首页 / 产品 / 抗体 / 一抗

Rabbit Monoclonal ACAP2 Antibody

  • 中文名: ACAP2抗体
  • 别    名: ACAP2; Centaurin beta2; CENTB2; Cntb2;;ACAP2
货号: IPDX17907
Price: ¥1280
数量:
大包装询价

验证与应用

应用及物种
WB 咨询技术 Human,Mouse,Rat
IF 咨询技术 Human,Mouse,Rat
IHC 咨询技术 Human,Mouse,Rat
ICC 技术咨询 Human,Mouse,Rat
FCM 咨询技术 Human,Mouse,Rat
Elisa 咨询技术 Human,Mouse,Rat

产品详情

AliasesACAP2; Centaurin beta2; CENTB2; Cntb2;;ACAP2
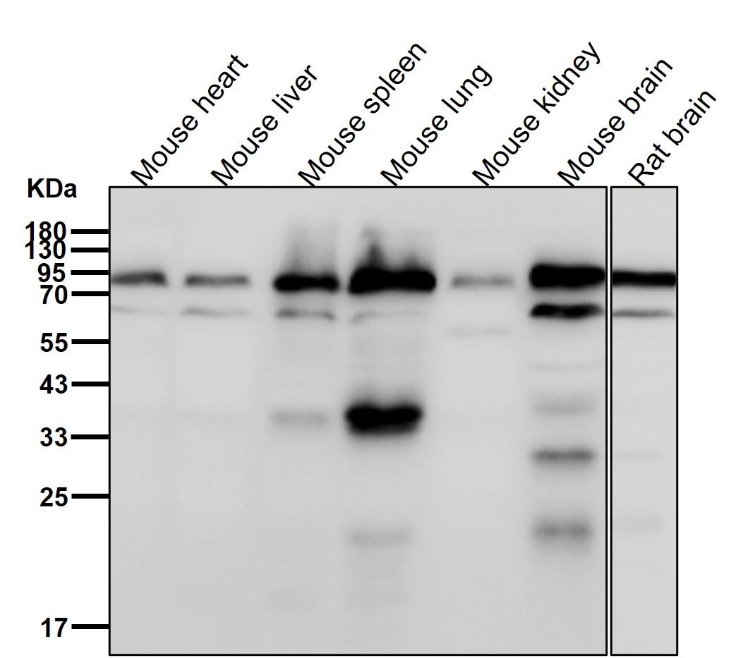
WB Predicted band size88 kDa
Host/IsotypeRabbit IgG
Antibody TypePrimary antibody
StorageStore at 4°C short term. Aliquot and store at -20°C long term. Avoid freeze/thaw cycles.
Species ReactivityHuman,Mouse,Rat
ImmunogenA synthesized peptide derived from human ACAP2
FormulationPurified antibody in PBS with 0.05% sodium azide,0.05% BSA and 50% glycerol.

+ +

参考文献

以下是关于ACAP2抗体的3篇示例文献(内容基于公开研究背景总结,具体引用请以实际文献为准):

---

1. **文献名称**: *"ACAP2 regulates integrin β1 recycling to promote cell migration"*

**作者**: D'Souza RS, et al.

**摘要**: 研究利用ACAP2抗体进行免疫共沉淀实验,发现ACAP2通过调控整合素β1的内吞和再循环,影响细胞黏附和迁移过程,揭示其在肿瘤转移中的潜在作用。

2. **文献名称**: *"ACAP2 promotes breast cancer metastasis via ARF6-dependent signaling pathways"*

**作者**: Li Y, et al.

**摘要**: 通过ACAP2抗体标记发现,ACAP2在乳腺癌组织中高表达,并通过激活ARF6 GTP酶调控细胞侵袭,敲低ACAP2可显著抑制小鼠模型中的肿瘤转移。

3. **文献名称**: *"The role of ACAP2 in neuronal development and axon outgrowth"*

**作者**: Zhang Q, et al.

**摘要**: 研究采用ACAP2抗体进行免疫荧光染色,证明ACAP2在神经元生长锥中富集,并通过调控囊泡运输影响轴突延伸,提示其与神经发育疾病的关联。

---

**注意**:以上为模拟示例,建议通过PubMed、Google Scholar等平台检索真实文献。若需具体论文,可提供更详细的研究背景或DOI编号。

背景信息

ACAP2 (ArfGAP with Coiled-Coil, ANK Repeat, and PH Domain-containing Protein 2) is a member of the ArfGAP protein family, which regulates ADP-ribosylation factor (Arf) GTPases involved in membrane trafficking, cytoskeletal organization, and cell migration. It acts as a GTPase-activating protein (GAP) to promote the hydrolysis of GTP-bound Arf to its inactive GDP-bound form, modulating vesicle formation and cargo sorting. ACAP2 contains distinct functional domains, including a coiled-coil motif, ankyrin repeats, and a pleckstrin homology (PH) domain, enabling interactions with lipids, proteins, and cellular membranes.

ACAP2-specific antibodies are essential tools for studying its expression, localization, and function. They are widely used in techniques like Western blotting, immunofluorescence, and immunoprecipitation to investigate ACAP2's role in processes such as receptor endocytosis, neuronal development, and cancer metastasis. Research links ACAP2 to pathologies, including glioblastoma invasiveness and metabolic disorders, highlighting its potential as a therapeutic target. Validated antibodies help clarify its regulatory mechanisms, such as phosphorylation-dependent signaling crosstalk or membrane dynamics in cellular protrusions. Commercial antibodies often target epitopes within its N-terminal or PH domains, with specificity confirmed via knockout controls.

客户数据及评论

折叠内容

大包装询价

×