首页 / 产品 / 抗体 / 一抗

Mouse Monoclonal TRPS1 Antibody

  • 中文名: TRPS1抗体
  • 别    名: nan
货号: IPDX15836
Price: ¥1280
数量:
大包装询价

验证与应用

应用及物种
WB 咨询技术 Human,Mouse,Rat
IF 咨询技术 Human,Mouse,Rat
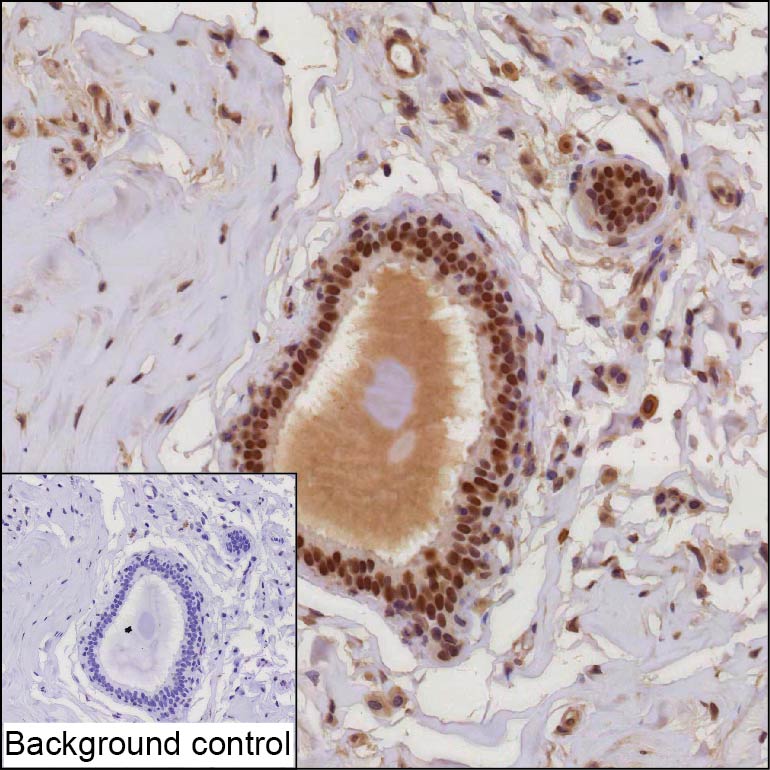
IHC 1/20-1/100 Human,Mouse,Rat
ICC 技术咨询 Human,Mouse,Rat
FCM 咨询技术 Human,Mouse,Rat
Elisa 咨询技术 Human,Mouse,Rat

产品详情

Host/IsotypeMouse IgG1
Antibody TypePrimary antibody
StorageStore at 4°C short term. Aliquot and store at -20°C long term. Avoid freeze/thaw cycles.
Species ReactivityHuman
ImmunogenPurified recombinant fragment of human TRPS1
FormulationPurified antibody in PBS with 0.05% sodium azide

+ +

参考文献

以下是关于TRPS1抗体的3篇参考文献及简要摘要:

---

1. **文献名称**:*TRPS1 is a lineage-specific transcriptional dependency in breast cancer*

**作者**:Zhang, H. 等

**摘要**:研究验证了TRPS1抗体在乳腺癌组织中的特异性表达,发现其可作为雌激素受体阴性乳腺癌的生物标志物,并揭示了TRPS1在维持乳腺癌细胞恶性表型中的关键作用。

---

2. **文献名称**:*Immunohistochemical evaluation of TRPS1 in the differential diagnosis of breast and gynecologic tumors*

**作者**:Ai, D. 等

**摘要**:通过免疫组化分析TRPS1抗体在乳腺与妇科肿瘤中的表达差异,提出TRPS1可作为乳腺癌特异性标志物,辅助鉴别诊断乳腺原发癌与卵巢转移癌。

---

3. **文献名称**:*TRPS1 regulates the development of the mammary gland through repression of TGF-β signaling*

**作者**:Momeni, P. 等

**摘要**:利用TRPS1抗体研究其在乳腺发育中的作用,发现TRPS1通过抑制TGF-β通路调控上皮-间质转化,为乳腺癌治疗提供潜在靶点。

---

4. **文献名称**:*A novel TRPS1 monoclonal antibody for diagnostic pathology*

**作者**:Chen, Y. 等

**摘要**:开发并验证一种新型TRPS1单克隆抗体,证实其在福尔马林固定石蜡包埋组织中的高灵敏度和特异性,适用于临床病理诊断。

---

以上研究均涉及TRPS1抗体的应用验证或机制探索,涵盖诊断标志物开发及功能研究。

背景信息

The TRPS1 (Tricho-Rhino-Phalangeal Syndrome 1) antibody targets the TRPS1 protein, a transcription factor encoded by the TRPS1 gene. TRPS1 belongs to the GATA family of zinc finger proteins and plays a critical role in regulating skeletal development, cell proliferation, and differentiation. It contains multiple zinc finger domains, including a GATA-type zinc finger and an Ikaros-like zinc finger, enabling DNA binding and interaction with transcriptional co-regulators. TRPS1 mutations are linked to tricho-rhino-phalangeal syndromes (TRPS), rare genetic disorders characterized by craniofacial, hair, and skeletal abnormalities.

In cancer research, TRPS1 has gained attention as a potential biomarker, particularly in breast cancer. Studies show its overexpression in hormone receptor-positive and triple-negative breast cancers, aiding in diagnostic differentiation from other malignancies. TRPS1 antibodies are widely used in immunohistochemistry (IHC) and Western blotting to assess protein expression patterns in tissues, contributing to research on tumorigenesis, metastasis, and epithelial-mesenchymal transition (EMT). Its role in suppressing apoptosis and promoting tumor progression is under investigation, highlighting its therapeutic relevance. Commercially available TRPS1 antibodies are validated for specificity and sensitivity, supporting both basic research and clinical diagnostics.

客户数据及评论

折叠内容

大包装询价

×