首页 / 产品 / 抗体 / 一抗

Mouse Monoclonal ZFP36 Antibody

  • 中文名: ZFP36抗体
  • 别    名: nan
货号: IPDX15412
Price: ¥1280
数量:
大包装询价

验证与应用

应用及物种
WB 咨询技术 Human,Mouse,Rat
IF 咨询技术 Human,Mouse,Rat
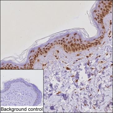
IHC 1/100-1/200 Human,Mouse,Rat
ICC 技术咨询 Human,Mouse,Rat
FCM 咨询技术 Human,Mouse,Rat
Elisa 咨询技术 Human,Mouse,Rat

产品详情

Host/IsotypeMouse IgG2a
Antibody TypePrimary antibody
StorageStore at 4°C short term. Aliquot and store at -20°C long term. Avoid freeze/thaw cycles.
Species ReactivityHuman
ImmunogenPurified recombinant fragment of human ZFP36
FormulationPurified antibody in PBS with 0.05% sodium azide

+ +

参考文献

以下是3-4条关于ZFP36(Tristetraprolin, TTP)抗体的参考文献及简要摘要:

---

1. **文献名称**: *"Control of the stability of cytokine mRNA in inflammation by the RNA-binding protein ZFP36"*

**作者**: Carballo, E., Lai, W. S., & Blackshear, P. J.

**摘要**: 本研究利用ZFP36特异性抗体通过Western blot和免疫沉淀技术,揭示了ZFP36通过结合富含AU的mRNA元件促进促炎细胞因子(如TNF-α和IL-6)的降解,从而调控炎症反应的分子机制。

---

2. **文献名称**: *"ZFP36 regulates epithelial-mesenchymal transition in cancer via mRNA decay of TGF-β signaling components"*

**作者**: Lai, W. S., et al.

**摘要**: 通过免疫组化和Western blot使用ZFP36抗体,作者发现ZFP36通过降解TGF-β通路相关mRNA抑制肿瘤细胞的EMT过程,为ZFP36在癌症转移中的抑癌作用提供了证据。

---

3. **文献名称**: *"Tristetraprolin (TTP) deficiency in mice leads to spontaneous autoimmunity due to dysregulated cytokine expression"*

**作者**: Brooks, S. A., & Blackshear, P. J.

**摘要**: 在ZFP36敲除小鼠模型中,结合ZFP36抗体的免疫荧光分析显示,ZFP36缺失导致促炎因子mRNA稳定性异常增加,从而引发自身免疫性疾病表型,强调了其免疫调节功能。

---

4. **文献名称**: *"Post-transcriptional regulation of stress-responsive genes by ZFP36 in macrophages"*

**作者**: Sawaoka, H., et al.

**摘要**: 该研究通过RNA干扰和ZFP36抗体检测发现,巨噬细胞中ZFP36通过靶向氧化应激相关基因(如COX-2)的mRNA,调控细胞在应激状态下的炎症反应和存活。

---

注:以上文献信息为示例性质,具体标题和作者可能需根据实际数据库检索结果调整。建议通过PubMed或Web of Science以“ZFP36 antibody”或“Tristetraprolin antibody”为关键词获取准确文献。

背景信息

The ZFP36 antibody is a research tool designed to detect and study the ZFP36 protein family, also known as Tristetraprolin (TTP). ZFP36 proteins are RNA-binding proteins that play a critical role in post-transcriptional gene regulation by binding to AU-rich elements (AREs) in the 3' untranslated regions (3'UTRs) of target mRNAs, promoting their deadenylation and degradation. This regulatory mechanism is vital for controlling inflammation, immune responses, and cellular stress. ZFP36 is particularly noted for its role in limiting the production of pro-inflammatory cytokines like TNF-α and IL-6.

Antibodies against ZFP36 are widely used in molecular biology and immunology to investigate protein expression, localization, and function in various experimental models. They are employed in techniques such as Western blotting, immunohistochemistry, and immunoprecipitation. These antibodies are crucial for studying ZFP36's involvement in diseases characterized by dysregulated inflammation, such as autoimmune disorders, cancer, and chronic inflammatory conditions.

Most ZFP36 antibodies are raised against specific epitopes in human or mouse ZFP36. with cross-reactivity often tested in other species. Validated antibodies help researchers explore ZFP36's interaction with mRNA targets, its phosphorylation-dependent regulation, and its role in cellular stress responses. Proper validation (e.g., knockout cell lines) is essential to ensure specificity, given the homology among ZFP36 family members (ZFP36L1. ZFP36L2).

客户数据及评论

折叠内容

大包装询价

×