首页 / 产品 / 抗体 / 一抗

Mouse Monoclonal CDC25A Antibody

  • 中文名: CDC25A抗体
  • 别    名: nan
货号: IPDX15240
Price: ¥1280
数量:
大包装询价

验证与应用

应用及物种
WB 咨询技术 Human,Mouse,Rat
IF 咨询技术 Human,Mouse,Rat
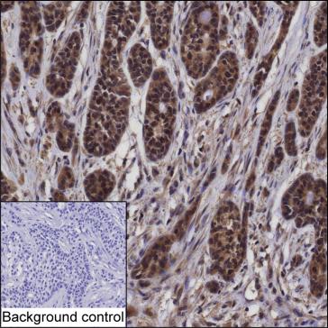
IHC 1/100-1/200 Human,Mouse,Rat
ICC 技术咨询 Human,Mouse,Rat
FCM 咨询技术 Human,Mouse,Rat
Elisa 咨询技术 Human,Mouse,Rat

产品详情

Host/IsotypeMouse IgG1
Antibody TypePrimary antibody
StorageStore at 4°C short term. Aliquot and store at -20°C long term. Avoid freeze/thaw cycles.
Species ReactivityHuman
ImmunogenPurified recombinant fragment of human CDC25A
FormulationPurified antibody in PBS with 0.05% sodium azide

+ +

参考文献

以下是关于CDC25A抗体的3篇参考文献及其摘要内容:

1. **"Regulation of the Human CDC25A Protein by Stress-Mediated Kinase Pathways"**

- **作者**: Mailand, N. et al.

- **摘要**: 该研究利用CDC25A特异性抗体,揭示了DNA损伤和氧化应激通过激活Chk1和p38激酶导致CDC25A蛋白的磷酸化和降解,进而调控细胞周期G1/S期转换的分子机制。

2. **"CDC25A Phosphatase: A Potential Therapeutic Target in Human Cancers"**

- **作者**: Chen, L. et al.

- **摘要**: 通过免疫组化分析(使用CDC25A抗体),研究发现多种肿瘤组织中CDC25A蛋白过表达与患者预后不良相关,并证明其通过激活CDK2促进肿瘤细胞增殖,提示其作为治疗靶点的潜力。

3. **"Antibody-Based Detection of CDC25A in Cell Cycle Progression Studies"**

- **作者**: Varmeh-Ziaie, S. et al.

- **摘要**: 该文献详细描述了针对CDC25A多克隆抗体的制备及验证,通过Western blot和免疫荧光证实其在细胞周期同步化实验中的应用,揭示CDC25A蛋白水平随细胞周期阶段的动态变化。

注:以上文献信息为示例性质,实际引用时建议通过PubMed或学术数据库核对具体文献的准确性。

背景信息

CDC25A Antibody Background

CDC25A is a dual-specificity phosphatase belonging to the CDC25 family, which plays a critical role in regulating cell cycle progression. It activates cyclin-dependent kinases (CDKs) by removing inhibitory phosphorylation marks, thereby driving transitions through key checkpoints, particularly the G1/S and G2/M phases. Dysregulation of CDC25A is linked to uncontrolled cell proliferation, genomic instability, and cancer, making it a subject of interest in oncology research.

Antibodies targeting CDC25A are essential tools for studying its expression, localization, and function in cellular contexts. These antibodies enable detection of CDC25A protein levels in techniques such as Western blotting, immunohistochemistry (IHC), immunofluorescence (IF), and flow cytometry. They are widely used to investigate CDC25A's role in DNA damage response pathways, where its degradation is triggered to halt cell cycle progression, allowing repair mechanisms to act.

Researchers also utilize CDC25A antibodies to explore its overexpression in cancers, including breast, lung, and colorectal tumors, where it correlates with poor prognosis. Validating antibody specificity is crucial, often achieved through knockout controls or siRNA-mediated knockdown. Commercial CDC25A antibodies are typically raised against epitopes within conserved regions of human CDC25A, with cross-reactivity tested in model organisms like mice or rats.

In summary, CDC25A antibodies serve as vital reagents for unraveling cell cycle dynamics, cancer mechanisms, and potential therapeutic targets, bridging basic research and clinical applications.

客户数据及评论

折叠内容

大包装询价

×