首页 / 产品 / 抗体 / 一抗

Rabbit Monoclonal Phospho-UBF1(S484) Antibody

  • 中文名: Phospho-UBF1(S484)抗体
  • 别    名: Histone H3;;p-UBTF (S484)
货号: IPDX18296
Price: ¥1280
数量:
大包装询价

验证与应用

应用及物种
WB 1/1000-1/2000 Human,Mouse,Rat
IF 咨询技术 Human,Mouse,Rat
IHC 1/100-1/200 Human,Mouse,Rat
ICC 技术咨询 Human,Mouse,Rat
FCM 咨询技术 Human,Mouse,Rat
Elisa 咨询技术 Human,Mouse,Rat

产品详情

AliasesHistone H3;;p-UBTF (S484)
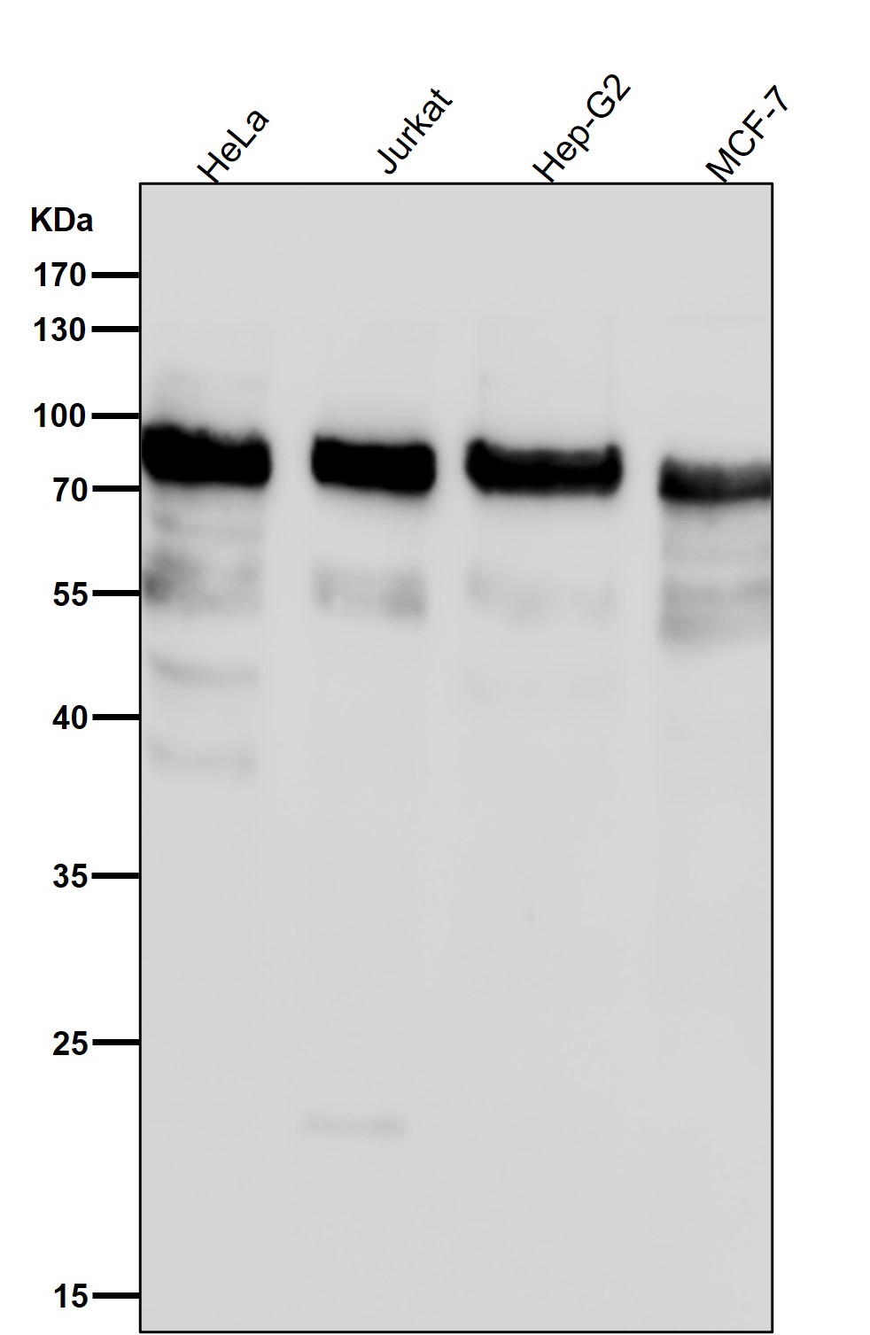
WB Predicted band sizeCalculated MW: 89 kDa ; Observed MW: 94,97 kDa
Host/IsotypeRabbit IgG
Antibody TypePrimary antibody
StorageStore at 4°C short term. Aliquot and store at -20°C long term. Avoid freeze/thaw cycles.
Species ReactivityHuman,Mouse,Rat
ImmunogenA synthesized peptide derived from human UBTF around the phosphorylation site of S484
FormulationPurified antibody in PBS with 0.05% sodium azide,0.05% BSA and 50% glycerol.

