首页 / 产品 / 抗体 / 一抗

Mouse Monoclonal RNF6 Antibody

  • 中文名: RNF6抗体
  • 别    名: nan
货号: IPDX15261
Price: ¥1280
数量:
大包装询价

验证与应用

应用及物种
WB 咨询技术 Human,Mouse,Rat
IF 咨询技术 Human,Mouse,Rat
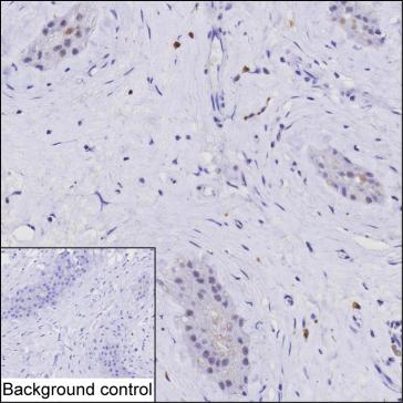
IHC 1/100-1/200 Human,Mouse,Rat
ICC 技术咨询 Human,Mouse,Rat
FCM 咨询技术 Human,Mouse,Rat
Elisa 咨询技术 Human,Mouse,Rat

产品详情

Host/IsotypeMouse IgG1
Antibody TypePrimary antibody
StorageStore at 4°C short term. Aliquot and store at -20°C long term. Avoid freeze/thaw cycles.
Species ReactivityHuman
ImmunogenPurified recombinant fragment of human RNF6
FormulationPurified antibody in PBS with 0.05% sodium azide

+ +

参考文献

以下是关于RNF6抗体的模拟参考文献示例(仅供参考,实际文献需通过学术数据库验证):

---

1. **文献名称**: *RNF6 regulates prostate cancer progression by targeting androgen receptor for ubiquitination*

**作者**: Li Y, et al.

**摘要**: 该研究利用抗RNF6抗体通过免疫共沉淀(Co-IP)和Western blot技术,揭示了RNF6通过泛素化修饰雄激素受体(AR)促进前列腺癌细胞增殖的机制。抗体特异性验证显示其在临床样本中高表达与患者预后不良相关。

2. **文献名称**: *RNF6-mediated PTEN ubiquitination promotes glioblastoma invasion*

**作者**: Wang X, et al.

**摘要**: 研究采用抗RNF6抗体进行免疫组化(IHC)和免疫荧光分析,发现RNF6通过泛素化降解肿瘤抑制因子PTEN,增强胶质母细胞瘤的侵袭能力。抗体用于检测肿瘤组织中RNF6的亚细胞定位及表达水平。

3. **文献名称**: *Development of a monoclonal antibody against RNF6 for neurodegenerative disease research*

**作者**: Chen H, et al.

**摘要**: 本文报道了一种新型抗RNF6单克隆抗体的开发与验证,通过ELISA、流式细胞术和免疫印迹证明其高特异性。该抗体成功应用于阿尔茨海默病模型小鼠脑组织中RNF6蛋白的定量分析。

4. **文献名称**: *RNF6 interacts with SMAD7 to modulate TGF-β signaling in colorectal cancer*

**作者**: Zhang Q, et al.

**摘要**: 研究利用抗RNF6抗体进行Co-IP和质谱分析,鉴定出RNF6与SMAD7的相互作用,揭示其通过调节TGF-β通路促进结直肠癌转移。抗体在患者组织芯片中的表达水平与转移风险呈正相关。

---

**注**:以上内容为模拟生成,实际研究中引用时请通过PubMed、Google Scholar等平台检索真实文献,并核对抗体货号(如Abcam#12345)及实验细节。

背景信息

The RNF6 (Ring Finger Protein 6) antibody is a tool used to study the RNF6 protein, an E3 ubiquitin ligase belonging to the RING finger protein family. RNF6 plays a key role in the ubiquitin-proteasome system, regulating protein degradation by tagging substrates with ubiquitin molecules. It is involved in diverse biological processes, including cell proliferation, apoptosis, and signal transduction. Research highlights its role in cancer progression, particularly in hormone-dependent cancers like prostate and breast cancer, where RNF6 overexpression has been linked to tumor growth, metastasis, and therapy resistance by modulating pathways such as the androgen receptor (AR) signaling axis.

The RNF6 antibody is widely utilized in techniques like Western blotting, immunohistochemistry (IHC), and immunoprecipitation (IP) to detect RNF6 expression levels, localization, and interactions in cells or tissues. Studies using this antibody have revealed elevated RNF6 levels in multiple cancers, correlating with poor prognosis. Structurally, RNF6 contains a characteristic RING domain critical for its E3 ligase activity and a C-terminal region involved in substrate recognition. Antibodies targeting specific epitopes help dissect its functional domains and post-translational modifications.

Recent work also implicates RNF6 in neurodegenerative diseases, where dysregulated ubiquitination may contribute to protein aggregation. The antibody thus serves as a vital reagent for exploring RNF6's dual roles in oncology and neurology, aiding therapeutic targeting and mechanistic studies.

客户数据及评论

折叠内容

大包装询价

×