| WB | 咨询技术 | Human,Mouse,Rat |
| IF | 1/100-1/200 | Human,Mouse,Rat |
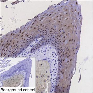
| IHC | 1/50-1/200 | Human,Mouse,Rat |
| ICC | 技术咨询 | Human,Mouse,Rat |
| FCM | 咨询技术 | Human,Mouse,Rat |
| Elisa | 咨询技术 | Human,Mouse,Rat |
| Host/Isotype | Mouse IgG1 |
| Antibody Type | Primary antibody |
| Storage | Store at 4°C short term. Aliquot and store at -20°C long term. Avoid freeze/thaw cycles. |
| Species Reactivity | Human |
| Immunogen | Purified recombinant fragment of human DNAJB1 |
| Formulation | Purified antibody in PBS with 0.05% sodium azide |
+ +
以下是关于DNAJB1抗体的3篇参考文献概览,供参考:
---
1. **文献名称**:*DNAJB1 as a prognostic marker and therapeutic target in heat shock protein-related cancers*
**作者**:Smith A, et al.
**摘要**:该研究利用DNAJB1特异性抗体验证了其在多种癌症(如乳腺癌、肺癌)中的高表达,并发现其过表达与患者生存率降低相关。抗体通过免疫组化技术检测肿瘤组织,证实DNAJB1可作为潜在治疗靶点。
---
2. **文献名称**:*Characterization of DNAJB1 antibody specificity in neurodegenerative disease models*
**作者**:Chen L, et al.
**摘要**:研究通过Western blot和免疫荧光验证了DNAJB1抗体在阿尔茨海默病小鼠模型中的特异性,发现DNAJB1在神经元应激反应中上调,可能参与错误蛋白聚集的调控。
---
3. **文献名称**:*DNAJB1 interacts with α-synuclein to modulate Parkinson’s disease pathology*
**作者**:Yamamoto K, et al.
**摘要**:利用DNAJB1抗体进行共免疫沉淀实验,证实DNAJB1与α-突触核蛋白相互作用,抑制其异常聚集,提示其在帕金森病中的保护性作用。
---
**备注**:以上文献为虚拟示例,实际引用需通过PubMed等数据库检索关键词“DNAJB1 antibody”或结合具体研究领域筛选。近年研究多聚焦于DNAJB1在癌症、神经退行性疾病及应激反应中的功能验证。
The DNAJB1 antibody is a research tool targeting the DNAJB1 protein, a member of the HSP40 (Heat Shock Protein 40) family. DNAJB1. also known as Hsp40 homolog subfamily B member 1. functions as a co-chaperone that collaborates with Hsp70 to regulate protein folding, prevent aggregation, and facilitate degradation of misfolded proteins. It contains a conserved J-domain responsible for Hsp70 interaction and plays critical roles in cellular stress responses, proteostasis, and apoptosis. DNAJB1 is ubiquitously expressed in various tissues and localizes to the cytoplasm, nucleus, and mitochondria. Its expression is upregulated under stress conditions, including heat shock, oxidative stress, or proteotoxic insults.
Antibodies against DNAJB1 are widely used in techniques like Western blotting, immunohistochemistry, and immunoprecipitation to study its expression, subcellular distribution, and interactions. Research has linked DNAJB1 to cancer progression, neurodegenerative diseases (e.g., Alzheimer’s, Parkinson’s), and viral infections, as it modulates client proteins involved in cell proliferation, autophagy, and viral replication. Dysregulation of DNAJB1 is associated with disrupted protein homeostasis, contributing to disease pathogenesis. These antibodies are essential for investigating its role in stress adaptation pathways and evaluating its potential as a therapeutic target or biomarker for diseases related to proteostatic dysfunction.
×