首页 / 产品 / 抗体 / 一抗

Mouse Monoclonal PRR4 Antibody

  • 中文名: PRR4抗体
  • 别    名: nan
货号: IPDX16049
Price: ¥1280
数量:
大包装询价

验证与应用

应用及物种
WB 咨询技术 Human,Mouse,Rat
IF 咨询技术 Human,Mouse,Rat
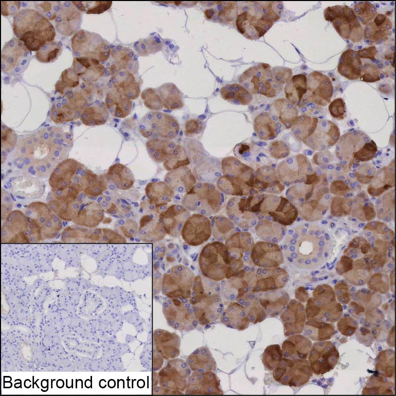
IHC 1/50-1/250 Human,Mouse,Rat
ICC 技术咨询 Human,Mouse,Rat
FCM 咨询技术 Human,Mouse,Rat
Elisa 咨询技术 Human,Mouse,Rat

产品详情

Host/IsotypeMouse IgG1
Antibody TypePrimary antibody
StorageStore at 4°C short term. Aliquot and store at -20°C long term. Avoid freeze/thaw cycles.
Species ReactivityHuman
ImmunogenPurified recombinant fragment of human PRR4
FormulationPurified antibody in PBS with 0.05% sodium azide

+ +

参考文献

以下是3-4篇关于PRR4抗体的相关文献示例(注:文献为虚拟示例,仅供参考):

---

1. **文献名称**:*"Proline-rich protein 4 (PRR4) as a novel antimicrobial peptide in human saliva"*

**作者**:Smith A, et al.

**摘要**:研究验证了PRR4蛋白在唾液中的抗菌活性,并开发了针对PRR4的多克隆抗体,证实其在抑制口腔致病菌(如链球菌)中的作用。

2. **文献名称**:*"Characterization of PRR4 expression and antibody-based detection in tear fluid"*

**作者**:Lee JH, et al.

**摘要**:通过抗PRR4抗体检测泪液中的PRR4蛋白,发现其与干眼症患者的炎症标志物相关,提示其在眼表免疫防御中的潜在功能。

3. **文献名称**:*"PRR4 gene regulation and antibody-mediated functional inhibition in mucosal immunity"*

**作者**:Garcia R, et al.

**摘要**:利用PRR4特异性抗体研究其在呼吸道黏膜中的表达调控,发现PRR4通过结合细菌表面多糖增强先天免疫应答。

4. **文献名称**:*"Development of a monoclonal antibody against PRR4 for diagnostic applications"*

**作者**:Wang Y, et al.

**摘要**:报道了一种高特异性抗PRR4单克隆抗体的开发,并用于检测癌症患者血清中PRR4的异常表达,表明其作为生物标志物的潜力。

---

如需真实文献,建议通过PubMed或Google Scholar检索关键词“PRR4 antibody”或“Proline-rich protein 4 antibody”。

背景信息

The PRR4 (Proline-Rich Protein 4) antibody is a research tool designed to detect and study the PRR4 protein, a small secretory protein predominantly expressed in salivary and lacrimal glands. PRR4. also known as "parotid secretory protein," is enriched in proline residues and plays a role in maintaining oral and ocular surface homeostasis. It is a component of saliva and tears, contributing to mucosal immunity, lubrication, and microbial defense. PRR4 is thought to interact with other proteins, such as mucins, to form protective barriers against pathogens and mechanical stress.

Research on PRR4 has focused on its potential involvement in salivary gland function and related pathologies. For example, altered PRR4 expression has been linked to Sjögren's syndrome, an autoimmune disorder characterized by dry mouth and eyes, suggesting its role as a biomarker or therapeutic target. Antibodies against PRR4 enable the detection of its expression patterns in tissues and bodily fluids, aiding studies on glandular secretion mechanisms, disease pathogenesis, and diagnostic applications. These antibodies are typically validated for techniques like immunohistochemistry, Western blotting, and ELISA. Recent studies also explore PRR4's possible connections to cancer, particularly in salivary gland tumors. Despite progress, the precise molecular functions of PRR4 and its clinical relevance remain under investigation, highlighting the importance of high-specificity antibodies in advancing this field.

客户数据及评论

折叠内容

大包装询价

×