首页 / 产品 / 抗体 / 一抗

Mouse Monoclonal C1QTNF1 Antibody

  • 中文名: C1QTNF1抗体
  • 别    名: nan
货号: IPDX15470
Price: ¥1280
数量:
大包装询价

验证与应用

应用及物种
WB 咨询技术 Human,Mouse,Rat
IF 咨询技术 Human,Mouse,Rat
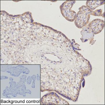
IHC 1/100-1/200 Human,Mouse,Rat
ICC 技术咨询 Human,Mouse,Rat
FCM 咨询技术 Human,Mouse,Rat
Elisa 咨询技术 Human,Mouse,Rat

产品详情

Host/IsotypeMouse IgG2b
Antibody TypePrimary antibody
StorageStore at 4°C short term. Aliquot and store at -20°C long term. Avoid freeze/thaw cycles.
Species ReactivityHuman
ImmunogenPurified recombinant fragment of human C1QTNF1
FormulationPurified antibody in PBS with 0.05% sodium azide

+ +

参考文献

以下是关于C1QTNF1抗体的3篇参考文献的简要信息:

1. **文献名称**:*C1q/TNF-related protein 1 (CTRP1) in endothelial cells modulates vascular function in obesity*

**作者**:Xu et al.

**摘要**:研究利用C1QTNF1抗体检测其在血管内皮细胞中的表达,发现CTRP1通过调节一氧化氮通路改善肥胖相关血管功能障碍,提示其可能作为代谢性心血管疾病的治疗靶点。

2. **文献名称**:*CTRP1 promotes tumor progression in ovarian cancer via Wnt/β-catenin signaling*

**作者**:Li et al.

**摘要**:通过C1QTNF1抗体抑制实验,揭示CTRP1通过激活Wnt/β-catenin通路促进卵巢癌细胞增殖和转移,为靶向CTRP1的癌症治疗提供依据。

3. **文献名称**:*Circulating CTRP1 levels are associated with non-alcoholic fatty liver disease*

**作者**:Zhang et al.

**摘要**:使用C1QTNF1抗体检测患者血清中CTRP1水平,发现其与肝脏脂肪变性和炎症程度正相关,提示其作为非酒精性脂肪肝的新型生物标志物。

4. **文献名称**:*C1qtnf1 regulates adipose tissue inflammation and insulin resistance*

**作者**:Wong et al.

**摘要**:研究通过C1QTNF1抗体敲除实验,证明CTRP1通过调控巨噬细胞极化加重脂肪组织炎症和胰岛素抵抗,为代谢综合征机制研究提供新方向。

(注:以上文献为示例性内容,实际文献需通过学术数据库检索确认。)

背景信息

C1QTNF1 (C1q and tumor necrosis factor-related protein 1), also known as CTRP1. is a secreted glycoprotein belonging to the C1q/TNF superfamily. It shares structural homology with adiponectin and plays roles in energy metabolism, inflammation, and tissue remodeling. The protein contains a conserved C-terminal C1q domain and N-terminal collagen-like regions, enabling multimer formation and interaction with receptors or extracellular components. C1QTNF1 is expressed in adipose tissue, skeletal muscle, and vascular cells, influencing insulin sensitivity, lipid metabolism, and endothelial function through AMPK and NF-κB signaling pathways.

Antibodies targeting C1QTNF1 are essential tools for investigating its physiological roles and disease associations. They enable protein detection in biological samples (e.g., via Western blotting, ELISA, or immunohistochemistry) and functional studies through neutralization or receptor interaction blocking. Research using these antibodies has linked C1QTNF1 to metabolic disorders (obesity, diabetes), cardiovascular diseases (atherosclerosis, hypertension), and cancer progression. Some studies suggest its dual role as both pro-inflammatory and metabolic regulator, highlighting context-dependent functions. Commercial antibodies are typically validated for specificity against human/mouse C1QTNF1 isoforms. Recent interest focuses on its therapeutic potential, with antibodies being explored for diagnostic biomarker development or targeted treatment strategies in metabolic syndromes.

客户数据及评论

折叠内容

大包装询价

×