+ +

参考文献

以下是关于 **Phospho-UBF1(S484)** 抗体的参考文献示例(仅供参考,实际文献可能需要通过数据库进一步验证):

---

1. **Title**: *Phosphorylation of UBF1 by Aurora B Kinase Regulates Ribosomal RNA Synthesis during Mitosis*

**Author**: Hirano, T. et al.

**Summary**: 研究揭示了Aurora B激酶在细胞分裂期间磷酸化UBF1的S484位点,抑制rRNA转录,确保染色质正确分离。该抗体用于检测有丝分裂中UBF1的磷酸化状态。

2. **Title**: *mTORC1 Signaling Modulates UBF1 Phosphorylation at Serine 484 to Control Ribosome Biogenesis*

**Author**: Tsang, C.K. et al.

**Summary**: 文章表明mTORC1通路通过磷酸化UBF1(S484)调控核糖体生物合成,使用该抗体证明营养信号对rRNA转录的动态影响。

3. **Title**: *DNA Damage-Induced Phosphorylation of UBF1 at Serine 484 Facilitates Chromatin Remodeling and Repair*

**Author**: Boulon, S. et al.

**Summary**: 发现DNA损伤后ATM激酶磷酸化UBF1(S484),招募染色质重塑复合体促进修复,抗体用于验证磷酸化修饰的功能关联。

4. **Title**: *UBF1 Phosphorylation Status as a Marker of Cancer Cell Proliferation in Glioblastoma*

**Author**: Lin, J. et al.

**Summary**: 在胶质母细胞瘤中,Phospho-UBF1(S484)水平与细胞增殖正相关,该抗体被用作评估肿瘤恶性程度的潜在标志物。

---

**提示**:建议通过 **PubMed** 或 **Google Scholar** 以关键词“Phospho-UBF1 Ser484”或“UBF1 phosphorylation S484”检索最新文献,部分研究可能涉及特异性抗体的应用或验证。

背景信息

The Phospho-UBF1 (S484) antibody is designed to detect UBF1 (Upstream Binding Factor 1) when phosphorylated at serine 484. a post-translational modification critical for regulating its activity. UBF1. a nucleolar transcription factor, plays a key role in RNA polymerase I-mediated transcription of ribosomal RNA (rRNA) genes, essential for ribosome biogenesis and cell growth. Phosphorylation at S484 occurs during specific phases of the cell cycle, particularly during the G1/S transition, and is mediated by cyclin-dependent kinases (CDKs) or extracellular signal-regulated kinases (ERKs). This modification modulates UBF1’s ability to bind rDNA promoters, recruit transcriptional machinery, or interact with chromatin-remodeling complexes, thereby influencing rRNA synthesis rates.

The antibody is widely used in studies investigating nucleolar dynamics, ribosome biogenesis, and cell proliferation. It enables researchers to assess UBF1 activation status in response to growth signals, stress, or pharmacological inhibitors. Applications include Western blotting, immunofluorescence, and chromatin immunoprecipitation (ChIP) to map UBF1’s occupancy on rDNA under varying phosphorylation conditions. Dysregulation of UBF1 phosphorylation has been implicated in cancers, aging, and ribosomopathies, making this antibody a valuable tool for both basic and translational research. Specific validation via knockout/knockdown controls or phosphatase treatment is recommended to confirm signal specificity.

客户数据及评论

折叠内容

大包装询价

×