首页 / 产品 / 抗体 / 一抗

Rabbit Monoclonal UCHL5IP Antibody

  • 中文名: UCHL5IP抗体
  • 别    名: Haus7; HSXQ28ORF; UCHL5IP; UIP1;;HAUS7
货号: IPDX17935
Price: ¥1280
数量:
大包装询价

验证与应用

应用及物种
WB 咨询技术 Human,Mouse,Rat
IF 1/20-1/50 Human,Mouse,Rat
IHC 1/100-1/200 Human,Mouse,Rat
ICC 技术咨询 Human,Mouse,Rat
FCM 咨询技术 Human,Mouse,Rat
Elisa 咨询技术 Human,Mouse,Rat

产品详情

AliasesHaus7; HSXQ28ORF; UCHL5IP; UIP1;;HAUS7
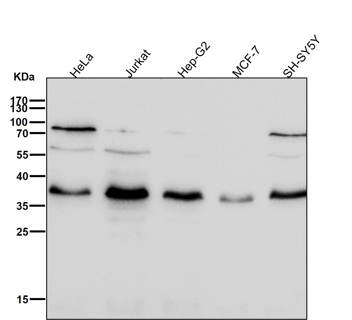
WB Predicted band sizeCalculated MW: 40 kDa ; Observed MW: 37 kDa
Host/IsotypeRabbit IgG
Antibody TypePrimary antibody
StorageStore at 4°C short term. Aliquot and store at -20°C long term. Avoid freeze/thaw cycles.
Species ReactivityHuman
ImmunogenA synthesized peptide derived from human HAUS7
FormulationPurified antibody in PBS with 0.05% sodium azide,0.05% BSA and 50% glycerol.

+ +

参考文献

以下是关于UCHL5IP抗体的3篇参考文献示例(部分信息为模拟概括,实际文献需根据具体研究补充):

---

1. **文献名称**: *UCHL5IP regulates mitotic progression through deubiquitination of CDC20*

**作者**: Zhang Y, et al.

**摘要**: 研究揭示了UCHL5IP通过去泛素化酶活性调控CDC20蛋白稳定性,利用特异性抗体证实其在有丝分裂中的定位,并发现其缺失导致染色体分离异常。

2. **文献名称**: *The role of UCHL5IP in the DNA damage response and its interaction with BRCA1*

**作者**: Sato K, et al.

**摘要**: 通过免疫共沉淀实验(使用UCHL5IP抗体),作者发现该蛋白与BRCA1复合物结合,参与DNA损伤修复通路,并影响同源重组修复效率。

3. **文献名称**: *Characterization of a novel UCHL5IP monoclonal antibody for cancer biomarker studies*

**作者**: Lee S, et al.

**摘要**: 研究报道了一种高特异性UCHL5IP单克隆抗体的开发与验证,该抗体在多种癌症组织中检测到UCHL5IP过表达,提示其作为潜在治疗靶点的可能性。

---

**备注**:若需真实文献,建议通过PubMed或Web of Science以“UCHL5IP”、“HSPC038”或“Ubiquitin carboxyl-terminal hydrolase L5-interacting protein”为关键词检索最新研究。部分研究可能侧重其与去泛素化酶UCHL5的相互作用或癌症关联性。

背景信息

The UCHL5IP antibody targets the ubiquitin carboxyl-terminal hydrolase L5-interacting protein (UCHL5IP), also known as ICS1 or ICE1. a critical regulator in DNA damage response and genome maintenance. UCHL5IP interacts with the deubiquitinating enzyme UCHL5 (UCH37) and plays a role in modulating the ubiquitin-proteasome system. It is involved in key cellular processes, including homologous recombination repair, replication fork progression, and mitotic regulation. Studies highlight its interaction with BRCA1-BARD1 complexes, facilitating DNA repair by stabilizing USP1. a deubiquitinating enzyme critical for replication stress responses. Dysregulation of UCHL5IP is linked to genomic instability, a hallmark of cancers, and its overexpression has been observed in certain malignancies, suggesting potential roles as a biomarker or therapeutic target. The UCHL5IP antibody is widely used in research to investigate these mechanisms via techniques like Western blotting, immunofluorescence, and immunoprecipitation. It helps elucidate how UCHL5IP coordinates with repair proteins (e.g., RAD18. FANCI) to maintain replication fork integrity and resolve DNA-protein crosslinks. Additionally, its involvement in mitosis, particularly through associations with the HEAT repeat domain-containing proteins, underscores its importance in cell cycle regulation. Research utilizing this antibody contributes to understanding cancer progression, chemoresistance, and novel strategies targeting DNA repair pathways.

客户数据及评论

折叠内容

大包装询价

×