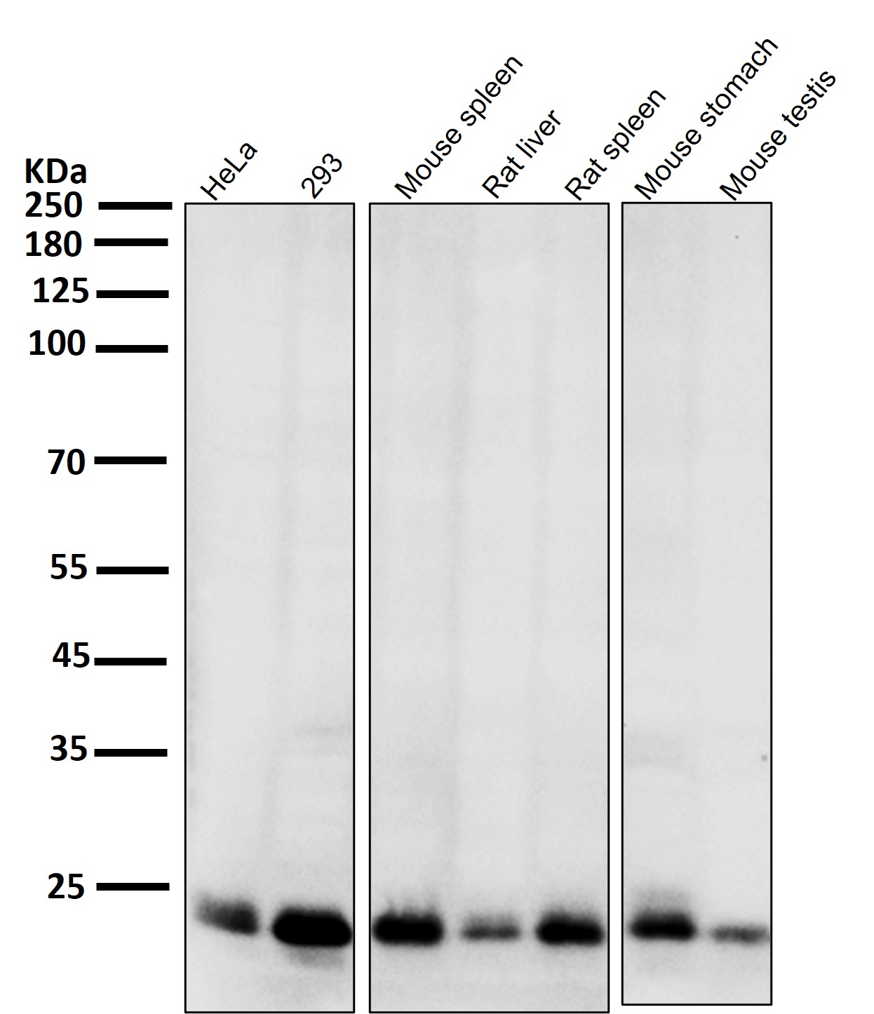
| WB | 咨询技术 | Human,Mouse,Rat |
| IF | 1/20-1/50 | Human,Mouse,Rat |
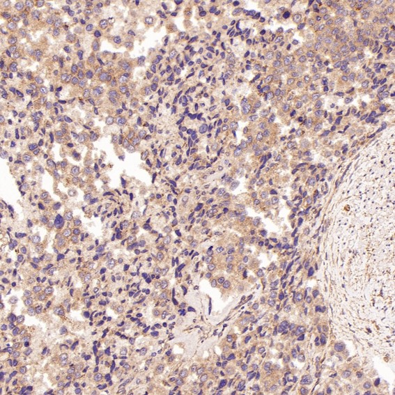
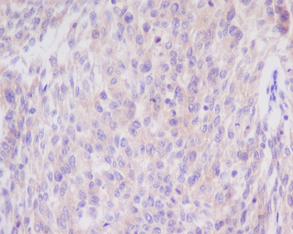
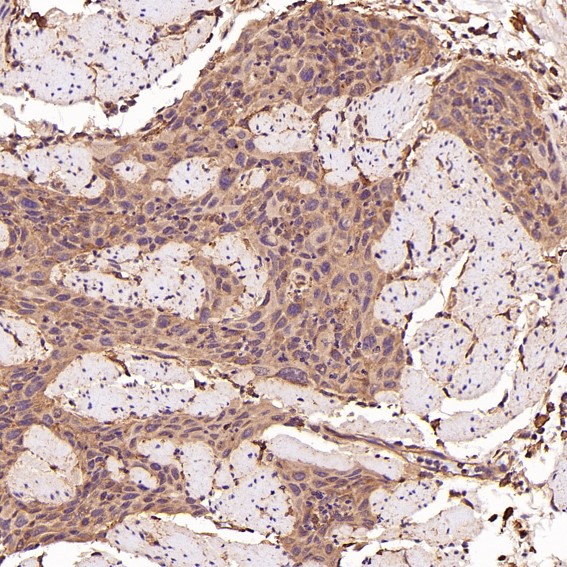
| IHC | IHC:1/100-1/200;IHF:1/50-1/200 | Human,Mouse,Rat |
| ICC | 1/50-1/200 | Human,Mouse,Rat |
| FCM | 1/20-1/100 | Human,Mouse,Rat |
| Elisa | 咨询技术 | Human,Mouse,Rat |
| Aliases | BAM; BIM; BOD; BimL; BimS; BimEL; BIM-beta6; BIM-beta7; BIM-alpha6;BCL2L11;;BIM |
| WB Predicted band size | 22 kDa |
| Host/Isotype | Rabbit IgG |
| Antibody Type | Primary antibody |
| Storage | Store at 4°C short term. Aliquot and store at -20°C long term. Avoid freeze/thaw cycles. |
| Species Reactivity | Human,Mouse,Rat |
| Immunogen | A synthesized peptide derived from human BIM |
| Formulation | Purified antibody in PBS with 0.05% sodium azide,0.05% BSA and 50% glycerol. |
+ +
以下是3篇与BIM抗体相关的文献概览:
1. **文献名称**:*The role of BIM in apoptosis regulation in lymphocytes*
**作者**:Bouillet, P., et al.
**摘要**:该研究利用BIM基因敲除小鼠模型,揭示了BIM蛋白在淋巴细胞凋亡中的关键作用,并通过Western blot和免疫组化技术(使用BIM特异性抗体)证实其通过调控线粒体途径促进细胞程序性死亡。
2. **文献名称**:*BIM mediates EGFR tyrosine kinase inhibitor-induced apoptosis in EGFR mutant lung cancers*
**作者**:Costa, D.B., et al.
**摘要**:研究探讨了EGFR抑制剂在肺癌治疗中激活BIM依赖性凋亡通路的机制,通过免疫沉淀和抗体检测发现BIM上调是药物敏感性的关键标志,耐药性与BIM表达缺失相关。
3. **文献名称**:*Phosphorylation of BIM regulates its proteasomal degradation and pro-apoptotic function*
**作者**:Ren, H., et al.
**摘要**:该研究阐明了BIM蛋白的磷酸化修饰(如ERK介导的Ser69位点)如何影响其稳定性,通过抗体验证发现磷酸化BIM与泛素化降解相关,揭示其在细胞存活与凋亡动态平衡中的调控机制。
---
