首页 / 产品 / 抗体 / 一抗

Mouse Monoclonal SLC4A1 Antibody

  • 中文名: SLC4A1抗体
  • 别    名: nan
货号: IPDX16185
Price: ¥1280
数量:
大包装询价

验证与应用

应用及物种
WB 咨询技术 Human,Mouse,Rat
IF 1/100-1/200 Human,Mouse,Rat
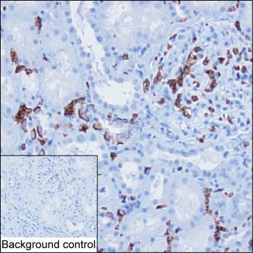
IHC 1/500-1/1000 Human,Mouse,Rat
ICC 技术咨询 Human,Mouse,Rat
FCM 咨询技术 Human,Mouse,Rat
Elisa 咨询技术 Human,Mouse,Rat

产品详情

参考文献

以下是关于SLC4A1抗体的3篇参考文献的简要总结:

---

1. **文献名称**:*Autoantibodies against erythrocyte Band 3 in autoimmune hemolytic anemia*

**作者**:Kay, M.M. et al.

**摘要**:研究报道了针对SLC4A1(红细胞带3蛋白)的自身抗体在自身免疫性溶血性贫血(AIHA)中的作用,揭示了抗体通过破坏红细胞膜稳定性导致溶血的机制。

2. **文献名称**:*Characterization of monoclonal antibodies to human erythrocyte Band 3 protein*

**作者**:Groves, J.D. et al.

**摘要**:描述多种针对SLC4A1的单克隆抗体的开发与特性分析,通过表位定位揭示了带3蛋白的结构与功能关联,为相关疾病的诊断研究提供工具。

3. **文献名称**:*Band 3 mutations and erythrocyte membrane loss in hereditary spherocytosis*

**作者**:Bruce, L.J. et al.

**摘要**:探讨SLC4A1基因突变导致遗传性球形红细胞增多症的机制,利用特异性抗体检测带3蛋白缺失或异常,阐明其与红细胞膜稳定性下降的关系。

---

以上文献聚焦于SLC4A1抗体的病理机制、诊断应用及功能研究领域。

背景信息

The SLC4A1 antibody targets the SLC4A1 gene product, also known as anion exchanger 1 (AE1) or Band 3 protein, a critical transmembrane protein expressed in erythrocytes and renal tubular cells. AE1 plays a dual role: in red blood cells, it facilitates chloride-bicarbonate exchange to regulate CO₂ transport and acid-base homeostasis, while in the kidney, it mediates bicarbonate reabsorption in the distal nephron. SLC4A1 antibodies are primarily studied in the context of autoimmune hemolytic anemia (AIHA) and rare inherited disorders. In AIHA, autoantibodies against AE1 disrupt red cell membrane integrity, leading to premature destruction. These antibodies are often detected via the direct antiglobulin test (DAT) and are associated with both warm and cold antibody-mediated AIHA subtypes. Additionally, SLC4A1 mutations underlie hereditary spherocytosis (HS) and distal renal tubular acidosis (dRTA), where altered protein expression may trigger secondary autoimmune responses. Research also explores SLC4A1 antibodies in paroxysmal nocturnal hemoglobinuria (PNH) and transfusion-related complications. Their clinical utility extends to diagnosing erythrocyte membrane disorders and differentiating autoimmune from congenital hemolytic anemias. Understanding SLC4A1 antibody interactions aids in elucidating pathogenic mechanisms and guiding targeted therapies, such as immunosuppression or complement inhibition.

客户数据及评论

折叠内容

大包装询价

×