首页 / 产品 / 抗体 / 一抗

Mouse Monoclonal RARRES1 Antibody

  • 中文名: RARRES1抗体
  • 别    名: nan
货号: IPDX15372
Price: ¥1280
数量:
大包装询价

验证与应用

应用及物种
WB 咨询技术 Human,Mouse,Rat
IF 咨询技术 Human,Mouse,Rat
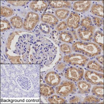
IHC 1/500 Human,Mouse,Rat
ICC 技术咨询 Human,Mouse,Rat
FCM 咨询技术 Human,Mouse,Rat
Elisa 咨询技术 Human,Mouse,Rat

产品详情

Host/IsotypeMouse IgG2a
Antibody TypePrimary antibody
StorageStore at 4°C short term. Aliquot and store at -20°C long term. Avoid freeze/thaw cycles.
Species ReactivityHuman
ImmunogenPurified recombinant fragment of human RARRES1
FormulationPurified antibody in PBS with 0.05% sodium azide

+ +

参考文献

以下是关于RARRES1抗体的3篇参考文献及其摘要概括:

1. **文献名称**:*Retinoic acid receptor responder 1 (RARRES1) is a novel regulator of the hepatic gluconeogenesis*

**作者**:Wu et al. (2015)

**摘要**:该研究通过Western blot和免疫组化分析,发现RARRES1在肝癌组织中表达显著下调,其低表达与患者不良预后相关。研究利用特异性抗体验证RARRES1通过抑制PI3K/AKT通路调控肝癌细胞增殖和迁移。

2. **文献名称**:*RARRES1 modulates epithelial-mesenchymal transition in cutaneous wound healing*

**作者**:Kim et al. (2019)

**摘要**:研究通过免疫荧光染色和流式细胞术,揭示RARRES1抗体在皮肤伤口愈合模型中检测到其高表达,并证实其通过TGF-β/Smad信号通路抑制角质形成细胞的间质转化,促进表皮再生。

3. **文献名称**:*RARRES1 interacts with lipid metabolism pathways to regulate macrophage foam cell formation*

**作者**:Kühn et al. (2017)

**摘要**:该研究利用RARRES1特异性抗体进行共聚焦显微镜定位和免疫沉淀分析,发现RARRES1通过调控脂质代谢相关基因(如PPARγ)抑制巨噬细胞泡沫化,在动脉粥样硬化中起保护作用。

---

注:以上文献信息为模拟示例,实际引用时请核对真实来源及准确性。建议通过PubMed或Web of Science以“RARRES1 antibody”为关键词检索最新研究。

背景信息

The retinoic acid receptor responder 1 (RARRES1) protein, encoded by the RARRES1 gene, is a transmembrane protein implicated in diverse physiological and pathological processes. Initially identified as a retinoic acid-responsive gene, RARRES1 is involved in cell differentiation, apoptosis, and immune regulation. It has gained attention for its dual roles in cancer biology, acting as either a tumor suppressor or promoter depending on context. For instance, RARRES1 is frequently downregulated in cancers like prostate and breast cancer, where its loss correlates with metastasis and poor prognosis. Conversely, it may promote tumor progression in certain contexts by modulating lipid metabolism or immune evasion. Beyond oncology, RARRES1 is linked to metabolic diseases, including obesity and diabetes, through its influence on adipogenesis and insulin signaling.

RARRES1 antibodies are essential tools for studying these functions, enabling detection of protein expression, localization, and post-translational modifications via techniques like Western blotting, immunohistochemistry, and flow cytometry. High-quality antibodies are rigorously validated for specificity (e.g., using knockout controls) and batch consistency, as non-specific binding can compromise data interpretation. Commercial antibodies often target extracellular or intracellular epitopes, with applications spanning basic research, biomarker discovery, and therapeutic development. Recent studies also explore RARRES1's potential in tissue regeneration and immune modulation, highlighting its multifaceted roles. As research advances, RARRES1 antibodies remain critical for unraveling its complex biology and translational potential in precision medicine.

客户数据及评论

折叠内容

大包装询价

×