**备注**:以上文献摘要概括了BIM抗体的应用场景(如Western blot、免疫沉淀)及BIM在凋亡、癌症治疗和蛋白调控中的功能。若需具体年份或期刊,建议补充检索PubMed或Web of Science获取完整信息。
Bim (Bcl-2 interacting mediator of cell death), a pro-apoptotic protein in the Bcl-2 family, plays a critical role in mitochondrial-mediated apoptosis. It functions by binding to anti-apoptotic members like Bcl-2 and Bcl-xL, neutralizing their activity and enabling Bax/Bak activation, which triggers cytochrome c release and caspase cascade initiation. Bim is essential in diverse physiological processes, including immune regulation, development, and tissue homeostasis. Its dysregulation is implicated in autoimmune diseases, neurodegenerative disorders, and cancer, where reduced Bim expression often correlates with tumor progression and therapy resistance.
Bim expression is tightly regulated transcriptionally (via FOXO3A, p53) and post-translationally (e.g., phosphorylation by ERK/MAPK leading to proteasomal degradation). Three major isoforms—BimS, BimL, and BimEL—exhibit varying apoptotic potency, with BimS being the most potent.
Anti-Bim antibodies are vital tools for detecting Bim levels in research contexts, such as studying apoptosis mechanisms, cancer drug resistance, or neuronal survival. These antibodies (monoclonal/polyclonal) enable techniques like Western blot, immunohistochemistry, and flow cytometry. In cancer research, they help assess Bim’s role in chemotherapy response, as low Bim levels often predict poor outcomes. Additionally, Bim-targeting therapies, including BH3 mimetics, are explored to overcome apoptosis resistance. Reliable Bim antibodies are thus crucial for advancing both basic and translational biomedical research.
×