首页 / 产品 / 抗体 / 一抗

Rabbit Monoclonal hnRNPQ Antibody

  • 中文名: hnRNPQ抗体
  • 别    名: GRYRBP; HNRPQ; HNRPQ1; NSAP1; pp68; Syncrip;;hnRNP Q
货号: IPDX18197
Price: ¥1280
数量:
大包装询价

验证与应用

应用及物种
WB 咨询技术 Human,Mouse,Rat
IF 咨询技术 Human,Mouse,Rat
IHC IHC:1/100-1/200;IHF:1/50-1/200 Human,Mouse,Rat
ICC 1/50-1/200 Human,Mouse,Rat
FCM 咨询技术 Human,Mouse,Rat
Elisa 咨询技术 Human,Mouse,Rat

产品详情

AliasesGRYRBP; HNRPQ; HNRPQ1; NSAP1; pp68; Syncrip;;hnRNP Q
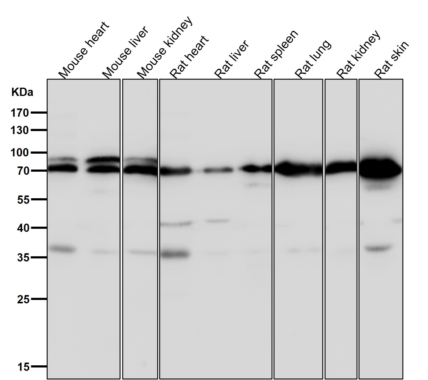
WB Predicted band sizeCalculated MW: 70 kDa ; Observed MW: 65-82 kDa
Host/IsotypeRabbit IgG
Antibody TypePrimary antibody
StorageStore at 4°C short term. Aliquot and store at -20°C long term. Avoid freeze/thaw cycles.
Species ReactivityHuman,Mouse,Rat
ImmunogenA synthesized peptide derived from human hnRNP Q
FormulationPurified antibody in PBS with 0.05% sodium azide,0.05% BSA and 50% glycerol.

+ +

参考文献

以下是关于hnRNPQ抗体的3篇参考文献及其摘要概括:

1. **文献名称**:*hnRNP Q regulates internal ribosome entry site-mediated translation of hepatitis C virus RNA*

**作者**:Kim CS, Seol SK, Song OK, Park JH, Jang SK

**摘要**:该研究利用hnRNP Q抗体进行免疫沉淀实验,发现hnRNP Q通过结合丙型肝炎病毒(HCV)RNA的内部核糖体进入位点(IRES),调控病毒RNA的翻译过程,揭示了其在病毒感染中的关键作用。

2. **文献名称**:*hnRNP Q/SYNCRIP interacts with Ago2 to regulate miRNA-mediated gene silencing*

**作者**:Ishigaki Y, Nakamura Y, Tatsuno T, Hashimoto M, Shimaoka M, Iwabuchi K

**摘要**:研究通过免疫共沉淀(Co-IP)结合hnRNP Q抗体,发现hnRNP Q与Argonaute 2(Ago2)蛋白相互作用,调控microRNA介导的基因沉默过程,阐明了其在转录后调控中的新机制。

3. **文献名称**:*The RNA-binding protein hnRNP Q is required for the normal development of dendritic spines*

**作者**:Chen E, Joseph S, Hung GC, MacLean JA, Lee JA

**摘要**:通过免疫荧光和Western blot实验(使用hnRNP Q抗体),研究发现hnRNP Q缺失导致神经元树突棘发育异常,表明其在神经突触形成和神经功能中的重要性。

背景信息

The heterogeneous nuclear ribonucleoprotein Q (hnRNPQ), also known as SYNCRIP, is a member of the hnRNP family involved in RNA metabolism, including mRNA processing, transport, stability, and translation regulation. It contains RNA-binding domains that enable interactions with diverse RNA targets, playing roles in alternative splicing, localization, and viral RNA replication. hnRNPQ antibodies are essential tools for studying its function in cellular processes and disease contexts. These antibodies are typically developed using immunogenic regions of the protein, such as its N-terminal or C-terminal domains, and are validated for specificity in applications like Western blotting, immunoprecipitation, and immunofluorescence. hnRNPQ dysregulation has been linked to neurological disorders (e.g., ALS, spinal muscular atrophy) and cancers, where it influences oncogene expression and metastasis. Researchers use hnRNPQ antibodies to investigate its interactions with RNA molecules, protein partners, and its subcellular distribution under stress or pathological conditions. Variations in isoforms (e.g., Q, R) due to alternative splicing require antibodies targeting unique epitopes to ensure isoform-specific detection. Its molecular weight (~70-80 kDa) aids in identifying proper bands in assays. Overall, hnRNPQ antibodies are pivotal in unraveling its contributions to gene regulation and disease mechanisms.

客户数据及评论

折叠内容

大包装询价

×