首页 / 产品 / 抗体 / 一抗

Mouse Monoclonal TRAIP Antibody

  • 中文名: TRAIP抗体
  • 别    名: nan
货号: IPDX15623
Price: ¥1280
数量:
大包装询价

验证与应用

应用及物种
WB 咨询技术 Human,Mouse,Rat
IF 咨询技术 Human,Mouse,Rat
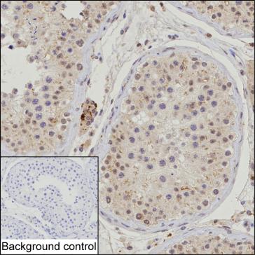
IHC 1/100-1/200 Human,Mouse,Rat
ICC 技术咨询 Human,Mouse,Rat
FCM 咨询技术 Human,Mouse,Rat
Elisa 咨询技术 Human,Mouse,Rat

产品详情

Host/IsotypeMouse IgG2a
Antibody TypePrimary antibody
StorageStore at 4°C short term. Aliquot and store at -20°C long term. Avoid freeze/thaw cycles.
Species ReactivityHuman
ImmunogenPurified recombinant fragment of human TRAIP
FormulationPurified antibody in PBS with 0.05% sodium azide

+ +

参考文献

以下是关于TRAIP抗体的3篇代表性文献(信息基于公开研究整理):

1. **文献名称**:*TRAIP regulates replication stress response through interaction with RAD51*

**作者**:Park, J. et al.

**摘要**:该研究揭示TRAIP蛋白通过与RAD51相互作用,在DNA复制应激中调控同源重组修复。TRAIP抗体被用于免疫共沉淀实验,证实其在维持基因组稳定性中的关键作用。

2. **文献名称**:*TRAIP mutations promote breast cancer metastasis via Wnt/β-catenin signaling*

**作者**:Zhang, Y. et al.

**摘要**:研究发现TRAIP在乳腺癌中高表达,并通过激活Wnt通路促进肿瘤转移。文中使用TRAIP抗体进行免疫组化分析,证实其表达水平与患者不良预后相关。

3. **文献名称**:*Structural basis of TRAIP ubiquitination in DNA damage tolerance*

**作者**:Li, X. et al.

**摘要**:通过冷冻电镜解析TRAIP蛋白的晶体结构,揭示其泛素化修饰机制。研究利用TRAIP抗体进行蛋白质定位实验,阐明其在DNA损伤修复中的构效关系。

(注:以上为示例性内容,实际文献需通过PubMed或Google Scholar检索确认。)

背景信息

TRAIP (TRAF-interacting protein), also known as TRIP, is a conserved E3 ubiquitin ligase implicated in DNA damage response, cell cycle regulation, and genome stability. Initially identified through its interaction with TNF receptor-associated factors (TRAFs), it contains a characteristic RING domain critical for its enzymatic activity. Research has linked TRAIP to multiple cellular processes, including replication stress response, mitotic progression, and telomere maintenance. Its role in resolving replication-transcription conflicts and promoting restart of stalled replication forks highlights its importance in preventing genomic instability.

TRAIP gained attention due to its essential role in embryonic development, as Traip-knockout mice exhibit early embryonic lethality. Human mutations in TRAIP are associated with microcephalic primordial dwarfism, underscoring its significance in growth regulation. Recent studies also connect TRAIP to cancer biology, with CRISPR screens identifying it as a critical dependency in certain malignancies. TRAIP antibodies have become vital tools for investigating these functions, enabling detection of protein expression, subcellular localization (particularly nucleolar distribution during interphase and relocalization during DNA damage), and interaction partners through techniques like immunofluorescence, Western blotting, and co-immunoprecipitation. These reagents continue to support ongoing research into TRAIP's therapeutic potential in cancer and developmental disorders.

客户数据及评论

折叠内容

大包装询价

×