首页 / 产品 / 抗体 / 一抗

Rabbit Monoclonal Peroxiredoxin5 Antibody

  • 中文名: Peroxiredoxin5抗体
  • 别    名: ACR1; AOEB166; B166; Peroxiredoxin V; Peroxiredoxin-5; PLP; PMP20; PRDX5; PRDX6; Prx-V; PRXV; SBBI10; Thioredoxin reductase;;PRDX5
货号: IPDX18179
Price: ¥1280
数量:
大包装询价

验证与应用

应用及物种
WB 咨询技术 Human,Mouse,Rat
IF 1/20-1/50 Human,Mouse,Rat
IHC 1/100-1/200 Human,Mouse,Rat
ICC 技术咨询 Human,Mouse,Rat
FCM 1/20-1/100 Human,Mouse,Rat
Elisa 咨询技术 Human,Mouse,Rat

产品详情

AliasesACR1; AOEB166; B166; Peroxiredoxin V; Peroxiredoxin-5; PLP; PMP20; PRDX5; PRDX6; Prx-V; PRXV; SBBI10; Thioredoxin reductase;;PRDX5
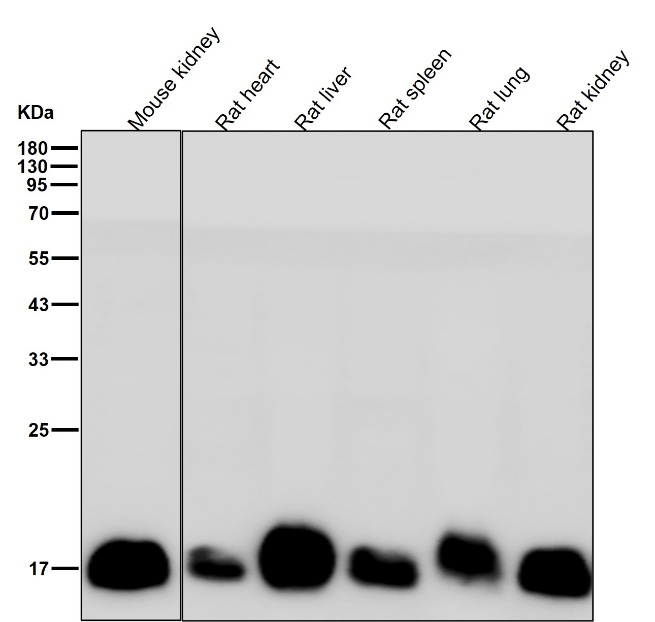
WB Predicted band sizeCalculated MW: 22 kDa ; Observed MW: 17 kDa
Host/IsotypeRabbit IgG
Antibody TypePrimary antibody
StorageStore at 4°C short term. Aliquot and store at -20°C long term. Avoid freeze/thaw cycles.
Species ReactivityHuman,Mouse,Rat
ImmunogenA synthesized peptide derived from human PRDX5
FormulationPurified antibody in PBS with 0.05% sodium azide,0.05% BSA and 50% glycerol.

+ +

参考文献

以下是关于Peroxiredoxin 5(Prdx5)抗体的3篇参考文献示例(文献名称、作者及摘要概括):

1. **"Peroxiredoxin 5: a protective role in neurodegenerative diseases"**

*作者:Lee et al. (2017)*

摘要:研究利用Prdx5抗体通过免疫组化技术,揭示了Prdx5在阿尔茨海默病小鼠模型中神经元内的表达上调,提示其通过清除活性氧(ROS)减轻氧化应激损伤的神经保护机制。

2. **"Characterization of a novel monoclonal antibody against human Prdx5 and its application in cancer diagnostics"**

*作者:Zhang et al. (2019)*

摘要:报道了一种高特异性抗人Prdx5单克隆抗体的开发,通过Western blot和免疫荧光验证其在肝癌组织中的高表达,并探讨其作为癌症早期诊断生物标志物的潜力。

3. **"Peroxiredoxin 5 regulates mitochondrial oxidative stress in cardiovascular disease"**

*作者:Smith et al. (2020)*

摘要:使用Prdx5抗体进行蛋白质印迹和免疫共沉淀实验,发现Prdx5通过与线粒体复合物相互作用调控ROS水平,在动脉粥样硬化模型中抑制内皮细胞凋亡。

背景信息

Peroxiredoxin 5 (PRDX5) is a member of the peroxiredoxin family, a group of evolutionarily conserved antioxidant enzymes critical for regulating cellular redox homeostasis. PRDX5 plays a key role in detoxifying reactive oxygen species (ROS), particularly hydrogen peroxide and peroxynitrite, through its peroxidase activity. Unlike other peroxiredoxins, PRDX5 exhibits a unique structural flexibility, allowing it to localize to multiple subcellular compartments, including mitochondria, cytoplasm, nucleus, and peroxisomes. This broad distribution underscores its involvement in diverse physiological processes, such as cell proliferation, apoptosis, inflammation, and DNA damage repair. Dysregulation of PRDX5 has been linked to oxidative stress-related pathologies, including cancer, neurodegenerative disorders, and cardiovascular diseases.

Antibodies targeting PRDX5 are essential tools for studying its expression, localization, and function in both normal and diseased states. These antibodies enable techniques like Western blotting, immunohistochemistry, and immunofluorescence to quantify protein levels, assess tissue-specific distribution, and investigate interactions with signaling pathways. High-quality PRDX5 antibodies are validated for specificity, often using knockout cell lines or siRNA-mediated knockdown to confirm target selectivity. Researchers also utilize them to explore PRDX5’s role as a potential biomarker or therapeutic target, particularly in conditions driven by oxidative damage. Commercial PRDX5 antibodies are typically raised against conserved epitopes, ensuring cross-reactivity across human, mouse, and rat samples, which facilitates translational and comparative studies. Proper validation remains critical to avoid off-target effects, given the structural similarities among peroxiredoxin family members.

客户数据及评论

折叠内容

大包装询价

×