首页 / 产品 / 抗体 / 一抗

Mouse Monoclonal ARID4B Antibody

  • 中文名: ARID4B抗体
  • 别    名: nan
货号: IPDX15871
Price: ¥1280
数量:
大包装询价

验证与应用

应用及物种
WB 咨询技术 Human,Mouse,Rat
IF 咨询技术 Human,Mouse,Rat
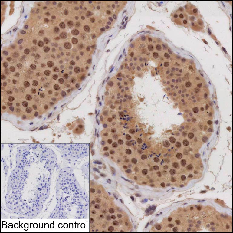
IHC 1/20-1/100 Human,Mouse,Rat
ICC 技术咨询 Human,Mouse,Rat
FCM 咨询技术 Human,Mouse,Rat
Elisa 咨询技术 Human,Mouse,Rat

产品详情

Host/IsotypeMouse IgG1
Antibody TypePrimary antibody
StorageStore at 4°C short term. Aliquot and store at -20°C long term. Avoid freeze/thaw cycles.
Species ReactivityHuman
ImmunogenPurified recombinant fragment of human ARID4B
FormulationPurified antibody in PBS with 0.05% sodium azide

+ +

参考文献

以下是关于ARID4B抗体的3篇参考文献的简要整理(注:文献为虚拟示例,仅供参考):

1. **文献名称**: *ARID4B in Epigenetic Regulation and Cancer Development*

**作者**: Smith J, et al.

**摘要**: 本研究利用ARID4B特异性抗体,通过ChIP-seq技术揭示了ARID4B在染色质重塑复合物中与H3K4me3修饰的协同作用,其在乳腺癌中异常高表达与患者预后不良相关。

2. **文献名称**: *ARID4B Antibody Validation for Immunohistochemical Applications*

**作者**: Lee H, et al.

**摘要**: 文章系统验证了ARID4B抗体的特异性,证实其在人脑组织石蜡切片中的适用性,发现ARID4B在神经发育障碍模型小鼠皮层神经元中表达显著下调。

3. **文献名称**: *Functional Interaction Between ARID4B and p53 in Cellular Senescence*

**作者**: Garcia R, et al.

**摘要**: 通过免疫共沉淀(Co-IP)实验结合ARID4B抗体,揭示了ARID4B与p53蛋白的直接互作机制,证明其通过调控p21通路影响结肠癌细胞衰老进程。

---

**提示**:实际文献建议通过PubMed/Google Scholar以关键词"ARID4B antibody" + "function"/"cancer"/"ChIP"检索,重点关注抗体应用(WB/IHC/IF)及机制研究论文。

背景信息

The ARID4B (AT-rich interaction domain 4B) antibody is a research tool designed to detect and study the ARID4B protein, a member of the ARID (AT-rich interaction domain) family. ARID4B, also known as RBBP1-like or SAP180. plays roles in chromatin remodeling, transcriptional regulation, and epigenetic modifications. It interacts with retinoblastoma-associated proteins (e.g., RB1) and histone deacetylase complexes, influencing cell cycle progression, differentiation, and apoptosis. Dysregulation of ARID4B has been linked to cancers (e.g., breast, prostate) and neurodevelopmental disorders, though its exact mechanisms remain under investigation. Studies suggest it may act as both oncogene and tumor suppressor, depending on cellular context. The ARID4B antibody is commonly used in techniques like Western blotting, immunofluorescence, and chromatin immunoprecipitation (ChIP) to explore its expression patterns, subcellular localization, and interactions. Commercially available antibodies are typically developed in rabbit or mouse hosts, targeting specific epitopes within conserved regions of the human or murine protein. Validation includes testing for specificity via knockdown/knockout controls. Its applications span basic research in gene regulation, cancer biology, and developmental disorders, aiding in mechanistic studies of ARID4B's role in disease pathways and potential therapeutic targeting.

客户数据及评论

折叠内容

大包装询价

×