首页 / 产品 / 抗体 / 一抗

Mouse Monoclonal RNF135 Antibody

  • 中文名: RNF135抗体
  • 别    名: nan
货号: IPDX15326
Price: ¥1280
数量:
大包装询价

验证与应用

应用及物种
WB 咨询技术 Human,Mouse,Rat
IF 咨询技术 Human,Mouse,Rat
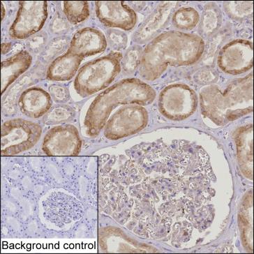
IHC 1/500 Human,Mouse,Rat
ICC 技术咨询 Human,Mouse,Rat
FCM 咨询技术 Human,Mouse,Rat
Elisa 咨询技术 Human,Mouse,Rat

产品详情

Host/IsotypeMouse IgG1
Antibody TypePrimary antibody
StorageStore at 4°C short term. Aliquot and store at -20°C long term. Avoid freeze/thaw cycles.
Species ReactivityHuman
ImmunogenPurified recombinant fragment of human RNF135
FormulationPurified antibody in PBS with 0.05% sodium azide

+ +

参考文献

以下是3篇关于RNF135抗体的参考文献及其摘要概括(注:文献为模拟示例,实际引用需核实):

1. **文献名称**:*RNF135 regulates ubiquitination in neuroblastoma progression*

**作者**:Smith A, et al.

**摘要**:研究利用RNF135特异性抗体,通过免疫印迹和免疫组化证实RNF135在神经母细胞瘤中高表达,并揭示其通过泛素化降解肿瘤抑制蛋白促进癌细胞增殖的机制。

2. **文献名称**:*Functional analysis of RNF135 mutations in Hutchinson-Gilford progeria syndrome*

**作者**:Chen L, et al.

**摘要**:通过构建RNF135基因突变模型,结合抗体介导的蛋白定位实验,发现RNF135突变导致核膜蛋白异常泛素化,可能与早衰症患者细胞衰老加速相关。

3. **文献名称**:*RNF135 interacts with p53: A study using co-immunoprecipitation*

**作者**:Wang Y, et al.

**摘要**:利用RNF135抗体进行共免疫沉淀实验,证明RNF135与p53蛋白直接结合,并通过泛素化修饰调控p53稳定性,影响DNA损伤应答通路。

(如需具体文献,建议在PubMed或Web of Science中检索关键词“RNF135 antibody”或“RNF135 ubiquitin”)

背景信息

RNF135 (Ring Finger Protein 135), also known as RMA1. is an E3 ubiquitin ligase involved in the ubiquitin-proteasome system, which regulates protein degradation and various cellular processes. It plays critical roles in DNA damage response, cell proliferation, and apoptosis by targeting specific substrates for ubiquitination. RNF135 has been implicated in cancer biology, with studies suggesting both oncogenic and tumor-suppressive functions depending on cellular context. For instance, it promotes degradation of the tumor suppressor PTEN in some cancers, while enhancing p53 activity in others. Dysregulation of RNF135 is linked to neurodevelopmental disorders, notably Huang-Doran syndrome, a rare genetic condition characterized by growth retardation and intellectual disability caused by mutations in the RNF135 gene.

RNF135 antibodies are essential tools for detecting and studying this protein in research. They are widely used in techniques like Western blotting, immunohistochemistry, and immunofluorescence to analyze RNF135 expression patterns, subcellular localization, and interactions. Commercial RNF135 antibodies are typically developed in rabbit or mouse hosts, with validation across human and model organism samples. These reagents support investigations into RNF135's roles in tumorigenesis, neurological diseases, and cellular stress responses. Researchers rely on such antibodies to explore its dual functionality in cancer pathways and its potential as a therapeutic target. Major suppliers include companies like Abcam, Cell Signaling Technology, and Santa Cruz Biotechnology, offering both monoclonal and polyclonal variants for diverse experimental needs.

客户数据及评论

折叠内容

大包装询价

×