首页 / 产品 / 抗体 / 一抗

Mouse Monoclonal QPCT Antibody

  • 中文名: QPCT抗体
  • 别    名: nan
货号: IPDX15737
Price: ¥1280
数量:
大包装询价

验证与应用

应用及物种
WB 咨询技术 Human,Mouse,Rat
IF 咨询技术 Human,Mouse,Rat
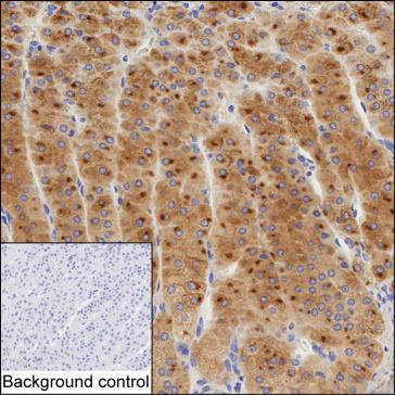
IHC 1/100-1/200 Human,Mouse,Rat
ICC 技术咨询 Human,Mouse,Rat
FCM 咨询技术 Human,Mouse,Rat
Elisa 咨询技术 Human,Mouse,Rat

产品详情

Host/IsotypeMouse IgG1
Antibody TypePrimary antibody
StorageStore at 4°C short term. Aliquot and store at -20°C long term. Avoid freeze/thaw cycles.
Species ReactivityHuman
ImmunogenPurified recombinant fragment of human QPCT
FormulationPurified antibody in PBS with 0.05% sodium azide

+ +

参考文献

以下是关于QPCT抗体的3篇参考文献及其摘要概括:

1. **文献名称**:*Glutaminyl cyclase contributes to the formation of pyroglutamate-modified amyloid-β in Alzheimer's disease*

**作者**:Schilling S. et al.

**摘要**:研究揭示了QPCT在阿尔茨海默病中催化β-淀粉样蛋白形成焦谷氨酸修饰(pE3-Aβ)的作用,并验证了QPCT抗体在检测脑组织及细胞模型中酶活性及分布的应用。

2. **文献名称**:*Targeting QPCTL in cancer immunotherapy: A novel strategy for T cell modulation*

**作者**:Zhang Y. et al.

**摘要**:通过QPCTL抗体阻断实验,发现抑制QPCTL可增强T细胞对肿瘤的杀伤能力,为基于QPCT靶点的免疫治疗(如CD47抗体联合治疗)提供了机制支持。

3. **文献名称**:*Structural characterization of human glutaminyl cyclase and its inhibition by small molecules*

**作者**:Huang K. et al.

**摘要**:利用QPCT抗体进行蛋白质纯化及结构解析,阐明了其催化机制,并筛选出小分子抑制剂,为神经退行性疾病及癌症药物开发奠定基础。

背景信息

QPCT (glutaminyl-peptide cyclotransferase) antibodies are tools used to study the enzyme QPCT, which catalyzes the formation of N-terminal pyroglutamate (pGlu) residues in peptides and proteins. This post-translational modification enhances protein stability, modulates biological activity, and influences interactions with receptors or binding partners. QPCT, also known as QC, plays a critical role in pathological processes such as neuroinflammation and neurodegeneration. For example, it contributes to the generation of neurotoxic pyroglutamate-modified β-amyloid (Aβ-pE3) aggregates in Alzheimer’s disease. Dysregulation of QPCT has also been linked to cancer, diabetes, and inflammatory disorders.

Antibodies targeting QPCT are essential for detecting its expression, localization, and activity in cells and tissues. They enable applications like Western blotting, immunohistochemistry, and ELISA, aiding in mechanistic studies of QPCT-related diseases. Additionally, these antibodies support drug discovery efforts, particularly in developing QPCT inhibitors as potential therapeutics. For instance, inhibiting QPCT may reduce Aβ-pE3 accumulation, offering a strategy to slow Alzheimer’s progression. Researchers also use QPCT antibodies to explore its role in chemokine regulation (e.g., CCL2. CX3CL1) and immune cell migration. Overall, QPCT antibodies are vital for advancing understanding of its biological functions and therapeutic targeting in multiple diseases.

客户数据及评论

折叠内容

大包装询价

×