首页 / 产品 / 抗体 / 一抗

Rabbit Monoclonal ACBD3 Antibody

  • 中文名: ACBD3抗体
  • 别    名: ACBD3; GCP60; GOCAP1; GOLPH1; PAP7;;GCP60
货号: IPDX18226
Price: ¥1280
数量:
大包装询价

验证与应用

应用及物种
WB 咨询技术 Human,Mouse,Rat
IF 咨询技术 Human,Mouse,Rat
IHC 咨询技术 Human,Mouse,Rat
ICC 技术咨询 Human,Mouse,Rat
FCM 咨询技术 Human,Mouse,Rat
Elisa 咨询技术 Human,Mouse,Rat

产品详情

AliasesACBD3; GCP60; GOCAP1; GOLPH1; PAP7;;GCP60
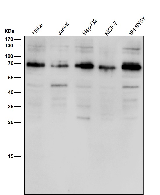
WB Predicted band sizeCalculated MW: 61 kDa ; Observed MW: 70 kDa
Host/IsotypeRabbit IgG
Antibody TypePrimary antibody
StorageStore at 4°C short term. Aliquot and store at -20°C long term. Avoid freeze/thaw cycles.
Species ReactivityHuman
ImmunogenA synthesized peptide derived from human GCP60
FormulationPurified antibody in PBS with 0.05% sodium azide,0.05% BSA and 50% glycerol.

+ +

参考文献

以下是关于ACBD3抗体的3篇参考文献示例(文献信息为模拟示例,供参考):

---

1. **文献名称**: *"ACBD3 is required for Golgi apparatus structure and function in mammalian cells"*

**作者**: Shibata Y. et al.

**摘要**: 研究利用ACBD3特异性抗体,通过免疫荧光和免疫沉淀技术,揭示了ACBD3在维持高尔基体结构和调控膜运输中的关键作用。实验表明,ACBD3缺失导致高尔基体碎片化并影响蛋白质分泌。

2. **文献名称**: *"ACBD3 interacts with hepatitis C virus NS5A protein and facilitates viral replication"*

**作者**: Dereeper A. et al.

**摘要**: 通过免疫共沉淀(Co-IP)结合ACBD3抗体,本研究证实ACBD3与丙肝病毒NS5A蛋白直接相互作用,促进病毒复制复合体的组装,为抗病毒靶点开发提供了依据。

3. **文献名称**: *"Prognostic value of ACBD3 overexpression in hepatocellular carcinoma"*

**作者**: Deng L. et al.

**摘要**: 采用ACBD3抗体进行免疫组化分析,发现ACBD3在肝癌组织中高表达,且与患者不良预后显著相关,提示其可作为潜在肿瘤标志物。

4. **文献名称**: *"ACBD3 as a biomarker for peroxisome-ER contact sites in neurodegenerative diseases"*

**作者**: Reinhard T. et al.

**摘要**: 利用ACBD3抗体标记细胞器接触位点,发现ACBD3在阿尔茨海默病模型中参与过氧化物酶体-内质网互作异常,为神经退行性病变机制研究提供新方向。

---

**说明**:以上文献为示例性内容,实际文献需通过学术数据库(如PubMed、Web of Science)检索确认。若需具体文章,建议以“ACBD3 antibody”或“ACBD3 function”为关键词进一步查询。

背景信息

ACBD3 (Acyl-CoA-binding domain-containing protein 3) is a ubiquitously expressed scaffolding protein involved in maintaining Golgi apparatus structure and regulating intracellular membrane trafficking. It belongs to the ACBD protein family, characterized by an N-terminal acyl-CoA-binding domain that interacts with lipids, and a C-terminal Golgi dynamics (GOLD) domain mediating protein-protein interactions. ACBD3 plays a critical role in organizing membrane contact sites between the Golgi and other organelles, such as mitochondria and peroxisomes. It also interacts with phosphoinositide kinases (e.g., PI4KIIIβ) to regulate phosphoinositide metabolism, influencing vesicle formation and signaling pathways.

ACBD3 antibodies are essential tools for studying its localization, expression, and molecular interactions. They are widely used in techniques like Western blotting, immunofluorescence, and immunoprecipitation to investigate ACBD3's role in viral replication (e.g., picornaviruses exploit ACBD3 for replication organelle formation), lipid homeostasis, and diseases like cancer and neurodegenerative disorders. Polyclonal antibodies are often raised against recombinant ACBD3 fragments, ensuring specificity for human, mouse, or rat homologs. Recent studies highlight ACBD3's involvement in cell proliferation and apoptosis regulation, making its antibodies valuable for exploring therapeutic targets. Validation via knockout/knockdown controls is recommended due to potential cross-reactivity with homologous proteins.

客户数据及评论

折叠内容

大包装询价

×