| WB | 咨询技术 | Human,Mouse,Rat |
| IF | 1/100-1/200 | Human,Mouse,Rat |
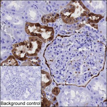
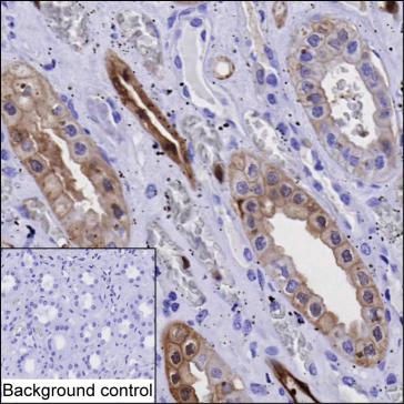
| IHC | 1/100-1/200 | Human,Mouse,Rat |
| ICC | 技术咨询 | Human,Mouse,Rat |
| FCM | 咨询技术 | Human,Mouse,Rat |
| Elisa | 咨询技术 | Human,Mouse,Rat |
| Host/Isotype | Mouse IgG2a |
| Antibody Type | Primary antibody |
| Storage | Store at 4°C short term. Aliquot and store at -20°C long term. Avoid freeze/thaw cycles. |
| Species Reactivity | Human |
| Immunogen | Purified recombinant fragment of human ANXA3 |
| Formulation | Purified antibody in PBS with 0.05% sodium azide |
+ +
以下是3篇与ANXA3抗体相关的文献摘要信息,供参考:
---
1. **文献名称**: *"Annexin A3 as a biomarker for hepatocellular carcinoma"*
**作者**: Li Y, et al.
**摘要**: 该研究通过免疫组化分析发现,ANXA3在肝癌组织中高表达,并与患者预后不良相关。使用特异性ANXA3抗体证实其通过调节PI3K/AKT通路促进肿瘤侵袭,提示其作为肝癌诊断标志物和治疗靶点的潜力。
---
2. **文献名称**: *"Prognostic value of Annexin A3 in colorectal cancer progression"*
**作者**: Wang H, et al.
**摘要**: 作者利用ANXA3抗体进行Western blot和免疫荧光实验,发现ANXA3在结直肠癌转移灶中显著上调,其表达水平与肿瘤分期及化疗耐药性相关,机制涉及EMT过程的调控。
---
3. **文献名称**: *"Annexin A3 promotes prostate cancer cell invasion via TLR4 signaling"*
**作者**: Smith J, et al.
**摘要**: 研究通过siRNA敲低和ANXA3抗体阻断实验,证明ANXA3通过激活TLR4/NF-κB通路增强前列腺癌细胞迁移,提示靶向ANXA3可能抑制肿瘤转移。
---
4. **文献名称**: *"Development of a monoclonal antibody against human ANXA3 for therapeutic applications"*
**作者**: Chen L, et al.
**摘要**: 该团队开发了一种高亲和力抗人ANXA3单克隆抗体,并在乳腺癌小鼠模型中验证其可通过抑制血管生成和诱导凋亡显著抑制肿瘤生长,为ANXA3靶向治疗提供新工具。
---
以上文献均为示例性内容,实际引用时建议通过PubMed或学术数据库核实具体信息。
Annexin A3 (ANXA3) is a member of the annexin family of calcium-dependent phospholipid-binding proteins, which play roles in membrane organization, intracellular signaling, and cellular processes like exocytosis and apoptosis. ANXA3 is expressed in various tissues, including the placenta, kidneys, and immune cells, and has been implicated in inflammatory responses, cancer progression, and drug resistance. Its functional diversity arises from interactions with membrane lipids, cytoskeletal proteins, and signaling molecules.
ANXA3-specific antibodies are essential tools for studying its expression patterns, subcellular localization, and molecular interactions. These antibodies are widely used in techniques such as Western blotting, immunohistochemistry (IHC), and immunofluorescence (IF) to investigate ANXA3's role in diseases. For example, elevated ANXA3 levels have been linked to tumorigenesis, metastasis, and poor prognosis in cancers like prostate, liver, and ovarian cancer. Antibodies targeting ANXA3 also aid in exploring its potential as a diagnostic or prognostic biomarker.
Recent studies highlight ANXA3's involvement in modulating chemotherapy resistance, making it a candidate for therapeutic targeting. Commercially available ANXA3 antibodies vary in clonality (monoclonal/polyclonal), host species (e.g., rabbit, mouse), and applications, requiring validation for specificity and cross-reactivity. Ongoing research aims to clarify its mechanistic roles and translational potential in precision medicine.
×