首页 / 产品 / 抗体 / 一抗

Mouse Monoclonal CMPK2 Antibody

  • 中文名: CMPK2抗体
  • 别    名: nan
货号: IPDX15295
Price: ¥1280
数量:
大包装询价

验证与应用

应用及物种
WB 咨询技术 Human,Mouse,Rat
IF 咨询技术 Human,Mouse,Rat
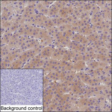
IHC 1/100-1/200 Human,Mouse,Rat
ICC 技术咨询 Human,Mouse,Rat
FCM 咨询技术 Human,Mouse,Rat
Elisa 咨询技术 Human,Mouse,Rat

产品详情

Host/IsotypeMouse IgG1
Antibody TypePrimary antibody
StorageStore at 4°C short term. Aliquot and store at -20°C long term. Avoid freeze/thaw cycles.
Species ReactivityHuman
ImmunogenPurified recombinant fragment of human CMPK2
FormulationPurified antibody in PBS with 0.05% sodium azide

+ +

参考文献

1. **"CMPK2 is a host restriction factor that inhibits infection of multiple coronaviruses in a cell-intrinsic manner"**

*Authors: Li Y, Ren Z, et al.*

摘要:该研究通过CRISPR筛选发现CMPK2在抑制冠状病毒感染中的作用,利用CMPK2抗体验证其在多种细胞中的基础表达及干扰素诱导表达,证明其通过干扰病毒RNA合成发挥抗病毒功能。

2. **"Mitochondrial CMPK2 mediates metabolic adaptation in hepatocellular carcinoma"**

*Authors: Wang X, Chen J, et al.*

摘要:研究揭示CMPK2在线粒体核苷酸代谢中的关键作用,通过特异性抗体检测肝癌组织中CMPK2蛋白水平升高,并证明其促进肿瘤细胞能量代谢重编程及化疗耐药。

3. **"CMPK2 couples immune activation to mitochondrial antiviral signaling"**

*Authors: Zhang Q, Zhou P, et al.*

摘要:文章阐明CMPK2作为干扰素刺激基因,通过抗体介导的蛋白质互作实验证实其与MAVS信号复合体结合,增强抗RNA病毒先天免疫反应,并调控线粒体膜电位变化。

4. **"A genome-wide siRNA screen identifies CMPK2 as a regulator of inflammasome activation"**

*Authors: Schmidt N, Gorka O, et al.*

摘要:通过全基因组筛选发现CMPK2调控NLRP3炎症小体活化,利用CMPK2抗体进行免疫印迹及免疫沉淀实验,揭示其通过调节胞内UTP水平影响炎症小体组装。

背景信息

CMPK2 (cytidine/uridine monophosphate kinase 2) is a mitochondrial enzyme belonging to the nucleoside monophosphate kinase family, primarily involved in nucleotide metabolism. It catalyzes the phosphorylation of pyrimidine nucleotides (e.g., UMP, CMP) to their diphosphate forms, supporting mitochondrial DNA synthesis and replication. CMPK2 has gained attention for its role in antiviral innate immunity, where it interacts with mitochondrial antiviral-signaling protein (MAVS) to enhance interferon production during RNA viral infections. Dysregulation of CMPK2 is implicated in diseases such as cancer, neurodegenerative disorders, and viral pathogenesis.

CMPK2 antibodies are essential tools for detecting and quantifying CMPK2 protein expression, localization, and interactions in research. They are widely used in techniques like Western blotting, immunofluorescence, and immunohistochemistry to study CMPK2's function in mitochondrial dynamics, antiviral responses, and disease mechanisms. Polyclonal and monoclonal antibodies targeting specific epitopes (e.g., human or mouse CMPK2) are commercially available, with validation often involving knockout cell lines or siRNA-mediated silencing. Recent studies also explore CMPK2's potential as a therapeutic target, particularly in antiviral drug development and cancer immunotherapy. Proper antibody validation remains critical to ensure specificity, given sequence homology with other kinases.

客户数据及评论

折叠内容

大包装询价

×