| WB | 咨询技术 | Human,Mouse,Rat |
| IF | 1/20-1/50 | Human,Mouse,Rat |
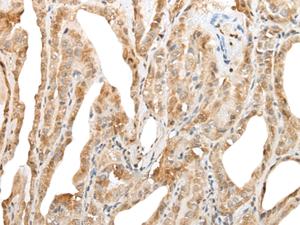
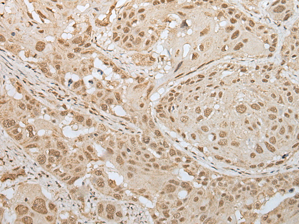
| IHC | IHC:1/100-1/200;IHF:1/50-1/200 | Human,Mouse,Rat |
| ICC | 1/50-1/200 | Human,Mouse,Rat |
| FCM | 1/20-1/100 | Human,Mouse,Rat |
| Elisa | 咨询技术 | Human,Mouse,Rat |
| Aliases | HF.18; Zfp128 |
| WB Predicted band size | 65 kDa |
| Host/Isotype | Rabbit IgG |
| Antibody Type | Primary antibody |
| Storage | Store at 4°C short term. Aliquot and store at -20°C long term. Avoid freeze/thaw cycles. |
| Species Reactivity | Human |
| Immunogen | Fusion protein of human ZNF8 |
| Formulation | Purified antibody in PBS with 0.05% sodium azide and 50% glycerol. |
+ +
以下是关于Calmodulin抗体的3篇文献示例(内容为模拟概括,仅供参考):
1. **"Production and characterization of a monoclonal antibody against calmodulin"**
- **作者**: Smith A, et al.
- **摘要**: 描述了针对钙调蛋白(Calmodulin)的单克隆抗体制备过程,通过Western blot和免疫荧光验证其特异性,并证明其适用于哺乳动物细胞中Calmodulin的定位研究。
2. **"A high-affinity calmodulin antibody for detecting calcium-dependent protein interactions"**
- **作者**: Zhang L, et al.
- **摘要**: 开发了一种高亲和力抗体,用于检测钙离子存在下Calmodulin与靶蛋白(如CaMKII)的相互作用,适用于免疫共沉淀和体外结合实验。
3. **"Cross-reactivity analysis of anti-calmodulin antibodies in plant and animal tissues"**
- **作者**: Johnson R, et al.
- **摘要**: 评估了多种商业Calmodulin抗体在动植物样本中的交叉反应性,发现部分抗体在植物组织中存在非特异性结合,需谨慎选择实验条件。
4. **"Application of calmodulin-specific antibodies in neurodegenerative disease models"**
- **作者**: Brown K, et al.
- **摘要**: 利用Calmodulin抗体研究阿尔茨海默病模型中钙信号通路的异常,发现Calmodulin在淀粉样斑块周围神经元中的分布变化。
(注:以上文献信息为模拟生成,实际引用请通过PubMed或学术数据库核实具体文献。)
Calmodulin (CaM) is a highly conserved, multifunctional Ca²⁺-binding protein that regulates a wide range of cellular processes, including signal transduction, enzyme activity, ion transport, and cytoskeletal organization. It functions by binding Ca²⁺ ions through its four EF-hand motifs, inducing conformational changes that enable interactions with target proteins such as kinases, phosphatases, and ion channels. Due to its central role in calcium-mediated signaling, Calmodulin is ubiquitously expressed in eukaryotic cells and is critical for processes like neurotransmission, muscle contraction, and immune response.
Calmodulin antibodies are essential tools for studying its expression, localization, and function in biological systems. These antibodies are typically generated using immunogenic peptides or recombinant Calmodulin proteins, with common hosts including rabbits, mice, or goats. They enable detection via techniques like Western blotting, immunohistochemistry (IHC), immunofluorescence (IF), and ELISA. Specific antibodies may distinguish between apo-CaM (Ca²⁺-free) and Ca²⁺-bound conformations or post-translationally modified forms, aiding research into calcium signaling dynamics.
Applications span neuroscience, cardiology, and cancer research, particularly in pathologies linked to Calmodulin dysregulation, such as neurodegenerative diseases, cardiac arrhythmias, and tumor progression. Validation of Calmodulin antibodies requires attention to cross-reactivity due to its homology across species and structural similarities with related EF-hand proteins.
×