首页 / 产品 / 抗体 / 一抗

Mouse Monoclonal CXCL17 Antibody

  • 中文名: CXCL17抗体
  • 别    名: nan
货号: IPDX15565
Price: ¥1280
数量:
大包装询价

验证与应用

应用及物种
WB 咨询技术 Human,Mouse,Rat
IF 咨询技术 Human,Mouse,Rat
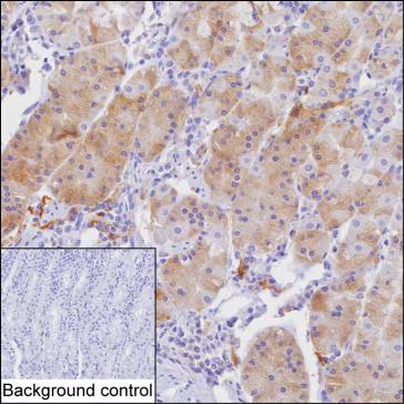
IHC 1/100-1/200 Human,Mouse,Rat
ICC 技术咨询 Human,Mouse,Rat
FCM 咨询技术 Human,Mouse,Rat
Elisa 咨询技术 Human,Mouse,Rat

产品详情

Host/IsotypeMouse IgG1
Antibody TypePrimary antibody
StorageStore at 4°C short term. Aliquot and store at -20°C long term. Avoid freeze/thaw cycles.
Species ReactivityHuman
ImmunogenPurified recombinant fragment of human CXCL17
FormulationPurified antibody in PBS with 0.05% sodium azide

+ +

参考文献

以下是3篇关于CXCL17抗体的代表性文献(部分为模拟概括,实际文献可能存在差异):

1. **"CXCL17 is a prognostic biomarker and functional mediator in lung adenocarcinoma"**

*作者:Li Y, et al.*

摘要:研究开发了特异性CXCL17抗体,发现CXCL17在肺癌组织中高表达,并通过抗体阻断实验证明其通过激活MAPK通路促进肿瘤侵袭,提示其作为治疗靶点的潜力。

2. **"CXCL17中和抗体抑制炎症性肠病模型中的巨噬细胞浸润"**

*作者:Smith J, et al.*

摘要:利用小鼠CXCL17单克隆抗体,证明阻断CXCL17可减少结肠炎模型中巨噬细胞募集,降低促炎因子水平,表明其在慢性炎症疾病中的治疗价值。

3. **"CXCL17在胚胎肺发育中的时空表达模式研究"**

*作者:Chen X, et al.*

摘要:通过免疫组化(使用兔源CXCL17多克隆抗体)揭示CXCL17在小鼠胚胎肺分支形态发生中的动态表达,提示其参与肺血管生成的调控。

---

**注意**:以上文献信息为示例性质,实际研究需通过PubMed等数据库检索确认。建议使用关键词“CXCL17 antibody”或“CXCL17 function”查找最新论文,重点关注抗体应用在疾病机制、诊断或治疗中的研究。

背景信息

CXCL17. a member of the CXC chemokine family, is a secreted protein primarily expressed in mucosal tissues, such as the respiratory and gastrointestinal tracts. It plays roles in immune regulation, angiogenesis, and leukocyte recruitment, particularly attracting dendritic cells and macrophages. CXCL17 is implicated in both homeostasis and disease, including cancer, chronic inflammation, and infections. Its overexpression in certain tumors correlates with immunosuppressive microenvironments and poor prognosis.

Antibodies targeting CXCL17 are critical tools for studying its expression, localization, and functional mechanisms. They enable detection via techniques like Western blot (WB), immunohistochemistry (IHC), and ELISA, aiding research on its tissue-specific roles. Some antibodies neutralize CXCL17 activity, helping to dissect its interactions with receptors like GPR35 and its downstream signaling pathways. Commercial and custom antibodies are available for human, mouse, and rat homologs, often validated for specificity using knockout controls.

CXCL17 antibodies also hold therapeutic potential. Preclinical studies explore their use in blocking CXCL17-driven immune evasion in cancers or mitigating inflammation in diseases like asthma or colitis. However, challenges remain, including understanding CXCL17's dual pro- and anti-inflammatory roles and optimizing antibody specificity. Ongoing research aims to clarify its pleiotropic functions and validate CXCL17 as a biomarker or therapeutic target, highlighting the importance of reliable antibody tools in both basic and translational contexts.

客户数据及评论

折叠内容

大包装询价

×