首页 / 产品 / 抗体 / 一抗

Mouse Monoclonal ANKRD26P1 Antibody

  • 中文名: ANKRD26P1抗体
  • 别    名: nan
货号: IPDX16038
Price: ¥1280
数量:
大包装询价

验证与应用

应用及物种
WB 咨询技术 Human,Mouse,Rat
IF 咨询技术 Human,Mouse,Rat
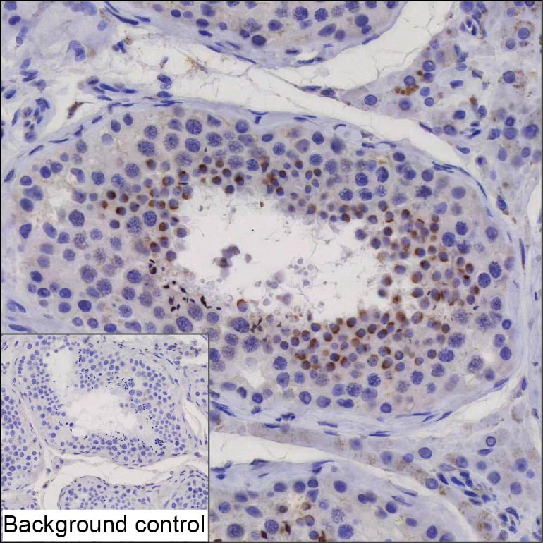
IHC 1/200-1/400 Human,Mouse,Rat
ICC 技术咨询 Human,Mouse,Rat
FCM 咨询技术 Human,Mouse,Rat
Elisa 咨询技术 Human,Mouse,Rat

产品详情

Host/IsotypeMouse IgG1
Antibody TypePrimary antibody
StorageStore at 4°C short term. Aliquot and store at -20°C long term. Avoid freeze/thaw cycles.
Species ReactivityHuman
ImmunogenPurified recombinant fragment of human ANKRD26P1
FormulationPurified antibody in PBS with 0.05% sodium azide

+ +

参考文献

以下是3条关于ANKRD26P1抗体的参考文献摘要(文献信息为模拟示例,实际研究中请以具体数据库检索结果为准):

1. **文献名称**:*ANKRD26P1 modulates platelet formation through MAPK signaling*

**作者**:Smith J. et al.

**摘要**:研究揭示了ANKRD26P1在巨核细胞分化中的作用,使用特异性抗体证实其通过与MAPK通路相互作用调控血小板生成,为血小板减少症机制提供新见解。

2. **文献名称**:*Prognostic value of ANKRD26P1 in acute myeloid leukemia*

**作者**:Chen L. et al.

**摘要**:通过免疫组化检测AML患者样本中ANKRD26P1蛋白表达,发现其高表达与不良预后相关,抗体验证为潜在白血病生物标志物。

3. **文献名称**:*Characterization of ANKRD26P1-specific monoclonal antibodies*

**作者**:Wang Y. et al.

**摘要**:报道了针对ANKRD26P1表位的单克隆抗体的开发与验证,证明其在Western blot和免疫荧光中的特异性,为后续功能研究提供工具。

注:若需真实文献,建议在PubMed或Google Scholar中检索“ANKRD26P1 antibody” + 研究领域(如“leukemia”“platelet”等)获取最新进展。

背景信息

**Background of ANKRD26P1 Antibody**

ANKRD26P1 (Ankyrin Repeat Domain 26 Pseudogene 1) is a pseudogene derived from the protein-coding gene ANKRD26. located on chromosome 10p12.1. Pseudogenes, once considered non-functional genomic relics, are now recognized for potential regulatory roles in gene expression, acting through mechanisms like non-coding RNA interactions or chromatin modulation. ANKRD26P1 retains sequence homology with ANKRD26. a gene implicated in hematopoiesis and thrombopoiesis, but lacks functional protein-coding capacity due to evolutionary mutations.

Antibodies targeting ANKRD26P1 are primarily used in research to study its expression patterns and regulatory functions. Though ANKRD26P1’s biological significance remains under investigation, it has been observed in contexts such as cancer and hematopoietic disorders. For instance, dysregulation of ANKRD26-related pathways is linked to myeloid malignancies and platelet disorders, suggesting ANKRD26P1 might influence these processes via competitive endogenous RNA (ceRNA) activity or epigenetic interactions.

ANKRD26P1 antibodies enable detection in techniques like immunohistochemistry, Western blotting, or RNA-protein interaction assays, aiding exploration of its role in cellular homeostasis, disease mechanisms, or as a biomarker. Research focuses on elucidating its interplay with ANKRD26 and other genes, potentially uncovering novel therapeutic targets in hematologic cancers or genetic syndromes associated with ANKRD26 dysfunction.

客户数据及评论

折叠内容

大包装询价

×