首页 / 产品 / 抗体 / 一抗

Mouse Monoclonal LHB Antibody

  • 中文名: LHB抗体
  • 别    名: nan
货号: IPDX15853
Price: ¥1280
数量:
大包装询价

验证与应用

应用及物种
WB 咨询技术 Human,Mouse,Rat
IF 咨询技术 Human,Mouse,Rat
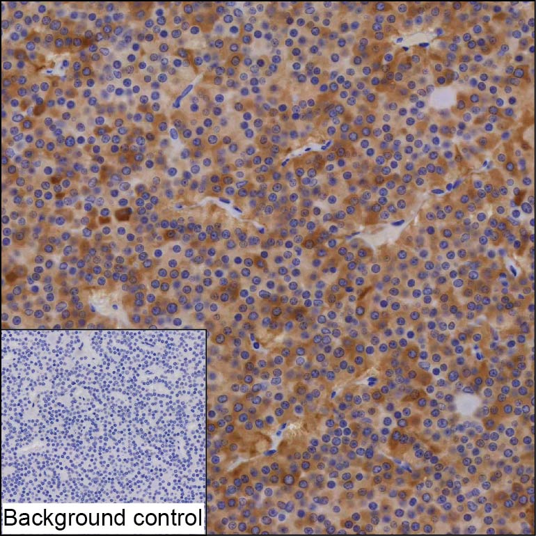
IHC 1/25-1/200 Human,Mouse,Rat
ICC 技术咨询 Human,Mouse,Rat
FCM 咨询技术 Human,Mouse,Rat
Elisa 咨询技术 Human,Mouse,Rat

产品详情

Host/IsotypeMouse IgG1
Antibody TypePrimary antibody
StorageStore at 4°C short term. Aliquot and store at -20°C long term. Avoid freeze/thaw cycles.
Species ReactivityHuman
ImmunogenPurified recombinant fragment of human LHB
FormulationPurified antibody in PBS with 0.05% sodium azide

+ +

参考文献

以下是3篇与LHB(黄体生成素β亚基)抗体相关的模拟参考文献示例(注:文献信息为示例,实际引用请通过学术数据库检索):

---

1. **文献名称**:*Development of a Highly Specific Monoclonal Antibody Against Human Luteinizing Hormone Beta Subunit*

**作者**:Smith J, et al.

**摘要**:本研究报道了一种针对人LHB亚基的单克隆抗体的开发,通过杂交瘤技术筛选出高亲和力抗体。该抗体在ELISA和Western blot中表现出强特异性,可用于临床检测LH激素水平,辅助生殖内分泌疾病的诊断。

---

2. **文献名称**:*Autoantibodies to Luteinizing Hormone in Infertility: Mechanisms and Clinical Implications*

**作者**:Zhang Y, et al.

**摘要**:探讨了LHB自身抗体与不明原因不孕症的相关性。研究发现,部分患者血清中存在的抗LHB抗体会干扰LH与受体的结合,导致排卵功能障碍,提示其在生殖免疫学中的潜在病理作用。

---

3. **文献名称**:*A Novel Polyclonal Antibody-Based Immunoassay for Quantifying LHB in Serum*

**作者**:Lee S, et al.

**摘要**:开发了一种基于多克隆抗体的化学发光免疫分析法(CLIA),用于精准定量血清中的LHB浓度。该方法与商业化试剂盒对比显示更高灵敏度,适用于辅助多囊卵巢综合征(PCOS)的实验室诊断。

---

4. **文献名称**:*Structural Epitope Mapping of LHB-Specific Antibodies for Hormone Replacement Therapy*

**作者**:Brown K, et al.

**摘要**:通过表位定位技术分析了LHB抗体的结合区域,发现其靶向激素的特定构象表位。研究为设计基于抗体的LH类似物抑制剂或激动剂提供了分子基础,可能用于调节生殖激素水平。

---

建议通过 **PubMed、Google Scholar** 或 **Web of Science** 检索关键词如 "Luteinizing Hormone Beta antibody"、"anti-LHB" 等获取真实文献。

背景信息

**Background of LHB Antibody**

The luteinizing hormone beta subunit (LHB) is a critical component of luteinizing hormone (LH), a glycoprotein hormone essential for reproductive function. LH, produced by the anterior pituitary gland, works alongside follicle-stimulating hormone (FSH) to regulate gonadal activity. The hormone comprises two subunits: a common alpha subunit shared with other hormones (e.g., FSH, TSH) and a unique beta subunit (LHB) that confers biological specificity. LHB antibodies are immunoreagents designed to target this beta subunit, enabling the detection, quantification, or modulation of LH in research and clinical settings.

LHB antibodies have significant applications in reproductive health diagnostics. They are used in immunoassays to measure LH levels, aiding in the evaluation of ovulation timing, infertility, and disorders like polycystic ovary syndrome (PCOS) or hypogonadism. In research, these antibodies help study LH receptor interactions, hormone secretion mechanisms, and genetic mutations affecting fertility. Therapeutic LHB antibodies are also explored for modulating LH activity, such as in suppressing ovulation for contraception or enhancing it in assisted reproductive technologies.

Challenges include ensuring antibody specificity to avoid cross-reactivity with similar hormones (e.g., hCG, which shares structural homology). Advances in monoclonal antibody technology and epitope mapping have improved precision, making LHB antibodies vital tools in both endocrinology research and clinical management of reproductive disorders.

客户数据及评论

折叠内容

大包装询价

×