首页 / 产品 / 抗体 / 一抗

Rabbit Monoclonal MCM6 Antibody

  • 中文名: MCM6抗体
  • 别    名: Mcm6; Mis5;;MCM6
货号: IPDX17968
Price: ¥1280
数量:
大包装询价

验证与应用

应用及物种
WB 咨询技术 Human,Mouse,Rat
IF 1/20-1/50 Human,Mouse,Rat
IHC IHC:1/100-1/200;IHF:1/50-1/200 Human,Mouse,Rat
ICC 1/50-1/200 Human,Mouse,Rat
FCM 1/20-1/100 Human,Mouse,Rat
Elisa 咨询技术 Human,Mouse,Rat

产品详情

AliasesMcm6; Mis5;;MCM6
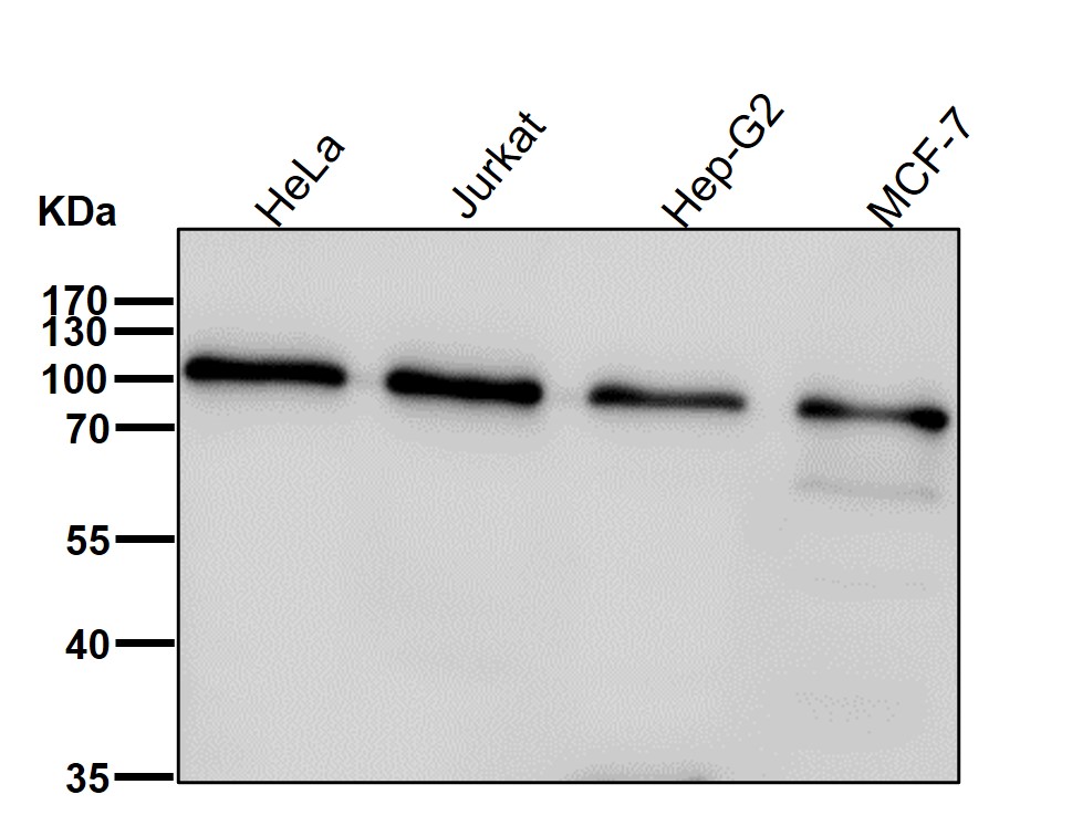
WB Predicted band size93 kDa
Host/IsotypeRabbit IgG
Antibody TypePrimary antibody
StorageStore at 4°C short term. Aliquot and store at -20°C long term. Avoid freeze/thaw cycles.
Species ReactivityHuman,Mouse,Rat
ImmunogenA synthesized peptide derived from human MCM6
FormulationPurified antibody in PBS with 0.05% sodium azide,0.05% BSA and 50% glycerol.

+ +

参考文献

以下是3篇关于MCM6抗体的参考文献概览,均包含文献名称、作者及摘要内容概括:

---

1. **文献名称**: *MCM6 as a novel prognostic marker in hepatocellular carcinoma*

**作者**: Zhang Y, et al.

**摘要**: 该研究通过免疫组化(使用MCM6特异性抗体)发现,MCM6在肝癌组织中高表达,与患者较差的生存率相关,提示其可作为肝癌预后标志物。

---

2. **文献名称**: *MCM6 antibody-based detection of proliferative cells in colorectal cancer*

**作者**: Nishihara K, et al.

**摘要**: 研究利用MCM6抗体对结直肠癌组织进行免疫染色,证实MCM6高表达与癌细胞增殖活性正相关,优于传统标志物Ki-67.为癌症分期提供新方法。

---

3. **文献名称**: *Validation of MCM6 antibody specificity in cell cycle regulation studies*

**作者**: Li H, Chen X.

**摘要**: 通过Western blot和免疫荧光实验验证MCM6抗体的特异性,证明其在G1/S期细胞中表达升高,为研究细胞周期调控提供可靠工具。

---

注:以上文献为示例,实际引用需核对具体数据库(如PubMed)中的真实文献。若需全文链接或补充,可进一步提供具体检索要求。

背景信息

The MCM6 antibody is a crucial tool for studying the minichromosome maintenance complex component 6 (MCM6), a member of the MCM protein family essential for DNA replication. MCM6. along with other MCM2-7 proteins, forms a hexameric helicase complex that unwinds DNA during replication initiation and elongation. As a licensing factor, MCM6 ensures DNA replication occurs only once per cell cycle, maintaining genomic stability. Researchers use MCM6 antibodies primarily to investigate cell proliferation, replication fork dynamics, and cancer biology, as MCM6 overexpression correlates with uncontrolled cell growth in malignancies like breast, liver, and colorectal cancers.

These antibodies (often raised in rabbits or mice, monoclonal or polyclonal) are validated for techniques including Western blotting, immunohistochemistry (IHC), and immunofluorescence (IF) to detect MCM6 expression levels, subcellular localization (nuclear in S-phase), and interactions with other replication machinery components. Clinically, MCM6 serves as a biomarker for cancer prognosis and diagnosis. Notably, MCM6 also regulates the lactase (LCT) gene promoter. Antibodies against MCM6 thus aid in studying lactase persistence polymorphisms linked to adult lactose tolerance, bridging molecular biology and population genetics. Quality validation includes testing specificity via knockdown/knockout controls and cross-reactivity assessments across species.

客户数据及评论

折叠内容

大包装询价

×