首页 / 产品 / 抗体 / 一抗

Mouse Monoclonal CD70 Antibody

  • 中文名: CD70抗体
  • 别    名: nan
货号: IPDX15914
Price: ¥1280
数量:
大包装询价

验证与应用

应用及物种
WB 咨询技术 Human,Mouse,Rat
IF 咨询技术 Human,Mouse,Rat
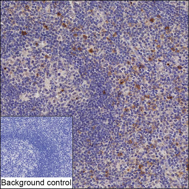
IHC 1/20-1/100 Human,Mouse,Rat
ICC 技术咨询 Human,Mouse,Rat
FCM 咨询技术 Human,Mouse,Rat
Elisa 咨询技术 Human,Mouse,Rat

产品详情

Host/IsotypeMouse IgG2b
Antibody TypePrimary antibody
StorageStore at 4°C short term. Aliquot and store at -20°C long term. Avoid freeze/thaw cycles.
Species ReactivityHuman
ImmunogenPurified recombinant fragment of human CD70
FormulationPurified antibody in PBS with 0.05% sodium azide

+ +

参考文献

以下是3篇关于CD70抗体的参考文献及其摘要概括:

1. **文献名称**:*"CD70 as a target in renal cell carcinoma"*

**作者**:Pal, S.K. et al.

**摘要**:研究探讨了CD70在肾细胞癌(RCC)中的高表达及其作为治疗靶点的潜力。通过使用抗CD70抗体药物偶联物(ADC),在临床前模型中显示出显著抑制肿瘤生长的效果,并验证了CD70靶向治疗的安全性。

2. **文献名称**:*"Targeting CD70 in cancers via CAR-T cells and antibody-based therapies"*

**作者**:Riether, C. et al.

**摘要**:该文献总结了CD70在血液肿瘤和实体瘤中的异常表达,并评估了抗CD70单克隆抗体及CAR-T细胞疗法的协同作用。实验证明,阻断CD70信号可增强T细胞抗肿瘤活性,并减少免疫抑制性微环境。

3. **文献名称**:*"CD70-specific antibody enhances antitumor immunity by inhibiting regulatory T cells"*

**作者**:Yang, Z. et al.

**摘要**:研究发现抗CD70抗体通过靶向肿瘤微环境中过度表达CD70的调节性T细胞(Tregs),解除其对效应T细胞的抑制,从而提升抗肿瘤免疫应答,并在黑色素瘤模型中观察到肿瘤消退。

4. **文献名称**:*"Development of a CD70-blocking antibody for combination cancer immunotherapy"*

**作者**:Law, C.L. et al.

**摘要**:报道了一种新型抗CD70抗体的开发,其通过阻断CD70与受体CD27的相互作用,抑制肿瘤免疫逃逸。与PD-1抑制剂联用后,在多种癌症模型中显著延长生存期并减少转移。

这些研究均聚焦于CD70在肿瘤治疗中的靶向价值,涵盖抗体药物、免疫调节及联合疗法等方向。

背景信息

CD70. a member of the tumor necrosis factor (TNF) superfamily, is the ligand for CD27 and plays a critical role in regulating immune cell activation and survival. It is transiently expressed on activated T and B lymphocytes, dendritic cells, and certain antigen-presenting cells under normal physiological conditions. However, CD70 is aberrantly overexpressed in various malignancies, including hematological cancers (e.g., lymphomas, multiple myeloma) and solid tumors (e.g., renal cell carcinoma, glioblastoma), as well as in autoimmune disorders. This overexpression is often linked to immune evasion, tumor progression, and poor prognosis.

CD70-targeting antibodies are designed to block CD70-CD27 signaling, which disrupts pro-survival pathways in cancer cells and modulates immune responses. These antibodies may also exert therapeutic effects via antibody-dependent cellular cytotoxicity (ADCC) or complement-dependent cytotoxicity (CDC). Additionally, CD70 antibodies are being explored as components of antibody-drug conjugates (ADCs) or bispecific antibodies to enhance tumor-specific targeting.

Current clinical development includes anti-CD70 agents like cusatuzumab (for acute myeloid leukemia) and ARGX-110 (for T-cell lymphomas), with ongoing trials evaluating safety and efficacy. Challenges include managing on-target off-tumor toxicity due to CD27 expression on normal lymphocytes. Nonetheless, CD70 remains a promising therapeutic target, particularly for cancers with limited treatment options.

客户数据及评论

折叠内容

大包装询价

×