首页 / 产品 / 抗体 / 一抗

Rabbit Monoclonal GPCR/LGR6 Antibody

  • 中文名: GPCR/LGR6抗体
  • 别    名: GPCR; Lgr6;;LGR6
货号: IPDX18472
Price: ¥1280
数量:
大包装询价

验证与应用

应用及物种
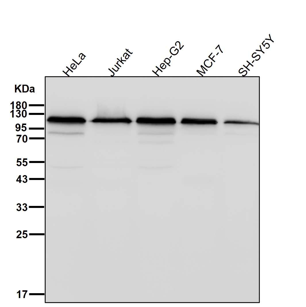
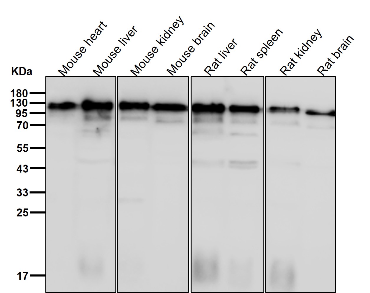
WB 1/1000-1/2000 Human,Mouse,Rat
IF 咨询技术 Human,Mouse,Rat
IHC IHC:1/100-1/200;IHF:1/50-1/200 Human,Mouse,Rat
ICC 1/50-1/200 Human,Mouse,Rat
FCM 1/20-1/100 Human,Mouse,Rat
Elisa 咨询技术 Human,Mouse,Rat

产品详情

AliasesGPCR; Lgr6;;LGR6
WB Predicted band size104 kDa
Host/IsotypeRabbit IgG
Antibody TypePrimary antibody
StorageStore at 4°C short term. Aliquot and store at -20°C long term. Avoid freeze/thaw cycles.
Species ReactivityHuman,Mouse,Rat
ImmunogenA synthesized peptide derived from human LGR6
FormulationPurified antibody in PBS with 0.05% sodium azide,0.05% BSA and 50% glycerol.

+ +

参考文献

以下是关于GPCR/LGR6抗体的3篇参考文献及其摘要概括:

1. **文献名称**:*LGR6 interacts with Wnt receptors and mediates R-spondin signaling*

**作者**:Carmon KS et al.

**摘要**:该研究揭示了LGR6作为Wnt信号通路共受体,通过结合R-spondin蛋白增强Wnt/β-catenin信号传导。研究团队开发了特异性抗LGR6抗体,验证了其在干细胞微环境中的表达及功能调控机制。

2. **文献名称**:*LGR6 promotes melanoma progression and metastasis*

**作者**:Rambow F et al.

**摘要**:本文利用抗LGR6单克隆抗体研究其在黑色素瘤中的作用,发现LGR6高表达与肿瘤侵袭性相关,抗体阻断实验表明LGR6通过调控EMT(上皮间质转化)促进转移。

3. **文献名称**:*Targeting LGR6 in hair follicle stem cells with therapeutic antibodies*

**作者**:Sennett R et al.

**摘要**:研究开发了靶向LGR6的人源化抗体,证实其通过激活毛囊干细胞促进组织再生,为脱发治疗提供了潜在策略。

4. **文献名称**:*Structural basis of LGR4/5/6 recognition by R-spondins*

**作者**:de Lau W et al.

**摘要**:通过冷冻电镜和抗体结合实验解析LGR家族(包括LGR6)与R-spondin蛋白的互作机制,揭示了受体胞外域的关键表位,为抗体药物设计提供结构基础。

这些文献聚焦LGR6抗体的开发、功能验证及在疾病模型中的应用,涵盖癌症、干细胞和再生医学领域。

背景信息

G protein-coupled receptors (GPCRs) are a large family of membrane proteins involved in signal transduction, regulating diverse physiological processes. Leucine-rich repeat-containing G protein-coupled receptor 6 (LGR6), a member of the LGR subfamily, is characterized by a large extracellular leucine-rich repeat domain, which facilitates ligand interactions. LGR6 is notably expressed in stem cell niches, including skin, mammary glands, and reproductive tissues, where it plays roles in tissue regeneration, stem cell maintenance, and developmental signaling. Studies link LGR6 to Wnt/β-catenin and other pathways, influencing cell proliferation, differentiation, and homeostasis.

Antibodies targeting GPCRs like LGR6 are critical tools for studying their expression, localization, and function. Due to the structural complexity and low natural abundance of GPCRs, developing specific antibodies requires careful epitope selection, often targeting extracellular domains or conformation-sensitive regions. LGR6 antibodies enable applications such as immunohistochemistry, flow cytometry, and Western blotting, aiding in mapping its tissue distribution and dynamic expression during disease.

Emerging research highlights LGR6's oncogenic potential, with overexpression observed in cancers like basal cell carcinoma and breast cancer, suggesting its role as a therapeutic target or biomarker. Antibodies against LGR6 also support drug discovery by validating receptor engagement or monitoring therapeutic efficacy. However, challenges persist in ensuring antibody specificity due to GPCR homology and membrane-associated conformational variability. Continued refinement of these reagents remains vital for advancing LGR6-related research in regenerative medicine, oncology, and GPCR biology.

客户数据及评论

折叠内容

大包装询价

×