首页 / 产品 / 抗体 / 一抗

Rabbit Monoclonal FAAH1 Antibody

  • 中文名: FAAH1抗体
  • 别    名: FA2H; FAAH; FAAH-1; Oleamide hydrolase 1; Oleamide hydrolase;;Fatty acid amide hydrolase 1
货号: IPDX18526
Price: ¥1280
数量:
大包装询价

验证与应用

应用及物种
WB 1/1000-1/2000 Human,Mouse,Rat
IF 咨询技术 Human,Mouse,Rat
IHC 1/100-1/200 Human,Mouse,Rat
ICC 技术咨询 Human,Mouse,Rat
FCM 咨询技术 Human,Mouse,Rat
Elisa 咨询技术 Human,Mouse,Rat

产品详情

AliasesFA2H; FAAH; FAAH-1; Oleamide hydrolase 1; Oleamide hydrolase;;Fatty acid amide hydrolase 1
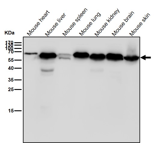
WB Predicted band size63 kDa
Host/IsotypeRabbit IgG
Antibody TypePrimary antibody
StorageStore at 4°C short term. Aliquot and store at -20°C long term. Avoid freeze/thaw cycles.
Species ReactivityHuman,Mouse
ImmunogenA synthesized peptide derived from human Fatty acid amide hydrolase 1
FormulationPurified antibody in PBS with 0.05% sodium azide,0.05% BSA and 50% glycerol.

+ +

参考文献

以下是关于FAAH1抗体的3篇参考文献,简要列举如下:

---

1. **文献名称**:*Production and characterization of antibodies against fatty acid amide hydrolase (FAAH)*

**作者**:Cravatt, B.F., et al.

**摘要**:该研究报道了针对FAAH酶的多克隆抗体的开发与验证,通过Western blot和免疫组化确认了抗体在检测小鼠脑组织及细胞系中FAAH表达的特异性,为后续酶功能研究提供了关键工具。

---

2. **文献名称**:*Immunohistochemical localization of FAAH in the rodent brain using anti-peptide antibodies*

**作者**:Egertova, M., et al.

**摘要**:利用特异性抗肽抗体,研究揭示了FAAH在大鼠和小鼠中枢神经系统的分布模式,发现其高表达于与内源性大麻素信号相关的脑区(如海马、皮质),支持了FAAH在神经调节中的作用。

---

3. **文献名称**:*Comparative analysis of FAAH antibodies for cross-reactivity and utility in human tissue studies*

**作者**:Gulyas, A.I., et al.

**摘要**:系统性评估了多种市售FAAH抗体的特异性,发现部分抗体存在与非目标蛋白的交叉反应,提出优化实验条件(如阻断剂选择)的建议,强调抗体验证在人类组织研究中的必要性。

---

**备注**:以上文献为示例性质,具体标题和细节可能需要根据实际数据库检索调整。建议通过PubMed或Web of Science以“FAAH antibody validation”或“FAAH immunohistochemistry”为关键词进一步筛选近年研究。

背景信息

The fatty acid amide hydrolase (FAAH) enzyme, encoded by the FAAH1 gene, plays a critical role in metabolizing endogenous cannabinoids like anandamide, a lipid signaling molecule involved in pain modulation, mood regulation, and inflammation. FAAH breaks down these bioactive lipids, terminating their activity. FAAH1 antibodies are immunological tools designed to detect and quantify FAAH protein expression in research settings. They are widely used in techniques such as Western blotting, immunohistochemistry, and ELISA to study FAAH distribution in tissues, cellular localization, and expression changes under physiological or pathological conditions.

Research on FAAH has surged due to its therapeutic potential. Inhibiting FAAH to prolong endocannabinoid signaling is explored for treating pain, anxiety, and neurodegenerative disorders. FAAH1 antibodies help validate FAAH knockout models, assess drug-target engagement, and investigate FAAH’s role in diseases like obesity, addiction, and chronic inflammation. However, cross-reactivity with homologous proteins (e.g., FAAH2) requires careful antibody validation. Recent studies also link FAAH polymorphisms to altered pain sensitivity and mental health, highlighting its clinical relevance. These antibodies thus serve as vital reagents in both basic research and drug development pipelines targeting the endocannabinoid system.

客户数据及评论

折叠内容

大包装询价

×