidase complex. This enzyme complex, primarily active in phagocytes, generates reactive oxygen species (ROS) crucial for microbial killing and inflammatory regulation. NCF2/p67phox binds to other subunits (e.g., p22phox, p47phox) to activate NADPH oxidase, facilitating electron transfer for superoxide production. Mutations in *NCF2* disrupt ROS generation, leading to chronic granulomatous disease (CGD), a rare immunodeficiency characterized by recurrent infections and granuloma formation. NCF2 antibodies are employed in research to detect protein expression, localization, and interactions, aiding in understanding NADPH oxidase dysfunction in CGD and other conditions like autoimmune disorders (e.g., lupus) where aberrant ROS signaling contributes to pathogenesis. They also serve diagnostic purposes, identifying NCF2 deficiencies in clinical settings. Recent studies explore NCF2’s role beyond immunity, including its impact on cellular signaling and cancer progression. Commercial NCF2 antibodies are typically validated for techniques like Western blotting, immunofluorescence, or ELISA, with specificity varying by epitope and host species. Ongoing research continues to refine their applications in both basic and translational contexts.

客户数据及评论

折叠内容

大包装询价

×