| WB | 1/1000-1/2000 | Human,Mouse,Rat |
| IF | 1/20-1/50 | Human,Mouse,Rat |
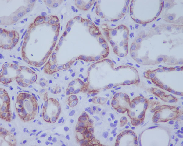
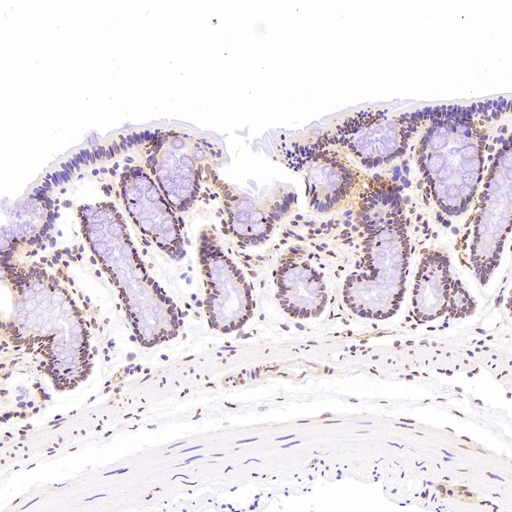
| IHC | IHC:1/100-1/200;IHF:1/50-1/200 | Human,Mouse,Rat |
| ICC | 1/50-1/200 | Human,Mouse,Rat |
| FCM | 咨询技术 | Human,Mouse,Rat |
| Elisa | 咨询技术 | Human,Mouse,Rat |
| Aliases | Angiotensin-converting enzyme 2; ACE-related carboxypeptidase; Angiotensin-converting enzyme homolog; ACEH; Processed angiotensin-converting enzyme 2; ACE 2; ACEH;;ACE2 |
| WB Predicted band size | 92 kDa |
| Host/Isotype | Rabbit IgG |
| Antibody Type | Primary antibody |
| Storage | Store at 4°C short term. Aliquot and store at -20°C long term. Avoid freeze/thaw cycles. |
| Species Reactivity | Human,Mouse,Rat |
| Immunogen | A synthesized peptide derived from human ACE2 |
| Formulation | Purified antibody in PBS with 0.05% sodium azide,0.05% BSA and 50% glycerol. |
+ +
以下是3篇关于ACE2抗体的代表性文献摘要概括:
1. **文献名称**: *A human monoclonal antibody blocking SARS-CoV-2 infection*
**作者**: Wang C, et al.
**摘要**: 该研究筛选出一种靶向ACE2受体的人源单克隆抗体(47D11),可阻断SARS-CoV-2刺突蛋白与宿主细胞结合,在体外实验中显著抑制病毒侵染,为COVID-19治疗提供潜在候选药物。
2. **文献名称**: *Structural basis for neutralization of SARS-CoV-2 by a human anti-ACE2 antibody*
**作者**: Zhou D, et al.
**摘要**: 通过冷冻电镜解析了中和抗体H11-B11与ACE2的复合物结构,揭示其通过竞争性结合ACE2的病毒结合域抑制SARS-CoV-2入侵,为抗体优化提供结构学依据。
3. **文献名称**: *Engineered ACE2-Fc fusion antibodies potently neutralize SARS-CoV-2*
**作者**: Lei C, et al.
**摘要**: 开发了一种ACE2-Fc融合抗体,通过增强ACE2的亲和力与二聚化效应,在动物模型中显著降低病毒载量,并展示了对多种冠状病毒变体的广谱中和能力。
4. **文献名称**: *ACE2 nanobodies prevent SARS-CoV-2 infection through receptor blocking and viral membrane disruption*
**作者**: Schoof M, et al.
**摘要**: 报道了一组骆驼源纳米抗体,通过双重机制(阻断ACE2结合和破坏病毒膜完整性)高效中和SARS-CoV-2.在小鼠模型中验证了其预防和治疗潜力。
**Background of ACE2 Antibodies**
ACE2 (angiotensin-converting enzyme 2) is a membrane-bound enzyme critical in regulating the renin-angiotensin system (RAS), involved in cardiovascular and renal homeostasis. It gained prominence as the primary receptor for SARS-CoV-2. enabling viral entry by binding to its spike protein. ACE2 antibodies are tools or therapeutics targeting this interaction.
Research-focused ACE2 antibodies help study viral entry mechanisms, block spike-ACE2 binding in vitro, or detect ACE2 expression in tissues. Therapeutic ACE2 antibodies, often monoclonal, aim to neutralize SARS-CoV-2 by preventing viral attachment, offering potential treatment for COVID-19. Soluble ACE2 proteins or antibody-engineered decoys also show promise in trapping virions.
Additionally, ACE2 antibodies serve as biomarkers in studies exploring COVID-19 severity, as ACE2 expression varies across organs and populations. Challenges include viral mutation-driven immune evasion and balancing therapeutic neutralization with preserving ACE2’s physiological roles (e.g., modulating blood pressure). Beyond virology, ACE2 antibodies are investigated in cardiovascular and kidney diseases, reflecting the enzyme’s broad regulatory functions.
Overall, ACE2 antibodies represent a dual-purpose tool: understanding viral pathogenesis and developing targeted therapies, while navigating complexities of host-virus biology.
×