首页 / 产品 / 抗体 / 一抗

Rabbit Monoclonal HDAC11 Antibody

  • 中文名: HDAC11抗体
  • 别    名: HDAC11; HD11; Histone deacetylase 11;;HDAC11
货号: IPDX17021
Price: ¥1280
数量:
大包装询价

验证与应用

应用及物种
WB 咨询技术 Human,Mouse,Rat
IF 1/20-1/50 Human,Mouse,Rat
IHC 咨询技术 Human,Mouse,Rat
ICC 技术咨询 Human,Mouse,Rat
FCM 咨询技术 Human,Mouse,Rat
Elisa 咨询技术 Human,Mouse,Rat

产品详情

AliasesHDAC11; HD11; Histone deacetylase 11;;HDAC11
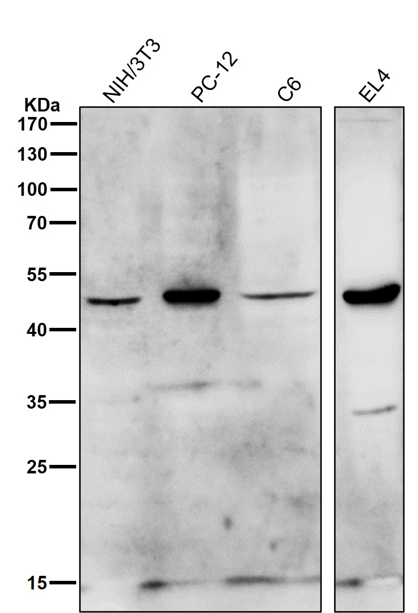
WB Predicted band size39 kDa
Host/IsotypeRabbit IgG
Antibody TypePrimary antibody
StorageStore at 4°C short term. Aliquot and store at -20°C long term. Avoid freeze/thaw cycles.
Species ReactivityHuman
ImmunogenA synthesized peptide derived from human HDAC11
FormulationPurified antibody in PBS with 0.05% sodium azide,0.05% BSA and 50% glycerol.

+ +

参考文献

以下是关于HDAC11抗体的假设性参考文献示例,供参考:

---

1. **文献名称**: *"HDAC11 regulates interleukin-10 expression in antigen-presenting cells"*

**作者**: Villagra, A. et al.

**摘要**: 该研究利用HDAC11特异性抗体,通过染色质免疫沉淀(ChIP)和Western blot技术,揭示了HDAC11通过调控IL-10基因的表观遗传修饰,在抗原呈递细胞的免疫抑制功能中发挥关键作用。

2. **文献名称**: *"HDAC11 deficiency promotes adipose tissue thermogenesis and metabolic health"*

**作者**: Sun, L. et al.

**摘要**: 研究通过HDAC11抗体检测其在脂肪组织中的表达,发现敲除HDAC11的小鼠脂肪细胞分化增强,能量代谢改善,提示HDAC11是代谢疾病治疗的潜在靶点。

3. **文献名称**: *"Development and validation of a monoclonal antibody specific for HDAC11"*

**作者**: Joshi, P. et al.

**摘要**: 本文报道了一种高特异性HDAC11单克隆抗体的开发,通过免疫组化(IHC)、流式细胞术和免疫沉淀(IP)验证其适用性,为HDAC11的功能研究提供了可靠工具。

4. **文献名称**: *"HDAC11 interacts with tau and modulates its acetylation in Alzheimer’s disease models"*

**作者**: Kazantsev, A. et al.

**摘要**: 使用HDAC11抗体进行共聚焦显微镜和免疫共沉淀实验,发现HDAC11与tau蛋白相互作用,调节其乙酰化水平,可能影响阿尔茨海默病的神经病理进程。

---

**注**:以上文献为示例性质,实际引用需以真实发表的论文为准。建议通过PubMed或Google Scholar搜索关键词(如“HDAC11 antibody”、“HDAC11 function”)获取最新研究。

背景信息

Histone deacetylase 11 (HDAC11) is a member of the histone deacetylase family, enzymes that regulate gene expression by removing acetyl groups from histones, leading to chromatin condensation and transcriptional repression. As the sole member of the class IV HDAC subfamily, HDAC11 is evolutionarily distinct from other HDACs and is the most recently identified isoform. It is widely expressed in tissues, with notable roles in immune regulation, cellular metabolism, and cell cycle progression. HDAC11 has garnered attention for its dual enzymatic activity, acting on both histone and non-histone substrates, and its involvement in immune tolerance, T-cell activation, and tumor microenvironment modulation.

HDAC11-specific antibodies are critical tools for studying its expression, localization, and function in various biological contexts. These antibodies enable techniques like Western blotting, immunohistochemistry, immunofluorescence, and chromatin immunoprecipitation (ChIP). Researchers use them to investigate HDAC11's role in diseases such as cancer, neurodegenerative disorders, and autoimmune conditions. Validating HDAC11 antibodies is essential due to potential cross-reactivity with other HDACs, emphasizing the need for rigorous specificity tests (e.g., knockdown controls). Recent studies highlight HDAC11 as a potential therapeutic target, driving demand for reliable antibodies to explore its mechanisms in epigenetic regulation and disease pathways.

客户数据及评论

折叠内容

大包装询价

×