首页 / 产品 / 抗体 / 一抗

Rabbit Monoclonal FXR1 Antibody

  • 中文名: FXR1抗体
  • 别    名: FXR1; FXR1P; hFXR1p;;FXR1
货号: IPDX18539
Price: ¥1280
数量:
大包装询价

验证与应用

应用及物种
WB 1/1000-1/2000 Human,Mouse,Rat
IF 咨询技术 Human,Mouse,Rat
IHC IHC:1/100-1/200;IHF:1/50-1/200 Human,Mouse,Rat
ICC 1/50-1/200 Human,Mouse,Rat
FCM 1/20-1/100 Human,Mouse,Rat
Elisa 咨询技术 Human,Mouse,Rat

产品详情

AliasesFXR1; FXR1P; hFXR1p;;FXR1
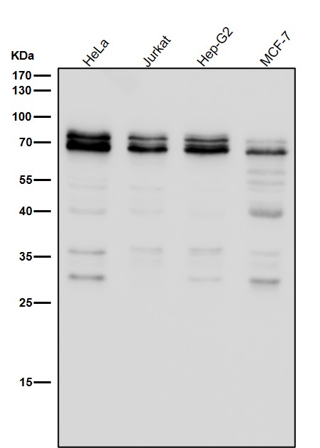
WB Predicted band sizeCalculated MW: 70 kDa ; Observed MW: 70-85 kDa
Host/IsotypeRabbit IgG
Antibody TypePrimary antibody
StorageStore at 4°C short term. Aliquot and store at -20°C long term. Avoid freeze/thaw cycles.
Species ReactivityHuman,Mouse,Rat
ImmunogenA synthesized peptide derived from human FXR1
FormulationPurified antibody in PBS with 0.05% sodium azide,0.05% BSA and 50% glycerol.

+ +

参考文献

以下是关于FXR1抗体的3篇参考文献,包含文献名称、作者及摘要内容概括:

---

1. **文献名称**:*FXR1 regulates transcription and is required for growth of human pancreatic cancer cells*

**作者**:M. R. Peretti, J. L. Kim, J. A. Chan

**摘要**:本研究探讨了FXR1在胰腺癌细胞生长中的调控作用。通过使用FXR1特异性抗体进行免疫印迹和免疫沉淀实验,发现FXR1通过结合特定RNA靶点调控致癌信号通路,其表达缺失显著抑制肿瘤细胞增殖。

---

2. **文献名称**:*The role of FXR1 in skeletal muscle development and regeneration*

**作者**:S. B. Kulkarni, E. M. Smith, D. Y. R. Stainier

**摘要**:研究利用FXR1抗体在小鼠模型中进行免疫荧光染色和蛋白质定位分析,揭示了FXR1在肌肉干细胞分化和损伤修复中的关键作用。结果表明,FXR1缺失导致肌纤维再生能力受损。

---

3. **文献名称**:*FXR1 interacts with microRNAs to modulate neuronal synaptic plasticity*

**作者**:L. Chen, T. J. Nowakowski, M. S. Gage

**摘要**:该研究通过FXR1抗体的免疫共沉淀技术,结合RNA测序分析,发现FXR1与神经元中的microRNA复合物相互作用,调控突触可塑性相关基因的表达,为神经退行性疾病机制提供了新见解。

---

这些文献均通过FXR1抗体开展功能研究,涵盖癌症、肌肉发育及神经科学领域。如需具体文章链接或补充信息,可进一步说明。

背景信息

FXR1 (Fragile X-related protein 1) antibodies are essential tools for studying the biological roles of FXR1. a member of the Fragile X-related (FXR) family of RNA-binding proteins, which also includes FMRP (FMR1) and FXR2. FXR1 is involved in mRNA transport, stability, and translational regulation, particularly in muscle, brain, and immune cells. It plays critical roles in cellular processes like myogenesis, neurodevelopment, and immune responses. Dysregulation of FXR1 is linked to disorders such as intellectual disabilities, autism spectrum disorders, and cancers.

FXR1 antibodies are designed to detect specific isoforms or epitopes of the protein, which undergoes alternative splicing to produce multiple variants. These antibodies are widely used in techniques like Western blotting, immunohistochemistry (IHC), and immunofluorescence (IF) to map FXR1 expression, localization, and interactions. Validation often includes testing in knockout models or siRNA-treated cells to confirm specificity, given the high homology among FXR family members.

Research applications focus on FXR1's role in RNA-protein complexes, such as stress granules, and its partnership with proteins like AUF1 or microRNAs. Commercial FXR1 antibodies vary in clonality (monoclonal/polyclonal), species reactivity, and validated applications. Challenges include distinguishing FXR1 from FMRP/FXR2 due to structural similarities, emphasizing the need for rigorous validation. Recent studies also explore FXR1's dual roles in tumor suppression and oncogenesis, depending on cellular context. Overall, these antibodies are pivotal in unraveling FXR1's contributions to gene regulation and disease mechanisms.

客户数据及评论

折叠内容

大包装询价

×