首页 / 产品 / 抗体 / 一抗

Rabbit Monoclonal CarbonicAnhydraseIX Antibody

  • 中文名: CarbonicAnhydraseIX抗体
  • 别    名: MN; P54/58N; CAIX; CA9; Carbonic anhydrase IX; CAH9;;Carbonic anhydrase 9
货号: IPDX17267
Price: ¥1280
数量:
大包装询价

验证与应用

应用及物种
WB 1/1000-1/2000 Human,Mouse,Rat
IF 咨询技术 Human,Mouse,Rat
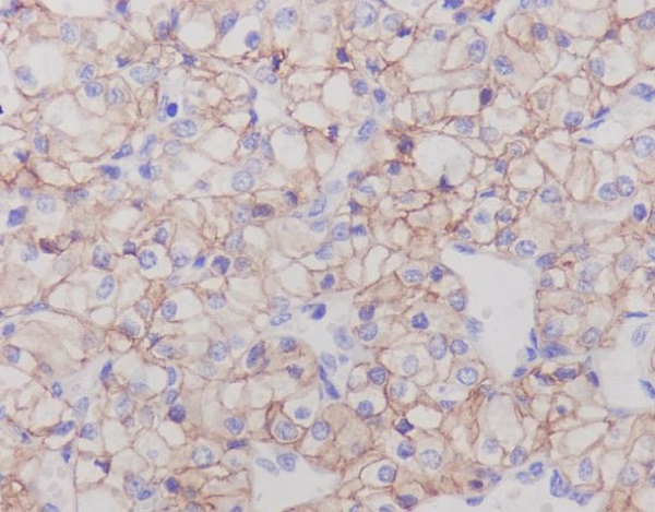
IHC 1/100-1/200 Human,Mouse,Rat
ICC 技术咨询 Human,Mouse,Rat
FCM 咨询技术 Human,Mouse,Rat
Elisa 咨询技术 Human,Mouse,Rat

产品详情

AliasesMN; P54/58N; CAIX; CA9; Carbonic anhydrase IX; CAH9;;Carbonic anhydrase 9
WB Predicted band size50 kDa
Host/IsotypeRabbit IgG
Antibody TypePrimary antibody
StorageStore at 4°C short term. Aliquot and store at -20°C long term. Avoid freeze/thaw cycles.
Species ReactivityHuman
ImmunogenA synthesized peptide derived from human Carbonic anhydrase 9
FormulationPurified antibody in PBS with 0.05% sodium azide,0.05% BSA and 50% glycerol.

+ +

参考文献

以下是关于Carbonic Anhydrase IX(CAIX)抗体的3篇代表性文献概览:

---

1. **文献名称**:*"Monoclonal antibody G250 recognizes a determinant present in renal cell carcinoma and absent from normal kidney."*

**作者**:Pastorek J, et al.

**摘要**:该研究首次报道了单克隆抗体G250的制备及其对肾细胞癌(RCC)的特异性识别能力。CAIX在RCC中高表达,但在正常肾组织中几乎不表达,表明其可作为RCC诊断和治疗靶点。

---

2. **文献名称**:*"Carbonic anhydrase IX, a hypoxia-induced tumor-associated antigen, augments invasion in renal cell carcinoma."*

**作者**:Chia SK, et al.

**摘要**:探讨了CAIX在缺氧肿瘤微环境中的功能,发现其通过调节细胞外pH值促进肾癌细胞侵袭。研究使用特异性抗体证实CAIX表达与肿瘤侵袭性相关,提示其作为预后标志物的潜力。

---

3. **文献名称**:*"Immunohistochemical detection of Carbonic Anhydrase IX in primary lung cancer and pleural mesotheliomas."*

**作者**:Loncaster JA, et al.

**摘要**:通过免疫组化分析CAIX在肺癌和间皮瘤中的表达,发现其与缺氧区域高度共定位。研究验证了CAIX抗体的临床应用价值,支持其在肿瘤分期和治疗反应评估中的作用。

---

如需具体年份或期刊信息,可进一步补充说明。

背景信息

Carbonic Anhydrase IX (CAIX) is a transmembrane zinc metalloenzyme belonging to the carbonic anhydrase family, primarily involved in pH regulation and cell adhesion. It catalyzes the reversible hydration of carbon dioxide to bicarbonate and protons, aiding tumor cells in maintaining intracellular pH homeostasis under hypoxic conditions. CAIX expression is strongly regulated by hypoxia-inducible factor-1α (HIF-1α), making it a hallmark of hypoxia-responsive pathways in solid tumors. While minimal in normal tissues, CAIX is overexpressed in various cancers, including renal cell carcinoma, cervical cancer, and breast cancer, where it promotes tumor progression, metastasis, and resistance to therapy.

CAIX antibodies are critical tools for detecting and quantifying CAIX protein expression in research and diagnostics. They are widely used in immunohistochemistry (IHC), Western blotting, and ELISA to assess CAIX levels in tumor samples, aiding in cancer diagnosis, prognosis, and therapeutic targeting. Clinically, CAIX serves as a biomarker for clear cell renal cell carcinoma (ccRCC), with monoclonal antibodies like Girentuximab explored for diagnostic imaging and antibody-based therapies. Additionally, CAIX-targeting antibodies are investigated in drug conjugates and immunotherapies to enhance tumor-specific delivery and efficacy. Their specificity and sensitivity make CAIX antibodies pivotal in understanding tumor biology and developing precision oncology strategies.

客户数据及评论

折叠内容

大包装询价

×