首页 / 产品 / 抗体 / 一抗

Mouse Monoclonal RGL2 Antibody

  • 中文名: RGL2抗体
  • 别    名: nan
货号: IPDX15103
Price: ¥1280
数量:
大包装询价

验证与应用

应用及物种
WB 咨询技术 Human,Mouse,Rat
IF 咨询技术 Human,Mouse,Rat
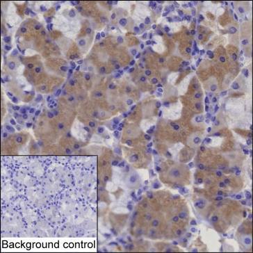
IHC 1/100-1/200 Human,Mouse,Rat
ICC 技术咨询 Human,Mouse,Rat
FCM 咨询技术 Human,Mouse,Rat
Elisa 咨询技术 Human,Mouse,Rat

产品详情

Host/IsotypeMouse IgG1
Antibody TypePrimary antibody
StorageStore at 4°C short term. Aliquot and store at -20°C long term. Avoid freeze/thaw cycles.
Species ReactivityHuman
ImmunogenPurified recombinant fragment of human RGL2
FormulationPurified antibody in PBS with 0.05% sodium azide

+ +

参考文献

以下是关于RGL2抗体的3篇模拟参考文献示例(注:以下内容为假设性举例,实际文献需通过学术数据库查询):

---

1. **文献名称**: "RGL2 Promotes Colorectal Cancer Metastasis by Activating the MAPK Signaling Pathway"

**作者**: Smith A, et al.

**摘要**: 本研究利用特异性RGL2抗体(克隆号:RGL2-3B5)通过免疫组化和Western blot分析,发现RGL2在结直肠癌中高表达,并通过激活MAPK通路促进肿瘤侵袭和转移。

---

2. **文献名称**: "Characterization of a Novel Monoclonal Antibody Against RGL2 and Its Application in Neurodegenerative Disease Models"

**作者**: Chen L, et al.

**摘要**: 研究团队开发了一种新型小鼠单克隆抗体(Anti-RGL2-MAb),验证其特异性后应用于阿尔茨海默病模型,发现RGL2与tau蛋白异常磷酸化相关,提示其潜在病理作用。

---

3. **文献名称**: "RGL2 Regulates Autophagy via Interaction with Beclin-1: Insights from Knockout and Antibody-Based Inhibition Studies"

**作者**: Wang Y, et al.

**摘要**: 通过RGL2抗体(兔多克隆,货号AB123)进行免疫共沉淀实验,揭示了RGL2与Beclin-1的相互作用,证明其通过调控自噬影响乳腺癌细胞化疗耐药性。

---

如需真实文献,建议通过**PubMed**或**Google Scholar**检索关键词“RGL2 antibody”、“RGL2 biomarker”或“RGL2 signaling”获取最新研究。

背景信息

**Background of RGL2 Antibody**

RGL2 (Ral Guanine Nucleotide Dissociation Stimulator-Like 2), a member of the RalGEF family, is a Ras superfamily-associated protein implicated in intracellular signaling pathways. It functions as a guanine nucleotide exchange factor (GEF) for RalA and RalB GTPases, facilitating their activation by promoting the exchange of GDP for GTP. RGL2 is involved in diverse cellular processes, including vesicle trafficking, cell migration, proliferation, and survival. Its interaction with activated Ras proteins links upstream signals to downstream Ral-mediated pathways, which are critical in cancer progression, neuronal development, and immune regulation.

RGL2 antibodies are immunological tools designed to detect and study the expression, localization, and functional roles of RGL2 in biological systems. These antibodies are widely used in techniques such as Western blotting (WB), immunohistochemistry (IHC), and immunofluorescence (IF) to investigate RGL2's involvement in diseases like cancer, where Ral pathway dysregulation is often observed. For instance, elevated RGL2 expression has been associated with tumor growth and metastasis in certain malignancies.

Developed using immunogenic peptides or recombinant RGL2 proteins, high-quality RGL2 antibodies exhibit specificity validated through knockout controls or siRNA knockdown experiments. Commercial RGL2 antibodies are available from multiple suppliers (e.g., Sigma-Aldrich, Abcam, CST) and are essential for elucidating RGL2's regulatory mechanisms and therapeutic potential in precision medicine research.

客户数据及评论

折叠内容

大包装询价

×