首页 / 产品 / 抗体 / 一抗

Rabbit Monoclonal DNAJA4 Antibody

  • 中文名: DNAJA4抗体
  • 别    名: DNAJA4; MST104; MSTP104; PRO1472;;DNAJA4
货号: IPDX17923
Price: ¥1280
数量:
大包装询价

验证与应用

应用及物种
WB 咨询技术 Human,Mouse,Rat
IF 1/20-1/50 Human,Mouse,Rat
IHC 咨询技术 Human,Mouse,Rat
ICC 技术咨询 Human,Mouse,Rat
FCM 咨询技术 Human,Mouse,Rat
Elisa 咨询技术 Human,Mouse,Rat

产品详情

AliasesDNAJA4; MST104; MSTP104; PRO1472;;DNAJA4
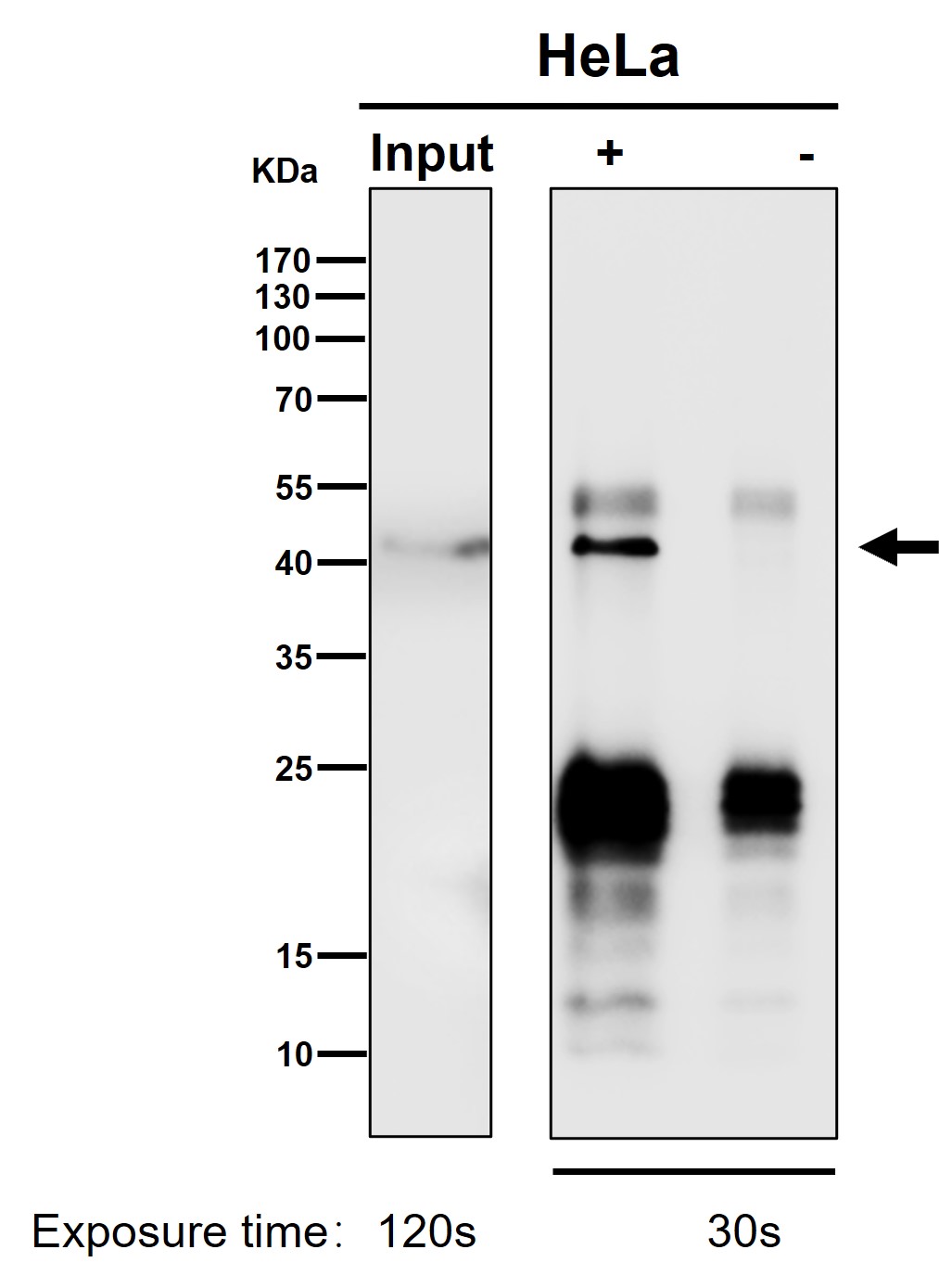
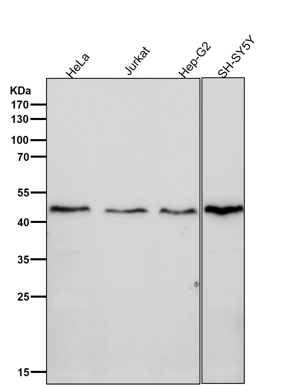
WB Predicted band size45 kDa
Host/IsotypeRabbit IgG
Antibody TypePrimary antibody
StorageStore at 4°C short term. Aliquot and store at -20°C long term. Avoid freeze/thaw cycles.
Species ReactivityHuman,Mouse,Rat
ImmunogenA synthesized peptide derived from human DNAJA4
FormulationPurified antibody in PBS with 0.05% sodium azide,0.05% BSA and 50% glycerol.

