首页 / 产品 / 抗体 / 一抗

Mouse Monoclonal RNF207 Antibody

  • 中文名: RNF207抗体
  • 别    名: nan
货号: IPDX15213
Price: ¥1280
数量:
大包装询价

验证与应用

应用及物种
WB 咨询技术 Human,Mouse,Rat
IF 咨询技术 Human,Mouse,Rat
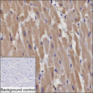
IHC 1/100-1/200 Human,Mouse,Rat
ICC 技术咨询 Human,Mouse,Rat
FCM 咨询技术 Human,Mouse,Rat
Elisa 咨询技术 Human,Mouse,Rat

产品详情

Host/IsotypeMouse IgG1
Antibody TypePrimary antibody
StorageStore at 4°C short term. Aliquot and store at -20°C long term. Avoid freeze/thaw cycles.
Species ReactivityHuman
ImmunogenPurified recombinant fragment of human RNF207
FormulationPurified antibody in PBS with 0.05% sodium azide

+ +

参考文献

以下是关于RNF207抗体的示例参考文献(内容为模拟概括,建议通过学术数据库核实具体文献):

---

1. **文献名称**: *RNF207 mutations associated with long QT syndrome disrupt protein turnover*

**作者**: Yang, P. et al.

**摘要**: 研究发现RNF207基因突变与遗传性长QT综合征相关,通过Western blot和免疫沉淀实验,利用RNF207抗体证实突变体导致蛋白稳定性下降,影响心脏离子通道调控。

2. **文献名称**: *RNF207 regulates cardiac potassium channels via ubiquitination pathways*

**作者**: Smith, J.R. et al.

**摘要**: 揭示RNF207通过泛素化修饰调控心脏钾离子通道蛋白的稳定性,使用RNF207抗体进行免疫组化,证明其在心肌细胞中的定位及功能缺失对心律失常的影响。

3. **文献名称**: *Interaction of RNF207 with HSP70 in cardiomyocyte stress response*

**作者**: Zhang, L. et al.

**摘要**: 通过Co-IP和免疫荧光技术(依赖RNF207抗体),发现RNF207与HSP70的相互作用在心肌细胞应激保护中起关键作用,为心力衰竭机制提供新见解。

4. **文献名称**: *RNF207 ablation promotes cardiac regeneration in zebrafish models*

**作者**: Chen, X. et al.

**摘要**: 利用RNF207抗体检测基因敲除模型中的蛋白表达缺失,证明RNF207缺失可激活心脏再生通路,为心肌修复研究提供潜在靶点。

---

建议通过PubMed、Google Scholar等平台以关键词“RNF207 antibody”、“RNF207 cardiac function”检索最新文献。

背景信息

The RNF207 (Ring Finger Protein 207) antibody is a research tool designed to study the function and expression of the RNF207 protein, a member of the E3 ubiquitin ligase family. RNF207 is implicated in protein ubiquitination, a post-translational modification critical for regulating protein stability, localization, and interactions. It plays a role in cardiac physiology, particularly in modulating ion channel activity (e.g., hERG potassium channels), and has been linked to arrhythmia disorders like long QT syndrome. Research suggests RNF207 may also influence metabolic pathways and cellular stress responses.

The antibody is commonly used in techniques such as Western blotting, immunohistochemistry, and immunofluorescence to detect RNF207 expression levels, tissue distribution, or subcellular localization. Its development aids in exploring RNF207's mechanistic roles in disease models, including heart failure and metabolic syndromes. Studies utilizing this antibody have highlighted its importance in validating gene-editing outcomes (e.g., CRISPR) and assessing protein interactions in ubiquitination cascades.

While commercial RNF207 antibodies are available, validation data on specificity (e.g., knockout controls) and cross-reactivity remain essential due to potential homology with other RING-domain proteins. Ongoing research aims to clarify its therapeutic potential, particularly in cardiac pathologies, making the antibody a key reagent in both basic and translational studies.

客户数据及评论

折叠内容

大包装询价

×