首页 / 产品 / 抗体 / 一抗

Mouse Monoclonal COMP Antibody

  • 中文名: COMP抗体
  • 别    名: nan
货号: IPDX15682
Price: ¥1280
数量:
大包装询价

验证与应用

应用及物种
WB 咨询技术 Human,Mouse,Rat
IF 咨询技术 Human,Mouse,Rat
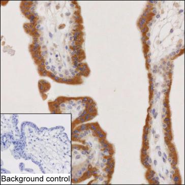
IHC 1/100-1/200 Human,Mouse,Rat
ICC 技术咨询 Human,Mouse,Rat
FCM 咨询技术 Human,Mouse,Rat
Elisa 咨询技术 Human,Mouse,Rat

产品详情

Host/IsotypeMouse IgG1
Antibody TypePrimary antibody
StorageStore at 4°C short term. Aliquot and store at -20°C long term. Avoid freeze/thaw cycles.
Species ReactivityHuman
ImmunogenPurified recombinant fragment of human COMP
FormulationPurified antibody in PBS with 0.05% sodium azide

+ +

参考文献

以下是3-4篇关于COMP(Cartilage Oligomeric Matrix Protein)抗体的相关文献摘要,供参考:

1. **文献名称**:*Autoantibodies to cartilage oligomeric matrix protein in rheumatoid arthritis*

**作者**:Neidhart M, et al.

**摘要**:该研究探讨了类风湿性关节炎(RA)患者血清中针对COMP蛋白的自身抗体水平,发现其与关节破坏程度相关,提示COMP抗体可能作为RA疾病活动性和预后的生物标志物。

2. **文献名称**:*Cartilage oligomeric matrix protein: a novel marker of cartilage turnover detectable in synovial fluid and blood*

**作者**:Saxne T, Heinegård D.

**摘要**:研究验证了COMP抗体在检测关节液和血液中COMP片段的应用,证明COMP水平升高与骨关节炎和类风湿性关节炎的软骨降解过程密切相关。

3. **文献名称**:*COMP (Cartilage Oligomeric Matrix Protein) is structurally related to thrombospondin and exhibits antibody cross-reactivity*

**作者**:Di Cesare PE, et al.

**摘要**:通过免疫学方法分析COMP蛋白结构,发现其与血小板反应蛋白(thrombospondin)家族存在交叉抗原性,并开发了特异性COMP抗体用于区分两者在组织中的表达差异。

4. **文献名称**:*COMP antibody-mediated detection of cartilage damage in osteoarthritis models*

**作者**:Tsezou A, et al.

**摘要**:利用COMP抗体在小鼠骨关节炎模型中定量软骨损伤程度,证明COMP释放量与影像学和组织学评估的软骨退变呈正相关,支持其作为治疗监测工具。

以上文献均聚焦于COMP抗体的开发、应用及其在关节疾病中的病理机制研究。如需具体期刊信息或年份,可进一步补充关键词检索。

背景信息

COMP (Cartilage Oligomeric Matrix Protein), a glycoprotein belonging to the thrombospondin family, is primarily expressed in cartilage, tendons, and ligaments. It plays a critical role in extracellular matrix (ECM) organization by interacting with collagen, proteoglycans, and other ECM components, contributing to tissue stability and cellular signaling. COMP is implicated in skeletal development, cartilage homeostasis, and mechanotransduction. Mutations in the COMP gene are linked to genetic disorders like pseudoachondroplasia and multiple epiphyseal dysplasia, characterized by abnormal cartilage growth and early-onset osteoarthritis.

COMP antibodies are essential tools for studying its expression, function, and pathological mechanisms. In research, they enable detection of COMP in tissues or fluids, aiding investigations into osteoarthritis, rheumatoid arthritis, and tendon injuries, where COMP degradation or accumulation correlates with disease progression. Clinically, COMP levels in serum or synovial fluid are explored as biomarkers for cartilage turnover and joint damage. Therapeutic applications include targeting COMP in regenerative medicine or inhibiting its pathological fragments to modulate ECM remodeling. Current studies focus on COMP's dual role in promoting tissue repair versus driving fibrosis or inflammation, highlighting its context-dependent effects. COMP antibodies thus bridge diagnostic, therapeutic, and mechanistic research in musculoskeletal disorders.

客户数据及评论

折叠内容

大包装询价

×