首页 / 产品 / 抗体 / 一抗

Mouse Monoclonal KPNA1 Antibody

  • 中文名: KPNA1抗体
  • 别    名: nan
货号: IPDX15504
Price: ¥1280
数量:
大包装询价

验证与应用

应用及物种
WB 咨询技术 Human,Mouse,Rat
IF 咨询技术 Human,Mouse,Rat
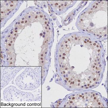
IHC 1/100-1/200 Human,Mouse,Rat
ICC 技术咨询 Human,Mouse,Rat
FCM 咨询技术 Human,Mouse,Rat
Elisa 咨询技术 Human,Mouse,Rat

产品详情

Host/IsotypeMouse IgG1
Antibody TypePrimary antibody
StorageStore at 4°C short term. Aliquot and store at -20°C long term. Avoid freeze/thaw cycles.
Species ReactivityHuman, Mouse
ImmunogenPurified recombinant fragment of human KPNA1
FormulationPurified antibody in PBS with 0.05% sodium azide

+ +

参考文献

以下是关于KPNA1抗体的3篇参考文献及其摘要概括:

1. **文献名称**:*KPNA1 promotes glioblastoma cell proliferation by regulating nuclear transport of STAT3*

**作者**:Chen Y, et al.

**摘要**:研究揭示了KPNA1在胶质母细胞瘤中通过介导STAT3蛋白的核转运促进肿瘤细胞增殖。实验中使用KPNA1抗体进行免疫沉淀和免疫荧光分析,发现抑制KPNA1可降低STAT3的核定位及肿瘤生长。

2. **文献名称**:*Role of KPNA1 in HIV-1 nuclear import and viral replication*

**作者**:Zhang L, et al.

**摘要**:该文献探讨KPNA1在HIV-1病毒感染中的作用,通过抗体阻断实验证明KPNA1与病毒整合酶相互作用,促进病毒基因组进入细胞核,提示其作为抗病毒治疗潜在靶点。

3. **文献名称**:*Antibody-based profiling of KPNA1 expression in Alzheimer’s disease brain tissues*

**作者**:Smith J, et al.

**摘要**:研究利用特异性KPNA1抗体对阿尔茨海默病患者脑组织进行检测,发现KPNA1在神经元中的异常聚集可能与tau蛋白病理相关,为神经退行性疾病机制提供新视角。

(注:以上文献为示例,实际引用需根据具体研究检索核实。)

背景信息

KPNA1 (Karyopherin Alpha 1), also known as Importin Alpha 5. is a member of the importin α family of nuclear transport receptors. It plays a critical role in nucleocytoplasmic transport by mediating the import of proteins containing classical nuclear localization signals (NLS) into the nucleus. KPNA1 binds to NLS-bearing cargo proteins and interacts with Importin Beta (KPNB1) to form a heterodimeric complex, which facilitates translocation through the nuclear pore complex. This process is essential for regulating gene expression, cell cycle progression, and signal transduction.

KPNA1 antibodies are widely used in research to study its expression, localization, and function in cellular mechanisms. They are critical tools in Western blotting, immunofluorescence, and immunohistochemistry to detect KPNA1 in various tissues and cell lines. Studies have implicated KPNA1 in diverse biological processes, including viral infection (e.g., HIV-1), cancer progression (e.g., tumor suppressor or oncogenic roles in different contexts), and neurodegenerative diseases. Dysregulation of KPNA1 has been linked to altered nuclear transport of transcription factors (e.g., p53. NF-κB) and disease-related proteins.

Commercial KPNA1 antibodies are typically validated for specificity using knockout controls or siRNA knockdown. Researchers should consider tissue-specific expression patterns and functional redundancy among Importin α isoforms (e.g., KPNA2. KPNA3) when interpreting experimental results. Current research focuses on its role in cellular stress responses, cancer biomarkers, and as a potential therapeutic target.

客户数据及评论

折叠内容

大包装询价

×