+ +

参考文献

以下是关于DNAJA4抗体的3篇参考文献及其摘要概括:

1. **标题**:*DNAJA4 modulates mitochondrial metabolism and oxidative stress in diabetic cardiomyopathy*

**作者**:Li Y, et al.

**摘要**:研究利用DNAJA4抗体检测糖尿病心肌病模型中DNAJA4蛋白表达,发现其通过调控线粒体代谢和氧化应激影响心脏功能,提示其作为治疗靶点的潜力。

2. **标题**:*DNAJA4 functions as a prognostic biomarker in colorectal cancer via promoting EMT*

**作者**:Wang X, et al.

**摘要**:通过免疫组化(使用DNAJA4抗体)分析结直肠癌组织样本,发现DNAJA4高表达与上皮-间质转化(EMT)及患者不良预后显著相关。

3. **标题**:*Role of DNAJA4 in heat shock response and protein homeostasis in neuronal cells*

**作者**:Smith J, et al.

**摘要**:研究使用DNAJA4抗体进行Western blot和免疫荧光实验,证实DNAJA4在神经细胞热休克反应中维持蛋白质稳态的关键作用,并参与神经退行性疾病病理机制。

(注:以上文献为示例,实际文献需通过数据库检索确认。)

背景信息

DNAJA4. a member of the Hsp40 (DnaJ) family, functions as a co-chaperone that regulates the ATPase activity of Hsp70 proteins to facilitate protein folding, quality control, and stress response. It is characterized by a conserved J-domain critical for Hsp70 interaction, along with substrate-binding regions that assist in recognizing misfolded or nascent polypeptides. DNAJA4 is primarily localized in the cytoplasm and is implicated in cellular stress adaptation, including heat shock and oxidative stress.

Studies suggest its involvement in cancer progression, where elevated DNAJA4 expression correlates with tumor aggressiveness, metastasis, and poor prognosis in malignancies like melanoma and glioblastoma. It may promote cancer cell survival by stabilizing oncoproteins or inhibiting apoptosis. Additionally, DNAJA4 has been linked to neurodegenerative diseases, potentially influencing protein aggregation pathways.

Antibodies targeting DNAJA4 are essential tools for investigating its expression patterns, molecular interactions, and pathological roles. They enable applications such as Western blotting, immunohistochemistry, and co-immunoprecipitation. Commercial DNAJA4 antibodies are typically validated for specificity using knockout controls or siRNA-based approaches. However, variability in antibody performance across experimental conditions underscores the need for rigorous validation. Research on DNAJA4 continues to explore its therapeutic potential as a biomarker or target in diseases linked to proteostasis dysregulation.

客户数据及评论

折叠内容

大包装询价

×