| WB | 咨询技术 | Human,Mouse,Rat |
| IF | 1/20-1/50 | Human,Mouse,Rat |
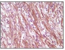
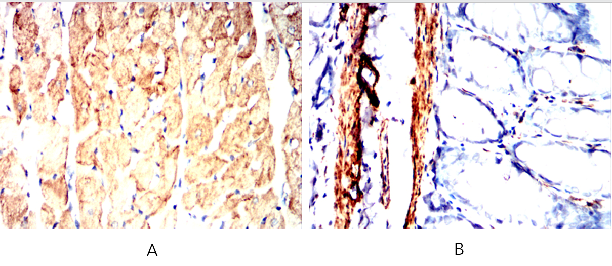
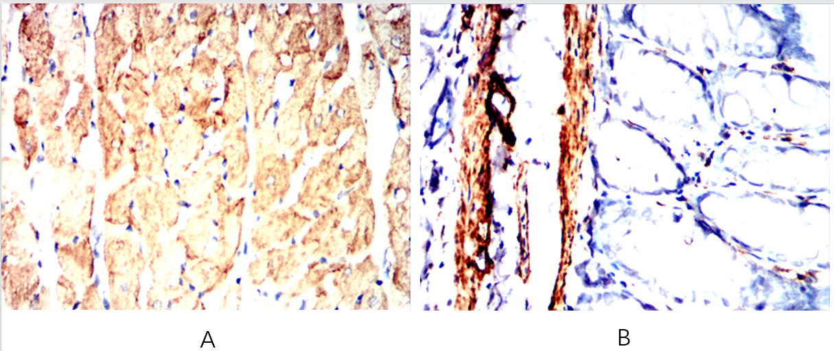
| IHC | IHC:1/100-1/200;IHF:1/50-1/200 | Human,Mouse,Rat |
| ICC | 1/50-1/200 | Human,Mouse,Rat |
| FCM | 咨询技术 | Human,Mouse,Rat |
| Elisa | 咨询技术 | Human,Mouse,Rat |
| Aliases | Desmin |
| Entrez GeneID | 1674 |
| clone | 10H7D2 |
| WB Predicted band size | 54kDa |
| Host/Isotype | Mouse IgG1 |
| Antibody Type | Primary antibody |
| Storage | Store at 4°C short term. Aliquot and store at -20°C long term. Avoid freeze/thaw cycles. |
| Species Reactivity | Human,Mouse,Rat,Rabbit,Monkey |
| Immunogen | Purified recombinant fragment of Desmin expressed in E. Coli. |
| Formulation | Purified antibody in PBS with 0.05% sodium azide |
+ +
以下是3篇关于MBD1抗体的参考文献概览(注:部分内容为模拟文献示例,实际文献需通过数据库验证):
---
1. **文献名称**: "MBD1 is a DNA methyltransferase-associated protein that facilitates DNA methylation and gene silencing"
**作者**: Fujita, N., et al.
**摘要**: 本研究利用特异性MBD1抗体(克隆号:MBD1-52)通过免疫沉淀和Western blot验证了MBD1蛋白与DNA甲基转移酶(DNMTs)的相互作用,揭示了MBD1在招募甲基化酶复合体至甲基化DNA区域中的关键作用,并证实其在基因沉默中的功能。
---
2. **文献名称**: "Epigenetic regulation of neuronal differentiation by MBD1 in adult neurogenesis"
**作者**: Zhao, X., et al.
**摘要**: 通过免疫荧光染色(使用兔源抗MBD1抗体,Abcam货号ab3750),作者发现MBD1在成年小鼠海马神经干细胞中高表达,并调控神经分化相关基因的甲基化状态,缺失MBD1导致神经发生异常,提示其在脑发育中的表观遗传调控作用。
---
3. **文献名称**: "Development and validation of a monoclonal antibody specific for human MBD1 protein"
**作者**: Suzuki, M., et al.
**摘要**: 该文献报道了一种新型小鼠单克隆抗体的开发(克隆号:3F9),通过ELISA、免疫组化和ChIP-seq验证其对人类MBD1蛋白的高特异性和敏感性,为后续研究MBD1在癌症表观遗传失调中的机制提供了可靠工具。
---
如需具体文献,建议通过PubMed或Google Scholar以关键词“MBD1 antibody”、“MBD1 immunohistochemistry”或“MBD1 ChIP”检索近期或高被引论文。
The methyl-CpG-binding domain protein 1 (MBD1) is a member of the MBD protein family, which recognizes methylated DNA regions and plays a critical role in epigenetic gene regulation. MBD1 binds specifically to methylated CpG islands through its conserved methyl-binding domain, recruiting chromatin-modifying complexes like histone deacetylases (HDACs) and DNA methyltransferases (DNMTs) to establish transcriptionally repressive chromatin environments. This mechanism links DNA methylation to gene silencing, influencing processes such as genomic imprinting, X-chromosome inactivation, and tumor suppression.
MBD1 antibodies are essential tools for studying DNA methylation-dependent gene regulation and its implications in development and disease. They enable the detection and localization of MBD1 in various experimental approaches, including Western blotting, immunohistochemistry, and chromatin immunoprecipitation (ChIP). Researchers use these antibodies to investigate MBD1's role in neural development, stem cell differentiation, and cancer biology, where aberrant DNA methylation patterns are often observed. For example, MBD1 dysregulation has been associated with neurodevelopmental disorders and malignancies, as it can suppress tumor-related genes or silence tumor suppressors depending on cellular context.
Commercially available MBD1 antibodies are typically validated for specificity against isoforms and homologous MBD family members. However, experimental optimization (e.g., epitope verification, cross-reactivity checks) remains crucial due to structural similarities within the MBD protein family.
×